УЗИ: Сонные и Позвоночные артерии. Часть 2
Цветовая допплерография улучшает скорость и качество исследования сонных артерий. Этот метод...
Медицина / Диагностика / Диагностика (статья)
УЗИ сонных артерийУльтразвуковое исследование сонных артерий показано при диагностике транзиторной ишемической атаки или ипсилатерального инсульта, шумов в проекции сонной артерии и преходящей слепоты. Также УЗИ сонных артерий назначают пациентам после эндартерэктомии сонных артерий и при наблюдении за атеросклеротическим процессом в сонных артериях в динамике. Показаниями могут быть предоперационная диагностика на сердце или крупных сосудах.
Примерно 90% инсультов являются ишемическими, из которых большую часть составляют эмболические. Большинство ишемических инсультов, обусловленных окклюзией сонной артерии, возникают не из-за нарушения (снижения) кровотока, а из-за эмболии атеросклеротической бляшкой. Исследования показали, что увеличение степени стеноза повышает риск инсульта.
Первой ветвью аорты является безымянная артерия (плечеголовной ствол), которая дальше разделяется на правую общую сонную и правую подключичную артерии. Левая общая сонная артерия ответвляется непосредственно от дуги аорты и становится второй ветвью аорты. В норме диаметр общей сонной артерии составляет 6-8 мм.
Общая сонная артерия проходит под грудинно-ключично-сосцевидной мышцей и яремной веной. В области середины шеи общая сонная артерия расширяется, формируя луковицу сонной артерии, затем она делится на внутреннюю и наружную сонные артерии. Внутренняя сонная артерия пролегает кзади и латерально, наружная сонная артерия – медиально и кпереди. У внутренней сонной артерии нет ветвей на шее (фото 1).

Фото 1. Бифуркация сонной артерии. Общая сонная артерия делится на внутреннюю сонную артерию (ICA) и наружную сонную артерию (ECA). Наружная сонная артерия пролегает медиально и кпереди по отношению к внутренней сонной артерии. Стрелкой отмечены ветви наружной сонной артерии на шее. В норме эти артерии выстланы тонкой эхогенной слизистой оболочкой, толщина которой менее 1 мм
Для УЗИ сонных артерий применяют датчик максимальной частоты, который способен обеспечить адекватное проникновение ультразвука в глубокие ткани (линейный датчик с частотой 7,5 МГц, но не менее 5 МГц).
Стандартная процедура ультразвукового исследования сонных артерий подразумевает двустороннюю оценку состояния общей и внутренней сонных артерий, позвоночной артерии и проксимального сегмента наружной сонной артерии. Пациент должен занимать положение лежа на спине, подбородок приподнят, голову поворачивают в противоположную от датчика сторону. Также пациент должен опустить плечо с обследуемой стороны.
Сканирование проводят в режиме серой шкалы и цветовой допплерографии. Сосуды визуализируют в поперечной, сагиттальной или фронтальной плоскостях. В поперечной плоскости можно исследовать ход сосудов, обнаружить атеросклеротические бляшки, а также запланировать сагиттальные доступы. В сагиттальной или фронтальной проекции проводят допплерографию с коррекцией угла (менее 60°) общей сонной, проксимальной части наружной сонной, проксимальной, средней и дистальной частей внутренней сонной артерии, а также позвоночных артерий. Любые области сужения этих сосудов необходимо тщательно изучить.
Артерии сканируют из переднего, бокового и заднебокового доступов. При этом врач определяет наиболее лучшую плоскость для качественной визуализации сосудов. Максимально удаленные отделы внутренней сонной артерии визуализируют с помощью смены доступа с бокового на заднебоковой.
