Основы УЗИ
Постоянное развитие визуализирующих систем диагностики способствует их широкому внедрению в...
Медицина / Диагностика / Диагностика (статья)
Реверберация обусловлена отражением ультразвука внутри тканей. Многократное отражение приводит к образованию дополнительного эха, которое интерпретируют как более глубокое, чем на самом деле. Идентифицируют артефакты реверберации по горизонтальным линейным эхо, которые располагаются на одинаковых промежутках с постепенно снижающейся интенсивностью.
Снизить выраженность артефакта реверберации можно с помощью гармонического изображения (например, реверберация при УЗИ печени в некоторых случаях может маскировать кисту или объемное образование).

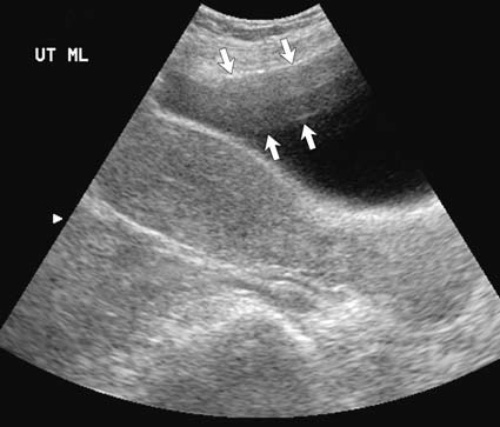
Рисунок 1. УЗИ мочевого пузыря. Стрелками указан участок реверберации в передних отделах мочевого пузыря
Этот артефакт представляет собой вариант артефакта реверберации, и обусловлен он, как правило, наличием пузырьков газа. Когда звуковые волны взаимодействуют с пузырьками газа, происходит возбуждение жидкости, находящейся между этими пузырьками, в результате чего появляется резонанс. Такой эффект дает большое количество ложных эхо, расположение которых кажется глубже истинного эхо. На практике артефакт множественного отражения используют для диагностики внутрибрюшного свободного газа (рисунок 2).

Рисунок 2. Газы, отражая звуковые волны, могут образовывать тени с четкими границами (см указатели). Реверберация звука внутри газовых пузырьков образует артефакт множественного отражения (см стрелки)
Артефакт «хвост кометы» является вариантом реверберации, возникающий при проникновении ультразвука в кристалл холестерина, что вызывает внутреннее отражение волн перед возвратом к датчику. Нужно отметить, что каждое дополнительное отражение образует дополнительное ложное эхо, которое располагается глубже истинного. Из-за того, что каждое дополнительное отражение приводит к ослабеванию волны, каждое более глубоко расположенное эхо обладает меньшими размерами, в результате чего образуется V-образный артефакт, описываемый как «хвост кометы» (рисунок 3).

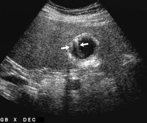
Рисунок 3. УЗИ желчного пузыря: Артефакт «хвост кометы» (стрелки) характеризуется наличием параллельно сужающихся эхо, которые образуют реверберации внутри кристаллов холестерина в стенке желчного пузыря
Артефакт «хвост кометы» информативен при выявлении кристаллов холестерина в желчном пузыре, а также при диагностике полипов и аденомиоматоза. Также «хвост кометы» образуется при наличии металлических предметов, например, хирургических скрепок.
Возникновение артефакта зеркального изображение обусловлено наличием сильных отражателей. В этом случае волны отражаются от косо ориентированного зеркального отражателя, после чего звук отражается уже от вторичного объекта, достигая датчика в виде косо ориентированного изображения сильного отражателя. Поскольку цифровая обработка не включает алгоритм обработки внутреннего отражения, на изображении отображается положение эха на основании пропорциональной зависимости между временем, за которое звуковая волна преодолевает конкретное расстояние, и глубину, из которой возвращается эхо. Таким образом, глубоко расположенные сильные отражатели образуют зеркальное изображение. Артефакт зеркального отражения часто вызывает диафрагма (сильный отражатель), например, разного рода поражения печени могут отражаться диафрагмой, тем самым создавать ложное впечатление поражения легких (рисунок 4).

