Основы УЗИ: Артефакты в режиме серой шкалы
Реверберация обусловлена отражением ультразвука внутри тканей. Многократное отражение приводит...
Медицина / Диагностика / Диагностика (статья)
УЗИВ отличие от артефактов традиционного ультразвукового исследования в режиме серой шкалы (см статью «Основы УЗИ: Артефакты в режиме серой шкалы»), для допплеровского исследования характерны следующие уникальные артефакты: мерцание, ложный поток, вспышки, смешивание, краевой артефакт, ложное отсутствие потока и ложное расширение спектра. Ниже кратко рассмотрим каждый из перечисленных артефактов.
Артефакт мерцания наблюдается за сильно отражающими поверхностями (например, камни в мочевыделительной системе или в почечной паренхиме). Артефакт характеризуется быстро сменяющимися допплеровскими сигналами с характерным спектром и зашумлением. Визуализация артефакта мерцания в большей степени зависит от настроек аппарата ультразвукового исследования и, как правило, возникает при узком диапазоне и внутреннем источнике шума аппарата УЗИ – так называемое фазовое дрожание (часовое дрожание) (фото 1 и 2).
УЗИ: Дублированный артефакт мерцания
Фото 1. Катетер Фолея. Дублированный артефакт мерцания. А – на черно-белом изображении не отмечается каких-либо нарушений, при этом на фото В наблюдаются множественные разноцветные пиксели (элементы изображения), которые исходят из переднего сегмента баллона катетера Фолея
УЗИ почек: артефакт мерцания при камнях в почках
Фото 2. УЗИ почек: артефакт мерцания при камнях в почках. А – черно-белое изображение демонстрирует слабый эхогенный очаг в нижнем полюсе почки и еще один очаг – в верхнем полюсе почки. Эти очаги сложно отличить от синуса. Тени отсутствуют. В – цветное допплеровское исследование демонстрирует интенсивное мерцание (разноцветные пиксели) позади камней, также наблюдается нормальный цвет потока почечных сосудов. Камни в почках трудно диагностировать без обнаружения мерцания
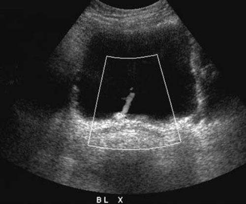
Артефакт ложного потока по сути является потоком реально жидкости, но не крови, например, амниотическая или асцитическая жидкость. В качестве примера ложного потока также можно привести струю в мочевом пузыре. Таким образом, используемый в повседневной практике термин «ложный поток» по сути является неправильным, поскольку более корректно применять термин «некровянной поток» (фото 3, 4, 5).

Фото 3. УЗИ мочевого пузыря: струя мочи в мочевом пузыре. Поперечная проекция основания мочевого пузыря демонстрирует нормальный выброс жидкости из правого мочеточника

Фото 4. УЗИ органов мошонки: артефакт ложного потока. А – продольное изображение верхнего отдела яичка и придатка с кистой: на цветной допплерограмме интенсивно окрашенная полоса заполняет часть кисты. В – спектральная допплерограмма демонстрирует монотонный однонаправленный поток, позволяющий определить движение жидкости или взвеси в самой кисте
УЗИ брюшной полости: артефакт ложного потока при асците
Фото 5. УЗИ брюшной полости: артефакт ложного потока при асците. А – поперечное изображение в режиме серой шкалы через серповидную связку отмечается анэхогенная жидкость, которая ее окружает. В – цветная допплерография демонстрирует окрашенную жидкость
Артефакт ложного потока позволяет выявить течение жидкости или баллотирование (колебание или смещение анатомического образования в какой-либо полости организма) в местах скопления жидкостей (например, при абсцессе или гематоме, которые могут симулировать объемные образования).
Артефакт вспышки возникает в результате внезапного всплеска цветового сигнала, который накрывает всю рамку. Это может возникать при движении датчика или дыхательном движении. Отметим, что этот артефакт может возникать в печени из-за прилегающего к ней сердца (фото 6).