УЗИ сонных артерий может быть затрудненно по следующим причинам:
Спектральная допплерография позволяет определить направление и скорость кровотока. Для исследования сонных артерий спектральную допплерографию проводят с частотой 5 МГц. Чтобы получить наиболее точные данные о скорости кровотока, важно сохранять угол между допплеровским датчиком и исследуемым сосудом, которые на должен превышать 60°. Если угол превышает 60°, точность расчета скорости снижается, а кривые волн утолщаются.
Для получения более точной информации внутреннюю и общую сонные артерии нужно исследовать под постоянным углом.
При необходимости исследования более глубоких сосудов или, например, при исследовании пациентов с крупной шеей допплеровскую частоту нужно уменьшить. Для повышения чувствительности или при исследовании небольших сосудов допплеровскую частоту увеличивают.
Извилистые сосуды изначально исследуют в поперечной плоскости путем цветовой допплерографии. Обнаружив сосуд, датчик поворачивают, размещая в сагиттальной плоскости для визуализации сосуда и получения данных допплерографии. Чтобы определить ход извитых сосудов, может потребоваться усиленная допплерография.
Кальцинированные бляшки могут нарушить визуализацию дистальной части общей сонной артерии, луковицы и внутренней сонной артерии. В этом случае нужно максимально повернуть голову пациента в противоположную от датчика сторону и провести сканирование из максимально задней позиции в сагиттальной плоскости. Чтобы подтвердить проходимость кальцинированного сосуда, можно провести сканирование в поперечном направлении с применением цветовой допплерографии.
Артефакты, визуализируемые в просвете сосуда можно устранить за счет увеличения частоты датчика, уменьшения силы сигнала, а также путем изменения угла сканирования или путем поворота головы пациента.
Дифференцируют внутреннюю сонную артерию от наружной по ветвям, которые имеет наружная сонная артерия. Кроме этого, наружная сонная артерия имеет более выраженный пульсирующий кровоток с большим сопротивлением, тогда как внутренняя сонная артерия демонстрирует форму кривой низкого сопротивления. Цветовая допплерография демонстрирует цветовое наполнение наружной сонной артерии, которое периодически появляется и исчезает, тогда как наполнение внутренней сонной артерии – постоянное, что свидетельствует о кровотоке на протяжение всей диастолы. Внутренняя сонная артерия пролегает кзади, наружная – в направлении лица. Наружная сонная артерия реагирует на постукивание по височной артерии.
Постукивание по височной артерии позволяет дифференцировать наружную сонную артерию с внутренней. Процедура подразумевает постукивание пальцем по ипсилярной височной артерии во время проведения допплерографии наружной сонной артерии. При этом кривая записи кровотока наружной сонной артерии должна демонстрировать характерные волнообразные колебания, которые соответствуют постукиваниям по височной артерии, являющейся ветвью наружной сонной артерии (фото 2).

Фото 2. Височное постукивание. Стрелкой обозначены колебания, вызванные постукиванием по височной артерии во время проведения допплерографии
Отметим, что височное постукивание может демонстрировать ложноотрицательные результаты. Это может быть обусловлено недостаточно сильным постукиванием пальцем по артерии. Также бывают случаи, когда при нормальном состоянии артерии пульсация распространяется на общую и внутреннюю сонные артерии.
Сонные артерии характеризуются однонаправленным кровотоком на протяжение всего сердечного цикла. Внутренняя сонная артерия имеет гладкую форму и постоянный кровоток в систолу и в диастолу (это обусловлено низким сопротивлением внутри сосудов головного мозга): максимальная систолическая скорость составляет в среднем 0,6-1,0 м/с.
Кривая наружной сонной артерии демонстрирует острые пики в систолу и небольшую скорость в конце диастолы, что обусловлено высоким сосудистым сопротивлением ее ветвей. Допплерография общей сонной артерии демонстрирует сочетание признаков кровотока высокого и низкого сопротивления – острые пики в систолу и постоянный кровоток в диастолу (фото 3).