Рисунок 4. УЗИ печени: артефакт зеркального отражения. Стрелками указана гемангиома печени, которая отражается диафрагмой. Отражение находится позади диафрагмы, в результате чего отображается второе ложное повреждение (обозначено указателями), хотя на самом деле в этой зоне уже находится легкое
Акустическое затенение обусловлено наличием вещества, которое полностью (или почти полностью) отражает или поглощает ультразвуковую волну. В результате мощность волны значительно снижается – она не может преодолеть плотное вещество и проникнуть в более глубоко расположенные ткани.
Акустическое затенение позволяет выявить любые камни (например, камни в желчных протоках, в почках и др; рисунок 5).

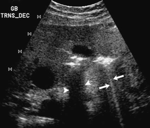
Рисунок 5. УЗИ желчного пузыря: акустическое затенение. А – камни в желчном пузыре идентифицируются по четкой звуковой тени (см стрелки); данный пациент находится в положении лежа на спине, что не позволяет обнаружить все камни (такое предположение сделано на основании тени). Кроме этого нужно обратить внимание на акустический эффект усиления позади желчного пузыря (отмечено звездочкой). В – УЗИ желчного пузыря того же пациента в положении лежа на боку: определяются множественные эхогенные тени (указатели), за которыми хорошо определяется тень (стрелки)
Этот артефакт может быть препятствием при исследовании глубоко расположенных структур, например, позади ребер. Акустическое затенение также может определяться при значительном несовпадении сопротивлений двух тканей (например, мягкие ткани и газ, рисунок 2), что приводит к отсутствию эха позади поверхности контакта (это явление часто наблюдается при активном газообразовании в кишечнике, что препятствует визуализации тканей, расположенных более глубоко).
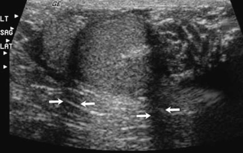
Артефакт преломления (рефракции) возникает в результате преломления звука, который проходит через разные типы тканей с разными скоростями звуковой волны (аналогичный эффект наблюдается в оптических линзах – скорость света в воздухе и стекле разная). Таким образом формируется артефакт неправильной регистрации, поскольку алгоритмы программы аппарата УЗИ рассчитаны на образование эха по прямой траектории. Как результат – визуализация исследуемого объекта происходит не в месте его истинной локализации. Артефакт преломления также дает затенение концов образований (рисунок 6), а в некоторых случаях может вызывать двойное изображение объекта. Как правило, этот эффект наблюдается в местах контакта абдоминального жира с прямыми мышцами живота, когда более глубокие ткани визуализируются удвоенными – артефакт-призрак.

Рисунок 6. Гипоэхогенные тени (стрелки), которые возникают вследствие отклонения волны, вследствие чего ослабленные ультразвуковые волны попадают на изображение тканей данного участка
Важно обратить внимание, что артефакт рефракции может мешать проведению биопсии, когда используют прямую иглу (этот эффект можно сравнить с охотой на рыбу с гарпуном на поверхности воды, то есть, видимая в воде рыба находится не в том месте, где ее видит охотник). В этом случае проблему можно решить путем сканирования конкретного участка под разными углами.
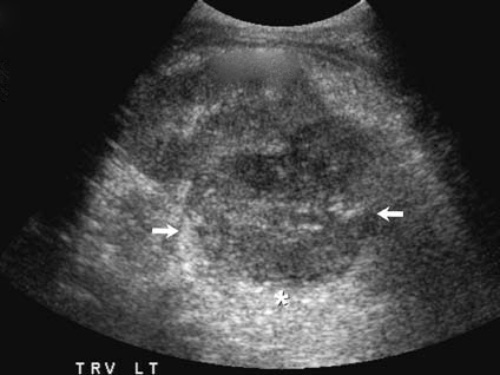
Акустический эффект усиления можно наблюдать позади тканей, которые отражают или поглощают незначительное количество энергии звуковой волны, например, гомогенные образования (лимфомы) или кисты. Таким образом, объекты, расположенные, например, за кистой, получают неослабленные волны. А алгоритм компенсации времени более глубоких источников эха усиливает сигнал в большей степени, чем поверхностные сигналы. В результате изображение тканей, расположенных глубже кисты, на изображении смотрятся более эхогенными (рисунок 5А и 7).

