УЗИ: Тромбоз глубоких вен. Часть 2
Тромбоз глубоких вен верхних конечностей встречается гораздо реже – на его долю...
Медицина / Диагностика / Диагностика (статья)
УЗИ сонных артерийПРОДОЛЖЕНИЕ. НАЧАЛО ЗДЕСЬ: «УЗИ: Сонные и Позвоночные артерии. Часть 1»
Цветовая допплерография улучшает скорость и качество исследования сонных артерий. Этот метод диагностики позволяет оценить выраженность стеноза и используется с целью подтверждения результатов спектральной допплерографии. Эффект ускользания дает возможность обнаружить наиболее суженную зону артерии. Цветовая допплерография информативна при оценке степени стеноза в случае уменьшения просвета сосуда менее чем на 50%. Также она помогает дифференцировать внутреннюю сонную артерию с наружной.
Имеющиеся на сегодняшний день данные позволяют прогнозировать риск инсульта на основании характеристик атеросклеротических бляшек в сонных артериях. Так, гипоэхогенные бляшки формируются при скоплении материала, богатого липидами, поэтому при кровоизлиянии в бляшку значительно повышается риск инсульта (данные выводы основаны на данных, полученных оперативным путем, следовательно, они применимы к стенозам > 50%). В случае возникновения острых неврологических симптомов описание ультразвуковых характеристик поверхности бляшки имеет большее диагностическое значение, чем ее эхогенная структура.
Язва бляшки представляет собой дефект или полость, размеры которой более 2×2 мм. Изъязвленная бляшка на ангиографии представляет собой важный прогностический признак высокого риска цереброваскулярных осложнений. Ангиография и УЗИ обладают низкой чувствительностью и низкой специфичностью при диагностике изъязвленных бляшек. Цветовая допплерография позволяет обнаружить область обратного кровотока в пределах изъязвленной бляшки (фото 9).
УЗИ: Атеросклеротическая бляшка в сонной артерии
Фото 9. Атеросклеротическая бляшка в сонной артерии. А – кальцинированная бляшка с акустическим затенением. В – стрелкой обозначена некальцинированная (мягкая) бляшка. С – изъязвленная бляшка: стрелкой обозначен поток внутри бляшки
Толщина и характер поражения стенки артерии имеет диагностическую ценность в прогнозе риска развития инсульта, поскольку диффузное увеличение толщины внутренней и средней оболочек сонных артерий сопровождается развитием атеросклероза. Утолщение стенки также является доклиническим маркером сердечно-сосудистых патологий. Измерение толщины комплекса «интима-медиа» проводят путем определения средней или максимальной толщины по всей длине сосуда. В норме толщина стенки сосуда составляет 0,6-1,0 мм (фото 10).

Фото 10. Утолщение стенки артерии. Курсорами обозначено утолщение стенки внутренней и средней оболочек общей сонной артерии
Окклюзию внутренней сонной артерии следует подозревать в случае отсутствия артериальной пульсации, наличия эхогенного материала, который заполняет просвет сосуда, отсутствия кровотока на цветовой и спектральной допплерографии, а также при небольших размерах сосудов, которые наблюдают при хронической окклюзии. В случае окклюзии внутренней сонной артерии кровоток по общей и наружной сонным артериям не нарушается, в дистальном отделе общей сонной артерии может обнаруживаться пристеночный удар – сигнал невысокой скорости, который образуется при ударе крови об атеросклеротическую бляшку (фото 11).

Фото 11. Окклюзия внутренней сонной артерии. А – на цветовой допплерограмме наблюдается отсутствие кровотока и отсутствие артериальной пульсации. В – стрелкой обозначен пристеночный удар – приглушенный сигнал низкой скорости, который образуется при ударе крови о тромб или бляшку, закупоривающую сосуд
Отметим, что окклюзию сонной артерии не всегда можно диагностировать с помощью допплерографии, например, при закрытии сосуда звуковой тенью, низком качестве изображении или при слабом допплеровском сигнале. Кроме этого, стеноз очень высокой степени со слабым потоком можно ошибочно принять на полную окклюзию.
