УЗИ трансплантата почки и поджелудочной железы. Часть 1
Трансплантация почки показана больным с хронической почечной недостаточностью, которые...
Медицина / Диагностика / Диагностика (статья)
УЗИ: Тромбоз глубоких венПРОДОЛЖЕНИЕ. НАЧАЛО ЗДЕСЬ: «УЗИ: Тромбоз глубоких вен. Часть 1»
Тромбоз глубоких вен верхних конечностей встречается гораздо реже – на его долю приходится примерно 4% случаев ТГВ. Это обусловлено хорошей гемодинамикой, меньшим количеством венозных клапанов, более низким гидростатическим давлением, а также наличием разветвленной системы коллатералей.
Первичный (спонтанный) тромбоз глубоких вен верхних конечностей, обусловленный перенапряжением, считается редким явлением (2% от всех случаев). Вторичный тромбоз глубоких вен верхних конечностей, который составляет абсолютное большинство, возникает вследствие использования периферических и центральных венозных катетеров или электродов водителей ритма.
Синдром Педжета-Шреттера (также называют первичным, травматическим, идиопатическим, спонтанным или связанным с перенапряжением тромбозом) сопровождается тромбозом подключично-подмышечного сегмента. Патологию чаще диагностируют у мужчин, в большинстве случаев поражается правая конечность.
К глубоким венам на руках относятся подключичная, подмышечная и плечевая. Головная и основная вены являются поверхностными, хотя по ним происходит отток основного объема крови. Более проксимальное поражение может затрагивать внутренние яремные вены, безымянные вены, верхнюю полую вену (фото 9).

Фото 9. Вены верхних конечностей (схема)
Иногда тромбоз глубоких вен верхних конечностей возникает спонтанно, также патология может развиваться вследствие выполнения повторяющихся движений доминантной рукой или ее длительной иммобилизацией. Примерно в 30-60% случаев ТГВ диагностируют вторичный тромбоз глубоких вен верхней конечности, который возникает после введения центрального венозного катетера или электродов кардиостимулятора (особенно характерно для подключичной вены).
К другим наиболее распространенным причинам ТГВ относятся травма, постоперационный период, внутривенные инъекции наркотических препаратов, длительная инфузионная терапия, внутривенное введение некоторых препаратов (например, химиотерапия, контрастные вещества и др), а также радиационный фиброз. Синдром верхней апертуры (синдром грудного выхода; thoracic outlet syndrom), обусловленный сдавлением плечевого сплетения и подключичной артерии мышцами в области первого ребра и ключицы, вызывает сосудистый стаз. Распространенной причиной развития ТГВ является внешнее раздражение или сдавление объемным образованием. Кроме этого, высокий риск развития тромбоза возникает при патологиях, сопровождающихся повышением уровня свертываемости крови (сепсис, застойная сердечная недостаточность, рецидивирующий тромбоз, злокачественные заболевания и др).
Термином «фибриновый футляр» описывают скопление фибрина, фибронектина и тромбоцитов вокруг кончика центрального венозного катетера. Фибриновый футляр выявляют гораздо чаще, чем тромбоз глубоких вен: на УЗИ определяется как эхогенное образование, которое препятствует полному смыканию вены. Диагноз ставя на основании анамнеза и обнаружения образования, напоминающего часть катетера (имеет параллельные эхогенные стенки).
Тромбоз глубоких вен верхних конечностей в большинстве случаев имеет бессимптомное течение. Могут наблюдаться неспецифичные симптомы:
Подозревать тромбоз глубоких вен верхних конечностей нужно в случае возникновения клинической картины ТЭЛА у пациентов с венозными катетерами при исключенном тромбозе глубоких вен нижних конечностей.
Имитировать ТГВ верхних конечностей могут следующие состояния:
Несмотря на то, что тромбоз глубоких вен на верхних конечностях встречается гораздо реже, чем на нижних, даже при том, что верхние конечности менее подвержены полной венозной обструкции, это состояние может вызывать такие осложнения, как ТЭЛА и даже летальный исход. Примерно треть случаев ТГВ верхних конечностей заканчиваются ТЭЛА, часть из них – смертельные. Кроме этого, тромбоз верхних конечностей может осложняться септическим тромбофлебитом, венозной недостаточностью, нарушениями функции конечности.