Фото 3. Допплерограмма нормальных сонных артерий. А – внутренняя сонная артерия: отмечается гладкая форма кривой – постоянный поток на протяжение всей систолы и диастолы. В – наружная сонная артерия: наблюдаются типичные пики в систолу, стрелкой обозначен момент снижения скорости кровотока ближе к концу диастолы.
Большинство стенозов сонных артерий образуется в месте ответвления внутренней сонной артерии. Скорость кровотока через стенозирующий просвет сосуда увеличивается пропорциональной степени сужения. Таким образом, измерив скорость кровотока путем допплерографического исследования, можно косвенно определить степень сужения сосуда. Показатель увеличения скорости кровотока через стенозирующий участок сосуда незначительный до тех пор, пока диаметр просвета не уменьшится в 2 раза. Если диаметр просвета сосуда уменьшился более чем на 50% и стеноз продолжает прогрессировать, наблюдается резкий рост показателя скорости кровотока.
Важное диагностическое значение имеют три показателя в зоне стеноза:
ВАЖНО определить максимальную скорость кровотока в стенозированном участке просвета сосуда. В противном случае можно недооценить тяжесть патологии.
По мере сужения просвета сосуда скорость в зоне стеноза увеличивается пропорциональной степени сужения, равной 90%. Если просвет стенозируется на 95% и более, скорость потока резко снижается, что обусловлено эффектом увеличения сопротивления кровотока.
При тяжелом стенозе максимальная систолическая скорость на самом деле может быть больше ожидаемой.
Важно, чтобы врач сопоставлял имеющиеся данные с размером сосудистого просвета, который визуализируется на цветовой допплерографии (фото 4).

Фото 4. Тяжелый стеноз внутренней сонной артерии. Максимальная систолическая скорость – 4,4 м/с, увеличение конечно-диастолической скорости до 1,38 м/с; соотношение скоростей потока во внутренней сонной артерии и общей сонной артерии составляет 5,4
Участок максимального увеличения скорости кровотока изначально определяют путем цветовой допплерографии при выявлении участка максимального сужения сосуда. Шкалу цветовой допплерографии выставляют на максимум, чтобы обнаружить эффект смешивания в составе конкретного сегмента. Затем проводят спектральную допплерографию, с помощью которой измеряют максимальную скорость в суженом сегменте или на участке артерии, где определяется эффект смешивания.
Эффект смешивания – невозможность измерения максимальной систолической скорости по причине очень низких показателей частоты повторов допплерографии. Предел Никвиста (Nyquist limit) – максимальное выявляемое смещение частот не может превосходить половину частоты смены кадров.
Эффект смешивания при исследовании сонных артерий определяется как с помощью цветовой, так и с помощью спектральной допплерографии в момент визуализации максимальной скорости кровотока. Так, на спектральной допплерографии максимальные скорости «обрубаются» и смещаются вниз от изолинии, а на цветовой допплерографии наблюдается искажение изображения вокруг четырехцветного контура, включая красный, желтый, зеленый и синий цвета (фото 5).
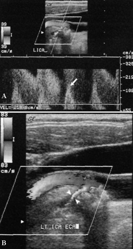
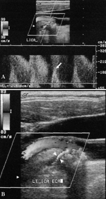
УЗИ: Тяжелый стеноз внутренней сонной артерии на уровне бифуркации
Фото 5. Тяжелый стеноз внутренней сонной артерии на уровне бифуркации. А – значительное увеличение максимальной скорости кровотока > 380 м/с. Наблюдается эффект смешивания: стрелкой обозначен систолический пик, который закручивается и смещается ниже изолинии. Курсором отмечен показатель увеличенной конечно-диастолической скорости до 218 см/с. Скорость потока в общей сонной артерии составляет 50 см/см, соответственно, значение отношения скоростей внутренней и общей сонных артерий составляет 7,6, что свидетельствует о стенозе очень высокой степени (80-99%). В – цветовая допплерограмма того же больного: указателями отмечено выраженное сужение внутренней сонной артерии атеросклеротической бляшкой
Также нужно обратить внимание на отличие обратного тока крови от смешивания. Обратный ток крови – это двунаправленное движение крови в плоскости изображения. В норме он определяется на уровне луковицы сонной артерии (в месте расширения сосудов), вызывая нарушение ламинарного потока крови. Цветовая допплерография демонстрирует только два цвета, которые разделены черным цветом, – красный и синий, обозначающие поток крови по направлению к датчику и от него. В области обратного кровотока показатель скорости остается в норме. Эффект смешивания обусловлен скоростями потоков, которые превосходят частоту смены кадров. При условии правильной настройки оборудования область смешивания визуализируется как зона очень высокой скорости кровотока. Таким образом, этот прием используют с целью выявления наиболее стенозированного участка сосуда (фото 6).