Ангиографический симптом «струны» характеризуется скоплением контрастного вещества в нижней части сосуда, что обусловлено медленным током крови. При этом сосуд проходим, а стеноз локализован в проксимальном конце «струны». Этот симптом выявляют при тяжелом стенозе. Ультразвуковая картина симптома «струны» демонстрирует цветную линию высокой скорости с пониженной пульсовой волной, проходящая по суженному просвету, что свидетельствует о стенозе высокой степени (фото 12).

Фото 12. Симптом «струны». А – цветная полоска низкой скорости свидетельствует о стенозе высокой степени. В – сглаженные спектральные пульсовые волны низкой скорости в пределах стенозированного просвета сосуда
Дифференцировать стеноз высокой степени от окклюзии артерии можно по кровотоку, признаки наличия которого указывают на большую вероятность стеноза сосуда, а не окклюзии. Цветовая и усиленная допплерография может быть настроена на обнаружение любых признаков потока крови. Чтобы выявить кровоток минимальной скорости, устанавливают фильтр низкой частоты. При максимально лучшем возможном доступе тщательно исследуют состояние просвета сосуда на предмет наличия признаков кровотока, после чего проводят спектральную допплерографию с большим усилением. В случае очень низкой скорости кровотока возможно получение ложноположительного результата (при этом рассматривают возможность применения другого метода диагностики).
Многие специалисты настаивают на применении ультразвукового исследования при стенозе > 70%. Но в случае почти полной или полной окклюзии вопрос диагностики остается открытым, поскольку полную окклюзию можно лечить консервативно, а почти полную – хирургически. До сих пор специалисты не пришли к единому мнению в вопросе способности дифференцировать эти два состояния с помощью ультразвукового исследования и магнитно-резонансной ангиографии (МРА), так как полные или практически полные окклюзии, которые выявляют с помощью одного метода диагностики, должны подтверждаться с помощью другого метода. «Золотым» стандартом в диагностике окклюзии сонных артерий является катетерная ангиография.
Окклюзия сонной артерии может возникать по многим причинам, наиболее распространенными из которых являются: атеросклероз, расслоение сосуда, фиброзномышечную дисплазию.
Если у больного наблюдается выраженное различие пульсации на общих сонных артериях, рекомендуется назначать МРА или МРТ – методы диагностики, позволяющие обнаружить причину обструктивного поражения в дуге аорты. Перед проведением хирургического вмешательства по поводу каротидной эндартерэктомии назначают МРА, с помощью которой определяют наличие внутричерепного стеноза (тандемный стеноз). В случае получения неоднозначных результатов УЗИ, рекомендуется назначить другие методики диагностики. Если на УЗИ внутренняя сонная артерия имеет признаки закупоренного сосуда и есть показания для проведения хирургического вмешательства, чтобы дифференцировать окклюзию со стенозом высокой степени, назначают КТ-ангиографию, МРА или ангиографию.
При изолированном стенозе наружной сонной артерии кривая общей сонной артерии значительно не изменяется, так как доля кровотока в наружной сонной артерии невелика, а сосудистая сеть наружной сонной артерии изначально характеризуется высоким сопротивлением. Но при стенозе наружной сонной артерии высокой степени во внутреннюю сонную артерию поступает больше крови, что вызывает увеличение скорости кровотока.
При стенозе общей сонной артерии проксимальнее ключицы или при стенозе плечеголовного ствола общая сонная артерия становится постстенотическим сосудом и имеет сглаженные волны, допплерографические признаки которых характеризуются незначительной амплитудой из-за сниженной скорости кровотока.
Оценка пульсовых волн общих сонных артерий проводится путем визуального сравнения с сосудами на противоположной стороне. Симметричные изменения общих сонных артерий могут наблюдаться при некоторых физиологических состояниях. Так, симметричное усиление пульсации может быть обусловлено следующими состояниями:
Симметричное сглаживание пульсации наблюдается при снижении сердечного выброса и тяжелом поражении аортального клапана. Асимметричные изменения пульсации часто свидетельствуют о проксимальном стенозе на уровне дуги аорты.