Диагностика тромбоза глубоких вен верхних конечностей проводится с помощью следующих методов: контрастная венография, УЗИ, КТ, МРТ и сцинтиграфия. «Золотым» стандартом считается традиционная контрастная венография, основным недостатком которой является отсутствие венозного доступа (у большинства таких больных установлен центральный венозный катетер для проведения химиотерапии), а также отсутствие возможности оценить состояние внутренней яремной вены.
Ультразвуковая диагностика ТГВ периферических вен верхних конечностей методом дуплексного сканирования обладает чувствительностью и специфичностью более 90% (прежде всего латеральной части подключичной вены и подмышечной вены). В случае патологии центральных вен (особенно верхней полой и плечеголовных вен), диагностическая ценность УЗИ снижается.
УЗИ верхних конечностей проводят в положении пациента лежа на спине (при необходимости голову можно немного приподнять), руки вдоль туловища, голову поворачивают в противоположную от датчика сторону. Для исследования подмышечной, плечевой и основной вен руку пациента отводят немного в сторону и ротируют ладонью кверху.
Стандартное ультразвуковая диагностика тромбоза глубоких вен верхних конечностей подразумевает исследование обеих конечностей, начиная со здоровой руки. Пациент находится в положении лежа на спине. Методом компрессионной сонографии, а также цветовой и спектральной допплерографии с применением линейного датчика частотой 5-7 МГц исследуют состояние внутренней яремной вены (в области угла нижней челюсти), продвигаясь в направлении соединения подключичной и безымянной вен. Более проксимальные сосуды можно визуализировать при повороте головы пациента в противоположную от датчика сторону. Исследование безымянный вен и проксимальных сегментов подключичных вен проводят меньшим по размерам датчиком с меньшей частотой – 5 МГц. Для исследования верхней полой вены можно использовать небольшой фазовый датчик с частотой от 2 до 4 МГц. Основную и головную вены визуализируют с помощью линейного датчика с частотой от 5 до 7 МГц. Цветовая и спектральная допплерография указанных сосудов подразумевает проведение приема сдавления. Мелкие вены предплечья исследуют с помощью высокочастотного датчика.
Повторные исследования проводят, как правило, только на стороне поражения (со здоровой стороны оценивают состояние только внутренней яремной вены).
Основными недостатком УЗИ при диагностике тромбоза глубоких вен верхних конечностей являются субъективность методики, особенности телосложения пациента, степень отечности, а также наличие богатой коллатеральной сети сосудов. Исследование проксимальных сосудов (медиальная часть подключичной вены, безымянной вены, верхней полой вены) в большинстве случаев затруднено из-за ключицы. Также нужно отметить, что качество визуализации зависит от размера подошвы ультразвукового датчика и от глубины изучаемого объекта.
На УЗИ верхних конечностей коллатеральный сосуд часто можно ошибочно принять за нормальную проходимую вену. Дифференцировать коллатеральный сосуд с веной помогает наличие прилежащей к вене сопровождающей артерии. Также часто бывает трудно визуализировать небольшие периферические вены: основную, головную и плечевую; в этом случае полезно использовать цветовую допплерографию. Кроме этого, проведение исследования усложняют внутривенные устройства и рубцы.
Коллатеральные вены, по сравнению с нормальными, имеют меньший диаметр, более извиты и, как правило, находятся дальше от сопровождающей артерии.
Подключичную вену можно исследовать с помощью датчика, ориентированного поперек сосуда. Цветовая допплерография помогает оценить степень заполнения просвета вены. При этом важно, чтобы датчик был повернут к средней линии, таким образом повышается цветовая чувствительность без дополнительных шумов.
Рутинное исследование вен предплечья не проводят, так как тромбоз в этих сосудах диагностируют очень редко. УЗИ лучевой, локтевой и межкостной вены показано при наличии соответствующей симптоматики.
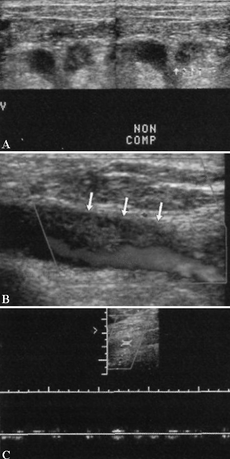
Наиболее специфичным ультразвуковым признаком тромбоза глубоких вен верхних конечностей является утрата полной сжимаемости сосуда. Следующим по специфичности методом УЗИ ТГВ является цветовая допплерография. Быстрый вдох обычно вызывает спадение внутренней яремной и подключичной вен. Отсутствие этого признака, нарушение подвижности стенки сосуда или отсутствие изменения скорости кровотока могут быть признаками наличия обструктивного тромба. Пульсовая допплерография позволяет обнаружить нарушения кровотока, характеризующееся уменьшением сердечной пульсации и дыхательной периодичности, а также выявить отсутствие кровотока (фото 10, фото 11).