Фото 6. Обратный поток крови и эффект смешивания. Исследование внутренней сонной артерии: стрелками обозначен внутренний поток крови (красный и синие цвета с черной линией, которая их разделяет); указателями отмечен эффект смешивания в центре просвета луковицы сонной артерии (переход от красного к желтому и от голубого к синему)
Чтобы устранить или уменьшить артефактное смешивание (см статью «Основы УЗИ: Артефакты Допплерографии»), используют следующие методы:
Степень окклюзии можно определять по поперечному изображению исследуемого участка сосуда. На цветовой допплерографии определяют самый узкий участок просвета артерии. При этом измеряют диаметр просвета и диаметр сосуда, а также размеры бляшки. Отношение диаметра просвета сосуда к суммарному диаметру сосуда является процентным выражением степени стеноза.
По мере увеличения площади стеноза скорость кровотока снижается. У больных с системной гипертонией скорость потока в зоне стеноза выше, чем у пациентов с нормальным давлением при той же степени уменьшения диаметра внутреннего просвета сосуда. Уменьшение сердечного выброса также может быть причиной снижения скорости кровотока в стенозированной артерии. Таким образом, конкретное значение максимальной систолической скорости не позволяет точно определить процент сужения просвета сосуда.
Основные причины снижения систолической скорости во внутренней сонной артерии:
Уменьшение просвета сосуда < 50% не влияет на показатели конечно-диастолической скорости в области стеноза. Если стеноз > 50%, диастолическая скорость увеличивается пропорционально сужению сосудистого просвета, что обусловлено возникновением градиента давления в диастолу. При стенозе > 70% конечно-диастолическая скорость резко увеличивается (фото 4 и фото 5).
Отношение систолических скоростей (systolic velocity ratio) – это отношение максимальной систолической скорости зоны стеноза и максимальной систолической скорости общей сонной артерии на той же стороне. По причине того, что системные физиологические факторы (сердечный выброс, давление, развитие сосудистых коллатералей, периферическое сопротивление) влияют на пульсацию и скорость кровотока в нормальных и стенозированных сосудах, вычисление отношения помогает компенсировать возможные ошибки. Расчет показателя отношения систолических скоростей имеет диагностическую ценность при нарушении (уменьшении) кровотока в сонных артериях (например, при стенозе аортального клапана или при снижении сердечного выброса). Показатель отношения позволяет снизить физиологическую вариабельность при сравнении результатов у разных пациентов. Тем не менее, данный показатель имеет большую погрешность, поскольку его расчет проводится на данных двух измерений – скоростей кровотока по общей и внутренней сонным артериям.
Показатель отношения систолических скоростей увеличивается пропорционально тяжести стеноза. Так, отношение 2 соответствует стенозу > 50%, отношение 3 – стенозу > 75% (фото 4 и фото 5).
При ипсилатеральном стенозе внутренней сонной артерии сосуд выступает в роли предстенотического, при этом наблюдаются соответствующие изменения формы пульсовой волны, которая становится более резистентной, аналогично внутренней сонной артерии (уменьшение диастолического кровотока, более выражена пульсация). Максимальная систолическая скорость допплеровского сигнала также может уменьшаться по причине общего снижения кровотока со стороны поражения (фото 7).