Расслоение сонной артерии может возникать по многим причинам, наиболее распространенными из которых являются:
В некоторых случаях расслоение сонной артерии возникает спонтанно.
Ультразвуковые признаки отслаивания интимы от стенки сонной артерии характеризуются наличием лоскута, движение которого наблюдается во время сердечных сокращений. Может формироваться двойной просвет сосуда. Просвет пораженного сосуда может иметь нормальный диаметр или быть суженным (фото 13).
УЗИ: Расслоение сонной артерии
Фото 13. Расслоение сонной артерии. А – ультразвуковое изображение в режиме серой шкалы. В – цветовая допплерограмма: стрелками обозначен лоскут интимы, который указывает на место расслоения артерии
Обратим внимание на то, что расслоение общей сонной артерии может осложнять расслоение восходящей части аорты, обусловленное травмой или дегенерацией соединительной ткани. Травматическое или спонтанное расслоение в бассейне сонных артерий часто поражает внутреннюю сонную артерию. Основными сосудистыми осложнениями расслоения сонной артерии являются:
После каротидной эндартерэктомии показаны регулярные УЗИ. После этой операции пульсовые волны внутренней сонной артерии по неизвестной причине могут напоминать волны наружной сонной артерии. К ранним осложнениям эндартерэктомии относятся:
К отдаленным возможным осложнениям относится рестеноз, который в 70% случаев диагностируют в течение первых 2-х лет после эндартерэктомии. На протяжение первых 3-х лет с момента операции рестеноз может быть обусловлен гиперплазией интимы, после чего ультразвуковая картина поражения напоминает образование атеросклеротической бляшки.
Каротидный гломус в норме локализован в области бифуркации сонных артерий, его размеры – 1,0 × 1,5 мм. Каротидный гломус может быть поражен параганглиомой – пальпируемым образованием в области шеи, которое вызывает у больного соответствующие боли. Параганглиома – высоковаскуляризованная опухоль с незначительным злокачественным потенциалом, ультразвуковая картина которой характеризуется наличием высоковаскуляризованным новообразованием, локализованное внутри области каротидной бифуркации. При этой патологии УЗИ показано с целью контроля динамики роста небольших опухолей, а также для оценки степени их взаимодействия с окружающими сосудами.
Фибромышечная дисплазия – невоспалительный процесс, характеризующийся гипертрофией мышечного и фиброзного слоев сосудов, который поражает, как правило, внутреннюю сонную артерию. Ультразвуковая картина фибромышечной дисплазии неспецифична. Артериит, возникающий на фоне аутоиммунной патологии (например, артериит Такаясу), может вызывать диффузное концентрическое утолщение стенок сонных артерий (особенно сонной артерии).
Трехмерная реконструкция полученных снимков позволяет лучше определять протяженность пораженного участка сосуда, а также повышает качество визуализации извитых сонных артерий и их ветвей. УЗИ с контрастным усилением изображения улучшает определение сигнала от потока крови, визуализацию атеросклеротической бляшки и определение сложной анатомии поражения.
Ультразвуковое исследование позвоночных артерий показано пациентам с симптомами вертебробазилярной недостаточности, а также больным с синдромом подключичного «обкрадывания». Исследование позвоночных артерий проводят в процессе стандартного УЗИ сонных артерий с целью определения направления кровотока. Но из-за неспецифичного характера симптомов патологии задней системы кровоснабжения головного мозга и многих технических особенностей, ультразвуковое исследование не представляет необходимую диагностическую ценность в оценке состояния позвоночных артерий.
Вертебробазилярная ишемия обусловлена поражением задней системы кровоснабжения головного мозга. При этом у больного возникают головокружение, диплопия, дизартрия и дисфагия. Кроме указанных симптомов, у пациентов могут быть гемипарез, нистагм, паралич взора, синдром Горнера, атаксия, потеря чувствительности половины туловища, а также изменение ментального статуса. Перечисленные симптомы относятся к признакам недостаточности кровоснабжения участков головного мозга (ствол, мозжечок, затылочные доли), в которые поступление крови обеспечивают позвоночные и основные артерии.