Фото 6. Артефакт вспышки. А – цветная допплерография демонстрирует разноцветные пиксельные поля, которые заполняют цветной сектор при завершении дыхательного движения. В – через 1-2 секунды визуализируется истинный кровоток по сосудам
Артефакт растекания цвета характеризуется распространением цвета за пределы области потока и стенок сосудов. Уменьшить данный артефакт можно путем снижения цветового усиления (gain).
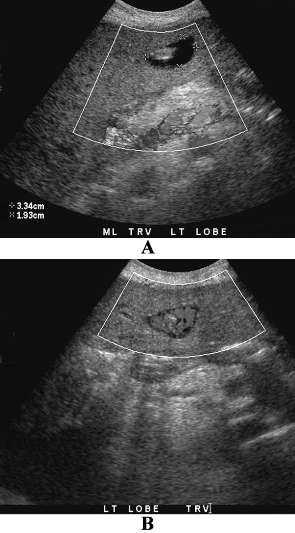
Краевой артефакт образуется на поверхности сильного отражателя, на изображении похож на кальцифицированную структуру (например, кортикальный слой костной ткани, камни в желчном пузыре и др) (фото 7).
УЗИ: Камень в желчном пузыре с краевым артефактом
Фото 7. Камень в желчном пузыре с краевым артефактом. А – черно-белое изображение крупного камня в желчном пузыре. В – усиленное допплерографическое изображение, на котором наблюдается имитация потока на поверхности камня. Спектральная запись на фото В демонстрирует только шум и отсутствие потока. Это характерно для цветной допплерографии и для усиленного допплеровского исследования.
Артефакт смешивания обусловлен неправильным измерением частоты сигнала из-за недостаточной частоты ультразвукового сигнала (см статью «Основы УЗИ»), в результате чего возникает смешивание в виде скопления цветовых сигналов в области двойственности измерения. На спектральном мониторе артефакт смешивания визуализируется как «оборачивание» областей в диапазоне от высокой частоты до частот ниже основной. То есть, этот артефакт образуется в случаях, когда допплеровский сдвиг превышает 50% частоты повторений импульса (фото 8).
Допплерография сонной артерии: артефакт смешивания
Фото 8. Допплерография сонной артерии: артефакт смешивания. А – допплерограмма общей сонной артерии в норме: поток направлен в сторону датчика, на изображении должен быть красный цвет; так как поток имеет большую скорость и расположен центрально (белый и желтый), он превосходит размер положительной части допплеровской шкалы, поэтому оборачивается с отрицательной стороны. В результате поток визуализируется как направленный от датчика, как в прилежащей яремной вене. В – спектральная допплерограмма общей сонной артерии в норме: небольшая шкала скорости, нормальный пик систолической скорости превосходит размер шкалы и оборачивается вокруг, выходя снизу
Исключить артефакт смешивания можно прежде всего путем повышения PRF (частоты повторений импульса), либо путем снижения частоты допплеровского сдвига (для этого надо использовать датчик низкой частоты).
Расширенный спектр на спектральном графике в каждый момент сердечного цикла возникает большой диапазон скоростей потока, что является признаком выраженного стеноза. Артефакт расширения спектра визуализируется аналогично и может быть обусловлен близким расположением исследуемой области ткани с сосудом, аномально большой исследуемой площадью или значительной системной задержкой.
При допплерографии артефакт зеркального изображения такой же, как и при ультразвуковом исследовании в режиме серой шкалы (см статью «Основы УЗИ: Артефакты в режиме серой шкалы»). Мощный зеркальный рефлектор отражает допплеровский сигнал к объекту и обратно, при этом увеличивается время возврата волны к датчику. Во время допплеровского исследования волны отражаются, как правило, от поверхности плевры, при этом наблюдается зеркальное отражение подключичной артерии или вены. Спектральный допплеровский сигнал отражается аналогично цветной допплерографии (фото 9).
Допплерография подключичной артерии: артефакт зеркального изображения
Фото 9. Допплерография подключичной артерии: артефакт зеркального изображения. А – на допплерограмме визуализируется нормальная подключичная артерия, при этом наблюдается вторая аналогичная артерия под поверхностью плевры (см стрелки). В – спектральный допплеровский сигнал истинной артерии не отличается от сигнала отраженной (зеркальной) артерии (фото С)
Допплеровский сигнал может теряться по многим причинам, например, из-за использования датчика на очень высокой частоте, в результате чего происходит быстрое затухание сигнала и затрудняется проникновение волн в глубоко расположенные ткани. Также причиной потери сигнала, исходящего от потока низкой скорости, могут быть неправильные (высокие) настройки чувствительности фильтров, которые применяют с целью устранения низкочастотных шумов. А если допплеровский угол 90°, поток отсутствует (при угле более 60° возникают неточности измерения).
Для обнаружения медленного или замедляющегося потока следует учитывать следующие факторы:
Данный вопрос требует более развернутого рассмотрения, не предусмотренного в данной статье. Однако, следует выделить основные моменты, на которые нужно обратить внимание, например, ложный поток может восприниматься как настоящий сосуд (в таком случае можно ошибочно диагностировать коллатеральные сосуды у больных с асцитом в случаях, когда асцит не обусловлен патологией печени), а артефакт вспышки можно ложно воспринять как васкуляризацию структуры (по сути анэхогенной структуры, например, почечная киста). Ложное расширение спектра можно ошибочно воспринять за стеноз высокой степени в здоровом сосуде, а медленный поток интерпретировать как тромбоз (при неправильно настроенном фильтре или большим допплеровским углом). Также нужно отметить, что использование фильтров для подавления низкочастотных сигналов может привести к получению неправильных результатов сопротивления.
С другой стороны, допплеровские артефакты позволяют проводить точную диагностику, например, артефакт мерцания позволяет выявить камни в желчном пузыре.
Реверберация обусловлена отражением ультразвука внутри тканей. Многократное отражение приводит...
Постоянное развитие визуализирующих систем диагностики способствует их широкому внедрению в...
Оптимальная тактика интенсивной терапии при остром респираторном дистресс-синдроме (ОРДС)...
Хронический холецистит – хроническое воспалительное заболевание желчного пузыря, которое...
Исследователи Оксфордского университета Кристоффер Неллекер и Эндрю Циссерман создали...
анализы, БАД, биологическая медицина, витамины, гастроэнтерология, гигиена, гинекология, гомеопатия, дерматология, диагностика, диетология, заболевания, иммунология, инфекционные заболевания, инфекция, исследования, кардиология, кожа, косметика, красота, лекарственные растения, лечение, лицо, неврология, обследование, оздоровление, онкология, ортопедия, педиатрия, питание, пищеварительная система, поведение, похудение, препараты, продукты, профилактика, процедура, психология, пульмонология, рак, реабилитация, сердечно-сосудистая система, ССС, тело, терапия, травматология, уход, фитотерапия, хирургия, эндокринология
Показать все теги

Комменатрии к новости