Фото 7. Высокорезистентная пульсовая волна общей сонной артерии проксимальнее стеноза внутренней сонной артерии. На допплерограмме отмечается отсутствие диастолического кровотока
В случае ипсилатерального стеноза внутренней сонной артерии при наличии ипсилатерального внутричерепного стеноза сонной артерии, внутренняя сонная артерия становится предстенотическим сосудом – в ней формируется кровоток высокого сопротивления и низкой скорости.
Картина спектральной допплерографии в постстенотической области (ниже по течению от области стеноза) характеризуется расширением и обратным направлением тока крови, что обусловлено снижением скорости и турбулентностью движения эритроцитов, которые выходят из зоны сужения сосуда.
Турбулентность – нарушение ламинарного потока крови по сосуду, возникающее при изменении диаметра внутреннего просвета, при котором наблюдается нарушение ламинарного кровотока и широкий диапазон скоростей. В сонной артерии наиболее типичными местами турбулентного кровотока являются область бифуркации, а также область, расположенная дистальнее места образования атеросклеротической бляшки.
Постстенотическая турбулентность в некоторых случаях является единственным признаком стеноза, что обусловлено закрытием зоны стеноза акустической тенью кальцинированной бляшки, когда можно наблюдать только постстенотический сегмент артерии.
Спектральное расширение – зрительное отображение спектрального допплеровского сигнала, которое можно наблюдать при исследовании части сосуда с турбулентным потоком. Спектральное расширение характеризуется заполнением черного пространства между спектральным сигналом и изолинией, что свидетельствует о широком диапазоне систолических скоростей (фото 8).

Фото 8. Спектральное расширение. А – допплерограмма внутренней сонной артерии: стрелкой отмечено относительно чистое «окно». В – допплерограмма стенозированной внутренней сонной артерии: наблюдается спектральное расширение, турбулентный кровоток. Большое количество скоростей свидетельствует о менее ламинарном кровотоке
Нужно отметить, что спектральное расширение может образовываться искусственно при очень большом допплеровском усилении или слишком широкой шкале, а также при исследовании поверхностно расположенных сосудов.
Специалисты неоднократно предпринимали попытки обнаружить взаимосвязь между спектральным расширением и степенью стеноза, но клиническое применение этого наблюдения для определения степени стеноза не имеет диагностической ценности. Как правило, спектральное расширение повышается на фоне увеличения степени тяжести стеноза. Однако нет четких критериев количественной оценки стеноза по спектральному расширению. Так, при стенозе более 70% наблюдают высокочастотный сигнал большой амплитуды, обратное направление потока и плохое разграничение цветового спектра. Иногда нарушения кровотока является единственным признаком стеноза.
При шунтировании кровотока по контралатеральной стороне скорость кровотока может увеличиваться в зоне сужения, в результате чего наблюдаются повышенные показатели выраженности стеноза.
Проксимальный стеноз общей сонной артерии может быть причиной снижения ипсилатерального кровотока по сонным артериям и уменьшения скорости кровотока в зоне стеноза ипсилатеральной внутренней сонной артерии, в результате чего врач может недооценить степень стеноза внутренней сонной артерии.
Ложный стеноз (ложноположительные результаты ультразвуковой диагностики) могут быть обусловлены тем, что выраженный контралатеральный стеноз внутренней сонной артерии приводит к увеличению объема и скорости кровотока на противоположной стороне. Также увеличение скорости кровотока наблюдается при увеличении сердечного выброса на фоне разных состояний (например, физическая нагрузка, гипертиреоз, анемия и др). Чтобы минимизировать шанс ложного диагноза, нужно использовать показатель отношения максимальных систолических скоростей.