Основные причины вертебробазилярной недостаточности:
Нужно отметить, что аналогичную вертебробазилярной недостаточности клиническую картину могут вызывать такие состояния, как мигрень, заболевания сердечно-сосудистой системы, эпилепсия, онкологические патологии, инфекционные заболевания, а также недостаточность кровоснабжения в бассейне сонных артерий.
В норме позвоночные артерии ответвляются от подключичных артерий дистальнее щитовидно-шейного ствола. Место ответвления, как правило, находится глубоко под ключицей. Затем позвоночные артерии проходят через отверстия поперечных отростков шейных позвонков C1-C6. В области основания черепа артерии объединяются, образуя основную артерию.
Примерно у 75% здоровых людей позвоночные артерии ассиметричны по размеру, из которых в 80% случаев доминирует левая позвоночная артерия.
Место ответвления артерии находится глубоко и трудно определяется на УЗИ. Так как позвоночные артерии пролегают внутри отверстий поперечных отростков, они недоступны для прямой ультразвуковой визуализации. После выхода из C1 артерии образуют петлю, обращенную кзади, которую также трудно визуализировать на УЗИ. Затем короткий сегмент каждой позвоночной артерии пролегает внутрь полости черепа, где сосуд не доступен для стандартного ультразвукового исследования.
Начальный отдел позвоночной артерии у многих пожилых людей становится извитым, в результате чего происходит нарушение кровотока.
Поскольку обе позвоночные артерии объединяются, формируя общую позвоночную артерию, между этими сосудами может формироваться активный коллатеральный кровоток. Дополнительным источником коллатерализации является вилизиев круг. Благодаря этому односторонняя окклюзия позвоночной артерии редко вызывает клинические проявления. Окклюзионное поражение сонных артерий приводит к усилению кровотока по позвоночным артериям.
Так как позвоночные артерии, как правило, ассиметричны, сравнение их размеров не имеет особой диагностической ценности.
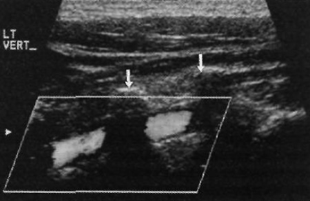
УЗИ позвоночных артерий проводят в положении пациента лежа на спине, голова повернута в противоположную от датчика сторону. Исследуемые сосуды находятся немного кзади и латерально по отношению к общей сонной артерии. Позвоночную артерию в области ее прохождения через отверстия в поперечных отростках шейных позвонков визуализируют с помощью цветовой допплерографии.
Как правило, используют датчик с частотой 7,5 МГц. Если шея большая, для проведения цветовой допплерографии позвоночных артерий нужна большая проникающая способность – в этом случае применяют датчик с частотой 5 МГц. Датчик можно располагать в плоскости теней от поперечных отростков. Независимо от локализации можно визуализировать только один сегмент артерии (фото 14).

Фото 14. Позвоночная артерия в норме. Кровоток направлен к голове (в данном случае – от датчика). Стрелками обозначены поперечные отростки позвоночника, которые препятствуют нормальной визуализации артерий в отверстиях позвонков
Рутинное ультразвуковое исследование сонных артерий подразумевает проведение цветовой и спектральной допплерографии позвоночных артерий. Если есть показания, которые специфичны при нарушении вертебробазилярного кровотока, УЗИ проводят по следующему протоколу:
Отдельное внимание нужно уделить техническим сложностям при исследовании позвоночных артерий:
В норме волна позвоночной артерии характеризуется низким сопротивлением и постоянным кровотоком на всем протяжении диастолы. Во время всего сердечного цикла кровоток направлен к голове.