Фото 10. Вены верхней конечности. А – поперечное ультразвуковое изображение нормальной вены верхней конечности. В – поперечное изображение внутренней яремной вены. С – цветовая допплерограмма нормальной внутренней яремной вены и сонной артерии, локализованной кзади. Наблюдается полное заполнение цветом вено с нормальной дыхательной периодичностью кровотока. IJV – внутренняя яремная вена; CA – сонная артерия
УЗИ: Тромбоз глубоких вен верхних конечностей
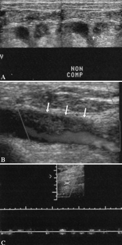
Фото 11. Тромбоз глубоких вен верхних конечностей. А – поперечное ультразвуковое изображение: стрелками отмечен эхогенный тромб. В – допплерограмма: сосуд невозможно сдавить, наблюдается неполное заполнение цветом и патологическая кривая потока. Также на цветовой допплерограмме отмечается частичное заполнение венозного просвета из-за наличия краевого тромба (отмечен стрелками). С – спектральная допплерограмма области полной окклюзии свидетельствует об отсутствии кровотока; наблюдаются только движения, опосредованные прилегающей артерией
Периферические вены могут реагировать на сдавливание, но их небольшой объем и богатая коллатеральная сеть верхних конечностей делают пробу со сдавливанием менее информативной.
Стандартное лечение тромбоза глубоких вен верхних конечностей подразумевает немедикаментозный подход:
Эффективность антикоагулянтной и тромболитической терапии, а также оперативной тромбоэктомии недостаточно исследованы, в отличие от аналогичного лечения тромбоза глубоких вен нижних конечностей, однако в некоторых ситуациях их применение вполне обосновано.
Чтобы предупредить риск развития тромбоза глубоких вен, обусловленного постановкой центрального венозного катетера, многие врачи назначают профилактическое лечение низкими дозами гепарина или варфарина. Данные исследований показывают, что после проведения антикоагулянтной терапии примерно у 60% больных отмечается полное рассасывание тромба; в 40% случаев наблюдаются признаки остаточного тромбоза. Если через 6 месяцев после завершения тромболитической терапии остаются какие-либо патологические изменения, они – пожизненные.
Послеродовый тромбофлебит (синяя болевая флегмазия, phlegmasia cerulea dolens) – состояние, развивающееся при массивном остром венозном тромбозе и обструкции венозного оттока от конечности. PCD (phlegmasia cerulea dolens) – острый тромбоз вен конечности, распространяющийся на коллатеральные вены, что приводит к массивной секвестрации жидкости и развитию выраженного отека.
Послеродовый тромбофлебит характеризуется симптоматической триадой:
PCD может вызвать венозную гангрену и приводит к патологии, напоминающую синдром длительного сдавления, а также нарушению артериального кровотока.
Трансплантация почки показана больным с хронической почечной недостаточностью, которые...
Ультразвуковое исследование после трансплантации почки позволяет обнаружить скопление жидкости...
Сегодня показатель выживаемости в течение первого года после пересадки печени превышает 85%. В...
Патологии периферических артерий, обусловленные, например, тромбозом, атеросклеротическим...
Значительное повышение центрального венозного давления, возникающее, например, при тампонаде...
анализы, БАД, биологическая медицина, витамины, гастроэнтерология, гигиена, гинекология, гомеопатия, дерматология, диагностика, диетология, заболевания, иммунология, инфекционные заболевания, инфекция, исследования, кардиология, кожа, косметика, красота, лекарственные растения, лечение, лицо, неврология, обследование, оздоровление, онкология, ортопедия, педиатрия, питание, пищеварительная система, поведение, похудение, препараты, продукты, профилактика, процедура, психология, пульмонология, рак, реабилитация, сердечно-сосудистая система, ССС, тело, терапия, травматология, уход, фитотерапия, хирургия, эндокринология
Показать все теги

Комменатрии к новости