Ложноотрицательные результаты исследования также зависят от неверной интерпретации показателей скорости кровотока. Так, при стенозе очень высокой степени максимальная систолическая скорость значительно снижается, что может быть причиной неверной интерпретации тяжести нарушения. Поэтому данные спектральной допплерографии нужно сопоставлять с данными цветовой допплерографии. Степень выраженности стеноза также можно недооценить из-за снижения скорости кровотока при тандемном стенозе, локализованном проксимально к внутренней сонной артерии (по ходу аорты, общей сонной или безымянной артерии).
На сегодняшний день продолжается дискуссия по поводу наиболее точных параметров, с помощью которых можно оценить степень выраженности стеноза. Наиболее лучший параметр – максимальная систолическая скорость. Но при очень выраженном стенозе скорость кровотока снижается, что может быть причиной неточной диагностики самого значительного сужения просвета сосуда. Компенсировать этот недостаток, а также влияние коллатералей и разных физиологических факторов позволяет показатель отношения максимальных систолических скоростей, для вычисления которого требуются данные двух переменных, что, в свою очередь, повышает шансы на ошибку. Таким образом, по мере прогрессирования стеноза конечно-диастолическая скорость кровотока продолжает увеличиваться, что является наиболее информативным параметром оценки стенозов высокой степени (до 75%).
Определение универсальных параметров оценки степени стеноза сонных артерий затрудняется комбинированным влиянием нескольких факторов:
Независимо от степени стеноза нужно соблюдать баланс между чувствительностью и специфичностью диагностики.
|
Степень окклюзии |
Максимальная систолическая скорость во внутренней сонной артерии |
Атеро-склеротическая бляшка |
Отношение максимальных систолических скоростей во внутренней и общей сонных артериях |
Конечно-диастолическая скорость кровотока во внутренней сонной артерии |
|
Норма |
< 125 см/с |
Нет |
< 2,0 |
< 40 см/с |
|
< 50% |
< 125 см/с |
Уменьшение диаметра < 50% |
< 2,0 |
< 40 см/с |
|
50-69% |
125-230 см/с |
Уменьшение диаметра < 50% |
2,0 – 4,0 |
40-100 см/с |
|
> 70% |
230 см/с |
Уменьшение диаметра < 50% |
> 4,0 |
> 100 см/с |
|
Практически полная окклюзия |
Снижена или не определяется |
Видимая |
Разное |
Разная |
|
Полная окклюзия |
Не определяется |
Видимая, просвет не определяется |
Не применимо |
Не применима |
Максимальная систолическая скорость определяют только при стенозе внутренней сонной артерии. При стенозе общей или наружной сонных артерий ее не измеряют.
ПРОДОЛЖЕНИЕ ЗДЕСЬ: «УЗИ: Сонные и Позвоночные артерии. Часть 2»
Цветовая допплерография улучшает скорость и качество исследования сонных артерий. Этот метод...
Тромбоз глубоких вен верхних конечностей встречается гораздо реже – на его долю...
Трансплантация почки показана больным с хронической почечной недостаточностью, которые...
Сегодня показатель выживаемости в течение первого года после пересадки печени превышает 85%. В...
В отличие от артефактов традиционного ультразвукового исследования в режиме серой шкалы, для...
анализы, БАД, биологическая медицина, витамины, гастроэнтерология, гигиена, гинекология, гомеопатия, дерматология, диагностика, диетология, заболевания, иммунология, инфекционные заболевания, инфекция, исследования, кардиология, кожа, косметика, красота, лекарственные растения, лечение, лицо, неврология, обследование, оздоровление, онкология, ортопедия, педиатрия, питание, пищеварительная система, поведение, похудение, препараты, продукты, профилактика, процедура, психология, пульмонология, рак, реабилитация, сердечно-сосудистая система, ССС, тело, терапия, травматология, уход, фитотерапия, хирургия, эндокринология
Показать все теги

Комменатрии к новости