УЗИ печени. Часть 2
Цирроз печени – диффузный процесс (часто прогрессирующий и необратимый), который...
Медицина / Диагностика / Диагностика (статья)
УЗИ почекПРОДОЛЖЕНИЕ, НАЧАЛО ЗДЕСЬ: УЗИ почек. Часть 1
Острый пиелонефрит – воспаление чашечек, лоханки и паренхимы почек, которое чаще всего возникает из-за инфекции мочевыводящего тракта (например, Escherichia coli – кишечная палочка). К основным ультразвуковым признакам острого пиелонефрита относятся:
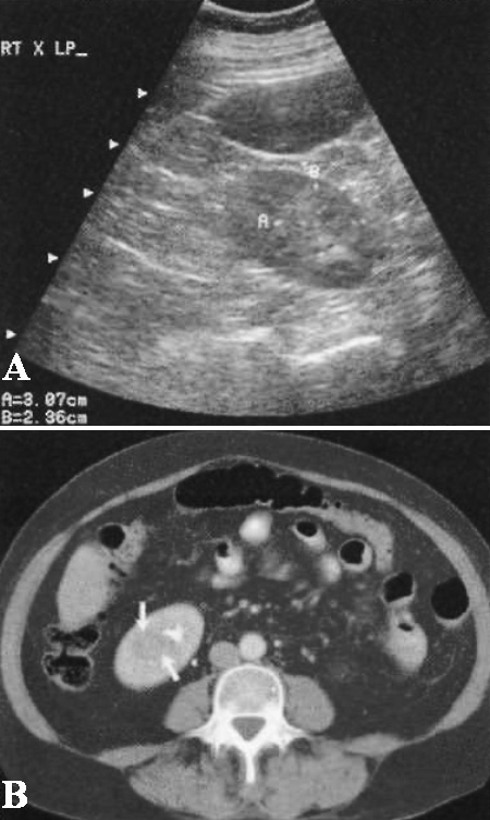
Очаговые зоны инфекционного процесса могут быть гипо- или гиперэхогенными, а также могут визуализироваться как объемные образования (фото 7)

Фото 7. Пиелонефрит. Ультразвуковое изображение правого нижнего полюса, на котором визуализируется гиперэхогенное объемное образование, размером 3 см, которое соответствует очагу пониженной плотности на КТ с усилением – картина очагового пиелонефрита
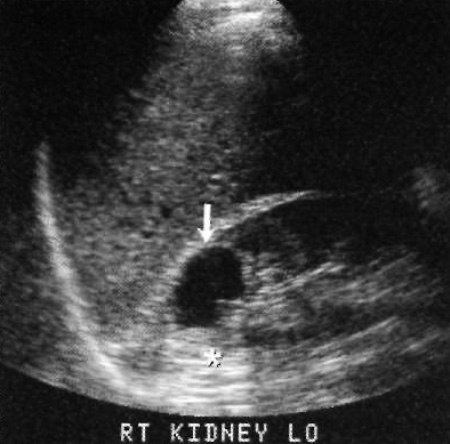
Абсцесс почки на УЗИ визуализируется как округлое эхогенное или гипоэхогенное образование в толще паренхимы, стенки тонкие, есть перегородки. Может наблюдаться (или отсутствовать) акустический эффект усиления (фото 8).