Отсутствие кровотока в позвоночной артерии (при условии успешного выявления сосуда) свидетельствует об окклюзии. В случае выраженного стеноза и потока малой силы возможен ложноположительный диагноз окклюзии. Увеличение максимальной систолической скорости потока более чем 40 см/с свидетельствует на стеноз 50% диаметра просвета позвоночной артерии. Отметим, что параметры скорости потока при стенозе позвоночной артерии могут быть разными. Уменьшение скорости кровотока отмечается дистально по отношению к тяжелому стенозу позвоночной артерии. В этом случае форма пульсовой волны становится более плоской. При значительном сужении дистально от места проведения исследования (в дистальной части позвоночной или основной артерии) также может отмечаться снижение скорости потока. Но в этом случае пульсовая волна имеет вид, соответствующий повышенному сосудистому сопротивлению, – острый систолический подъем и уменьшение диастолического кровотока.
Форма пульсовой волны как при наличии коллатерального кровотока, так и в случае проксимально расположенной окклюзии, выглядит сглаженной. Формирование коллатерального кровотока в позвоночных артериях (как, например, при стенозе сонных артерий) характеризуется увеличением кривой пульсовой волны, а также увеличением систолической и диастолической скоростей. Проксимальная обструкция (например, при поражении проксимального отдела позвоночной артерии, подключичной артерии или плечеголовного ствола) уменьшает диаметр позвоночной артерии, отмечается снижение скорости систолического и диастолического кровотока, уменьшается объем потока.
Обратный кровоток (поток «туда-сюда») в позвоночных артериях возникает при синдроме подключичного или позвоночного «обкрадывания».
Синдром «обкрадывания» из позвоночной в подключичную артерию возникает при стенозе подключичной артерии, который образуется проксимальнее по отношению к месту ответвления ипсилатеральной позвоночной артерии. При этом происходит изменение направления кровотока по односторонней позвоночной артерии. Таким образом, кровоток в подключичной вене дистальнее места окклюзии может проходить через систему коллатерального кровотока (из противоположной позвоночной артерии через основную артерию). Примерно в 85% случаев диагностируют поражение левой подключичной артерии. Отметим, что при этой патологии редко возникают неврологические симптомы.
Основным ультразвуковым признаком синдрома «обкрадывания» из позвоночной в подключичную артерию является направление кровотока, которое может быть обратным на протяжение всего сердечного цикла или двунаправленным (в систолу поток прямой, в диастолу – обратный). Нужно отметить, что в покое у больного может наблюдаться нормальный кровоток, но при физической нагрузке, когда мышцы руки нуждаются в большем количестве крови, наблюдаются физиологические изменения.
Синдром «обкрадывания» более четко можно наблюдать при индукции гиперемии руки путем раздувания манжеты тонометра выше систолического давления (примерно на 5 минут). В норме после выпускания воздуха из манжеты кровоток по ипсилатеральной позвоночной артерии остается нормальным, направленным в сторону головы. При патологии кровоток позвоночной артерии меняет направление и становится двухфазным (фото 15).

Фото 15. Подключичное «обкрадывание». Наблюдается обратный кровоток в позвоночной артерии в направлении левой руки, обусловленный стенозом ипсилатеральной подключичной артерии, который локализован проксимальнее места ответвления контралатеральной позвоночной артерии. Коллатеральный кровоток проходит по противоположной позвоночной артерии через основную артерию
Тромбоз глубоких вен верхних конечностей встречается гораздо реже – на его долю...
Трансплантация почки показана больным с хронической почечной недостаточностью, которые...
Сегодня показатель выживаемости в течение первого года после пересадки печени превышает 85%. В...
Внутриутробная задержка развития (ВУЗР) диагностируют, если масса плода ниже 10-го процентиля...
В отличие от артефактов традиционного ультразвукового исследования в режиме серой шкалы, для...
анализы, БАД, биологическая медицина, витамины, гастроэнтерология, гигиена, гинекология, гомеопатия, дерматология, диагностика, диетология, заболевания, иммунология, инфекционные заболевания, инфекция, исследования, кардиология, кожа, косметика, красота, лекарственные растения, лечение, лицо, неврология, обследование, оздоровление, онкология, ортопедия, педиатрия, питание, пищеварительная система, поведение, похудение, препараты, продукты, профилактика, процедура, психология, пульмонология, рак, реабилитация, сердечно-сосудистая система, ССС, тело, терапия, травматология, уход, фитотерапия, хирургия, эндокринология
Показать все теги

Комменатрии к новости