Рисунок 7. УЗИ почки. Стрелками указан абсцесс почки с акустическим эффектом усиления (звездочка)
Значительная часть ультразвуковых волн происходит из центра луча. Примерно 1% энергии ультразвука распределяется от периферии – эти части потока являются боковыми долями, которые в обычных условиях слабы для формирования значимого эха. Однако бывают случаи, когда эти волны (боковые доли) сталкиваются с сильными отражателями и образуют артефакты. Нужно отметить, что такие артефакты образуются из-за того, что программный алгоритм интерпретирует образованные эхо как образованные из центрального потока, например, ложное наличие эхогенной желчи в желчном пузыре (рисунок 8).

Рисунок 8. УЗИ желчного пузыря: боковые доли. А – желчный пузырь (пациент находится в положении лежа на спине), стрелками указаны множественные эха, что дает основание полагать наличие отложений или мелких камней. В – УЗИ того же пациента в положении лежа на боку демонстрирует, что эхо, полученное на снимке А, является артефактом, а просвет желчного пузыря чистый
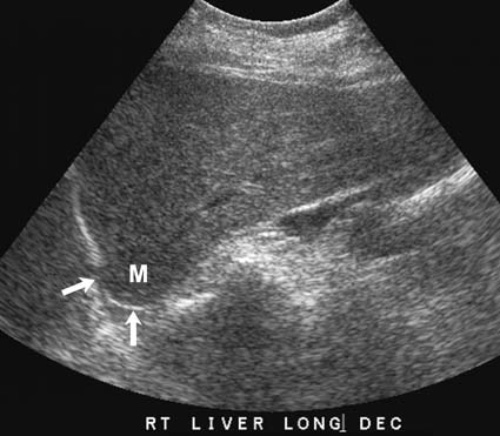
Артефакт скорости звука обусловлен прохождением звуковой волны через какое-либо вещество со скоростью, которая значительно отличается от нормальной – 1540 метров в секунду (см статью «Основы УЗИ»). То есть, если какая-либо ткань замедляет скорость звука, проходящее сквозь нее эхо задерживается, в результате чего глубина объекта определяется большей, чем есть на самом деле (рисунок 9).

Рисунок 9. УЗИ печени: Артефакт скорости звука. Стрелками отмечена диафрагма, на которой наблюдается почти изоэхогенное образование (М), локализованное кпереди от диафрагмы. Учитывая тот факт, что через данное образование волны проходят медленнее, эху нужно больше времени, чтобы вернуться от диафрагмы к датчику, чем при прохождении ткани здоровой печени. Таким образом, на изображении отмечается изменение ткани печени
Постоянное развитие визуализирующих систем диагностики способствует их широкому внедрению в...
Доскообразный живот (напряжение мышц передней брюшной стенки) является классическим симптомом...
Диафрагмальные грыжи (Hernia Diaphragmatica) – смещение тканей и органов брюшной полости...
Диафрагмальная грыжа развивается вследствие дефекта диафрагмы, в результате которого в грудную...
Опухоли и кисты средостения являются большой и разнородной группой новообразований....
анализы, БАД, биологическая медицина, витамины, гастроэнтерология, гигиена, гинекология, гомеопатия, дерматология, диагностика, диетология, заболевания, иммунология, инфекционные заболевания, инфекция, исследования, кардиология, кожа, косметика, красота, лекарственные растения, лечение, лицо, неврология, обследование, оздоровление, онкология, ортопедия, педиатрия, питание, пищеварительная система, поведение, похудение, препараты, продукты, профилактика, процедура, психология, пульмонология, рак, реабилитация, сердечно-сосудистая система, ССС, тело, терапия, травматология, уход, фитотерапия, хирургия, эндокринология
Показать все теги

Комменатрии к новости