Фото 8. Почечный и околопочечный абсцесс. Ультразвуковое поперечное изображение левой почки. Стрелками обозначено образование, имеющее вид плотной массы с внутренним эхо. При этом васкуляризация образования отсутствует; звездочкой отмечен акустический эффект усиления – признак жидкостного содержания. У данного пациента абсцесс образовался в почке, затем распространился на периренальное пространство
Пионефроз – терминальная стадия гнойно-деструктивного пиелонефрита, при этом происходит скопление гнойных масс внутри закупоренных мочевыводящих путей. Пионефроз часто возникает у молодых людей с обструкцией лоханочно-мочеточникового сегмента или у пациентов с мочекаменной болезнью. При этом состоянии УЗИ не дает достаточной чувствительности и специфичности: как правило удается обнаружить только неспецифические признаки гидронефроза или гидроуретера (атония мочеточника, дилатация мочеточника) либо без него. В некоторых случаях можно обнаружить эхогенный гной, который заполняет или образует слои внутри мочевыводящей системы.
Ксантогранулематозный пиелонефрит – хронический воспалительный процесс в почке, при котором происходит замещение нормальной почечной паренхимы на липидосодержащие макрофаги. Как правило, возникает вследствие продолжительной обструкции. Ультразвуковая картина часто демонстрирует увеличение размеров почки, заднее звуковое затенение от центрально расположенного коралловидного камня, много расширенных чашечек.
Сосочковый некроз (папиллярный почечный некроз, некротический папиллит, некроз почечных сосочков) на ранних стадиях УЗИ не позволяет достоверно диагностировать. Когда сосочек размягчается на более поздних стадиях заболевания, внутри расширенной чашечно-лоханочной системы визуализируется эхогенный материал без акустической тени (при попадании этих масс в мочеточник возникает обструкция и развивается гидронефроз).
На УЗИ камни в почках визуализируются в виде очагов со значительной гиперэхогенностью по отношению к почечной паренхиме. Основным ультразвуковым признаком камней в почках является задняя звуковая дорожка, появление которой обусловлено неспособностью ультразвуковой волны проникать через камни (анэхогенная дорожка возникает в противоположном направлении от датчика) (фото 9).
Фото 9. Камень почки. А – свободнолежащий камень. B – закупоривающий камень в просвете почечной лоханки. Стрелками обозначена звуковая дорожка, которая менее выражена при паренхиматозном камне (А), чем при камне лоханки (В)
Затруднить обнаружение камней могут сосудистые кальцинаты почечных артерий, которые ложно визуализируются как камни. Также камни сложно выявить на эхогенном фоне почечной лоханки. Мелкие камни, размером до 5 мм, могут не образовывать тени, особенно если они не попали в фокальную зону датчика (в этом случае их легче выявить путем цветовой или усиленной допплерографии, при которой камень дает артефакт мерцания – см статью «Основы УЗИ: Артефакты Допплерографии») (фото 10).
УЗИ: Камни в почках без затенения
Фото 10. Камни в почках без затенения. А – на черно-белом ультразвуковом изображении стрелкой обозначено бледное эхо в нижнем полюсе почечного синуса без тени. В – цветовая допплерография позволяет выявить интенсивное мерцание (разноцветные пиксели) позади камней, также наблюдается нормальный цвет потока почечных сосудов. Мелкие камни трудно диагностировать без обнаружения мерцания
Термин «нефрокальциноз» используют при описании кальцификации паренхимы почки. Нефрокальциноз мозгового вещества почки характеризуется образованием кальцификатов в пирамидах. Основными причинами развития кальциноза мозгового вещества являются:
Кальциноз коркового вещества (кальцификация кортикальной паренхимы) – более редкая форма нефрокальциноза, который возникает на фоне хронического гломерулонефрита, острого коркового некроза или отторжения трансплантата почки.
Ультразвуковая картина нефрокальциноза характеризуется наличием эхогенного очага в проекции коркового вещества (при корковом нефрокальцинозе) или в проекции пирамид мозгового вещества (при мозговом нефрокальцинозе). Отметим, что при незначительной кальцификации ультразвуковая тень не возникает (фото 11).

Фото 11. Мозговой нефрокальциноз. Ультразвуковое изображение в продольной проекции: пирамиды (отмечены звездочками) светлые, как почечный синус (в норме пирамиды гипо- или изоэхогенные по отношению к паренхима)
Наследственный нефрит (синдром Альпорта) – генетическая патология, обусловленная поражением X-хромосомы, при которой у больного также возникает нейросенсорная (перцептивная) тугоухость. При ухудшении состояния образуются камни в корковом веществе почек.
Губчатая почка (доброкачественная тубулярная эктазия) – патология неизвестной этиологии, характеризующаяся расширением дистальных отделов собирательных трубочек, в результате которого возникает застой в собирательных трубочках, что приводит к образованию камней. Таким образом, у пациентов с губчатой почкой часто диагностируют кальциноз мозгового вещества. Обнаружить патологию на УЗИ очень сложно, однако при развитии нефрокальциноза в проекции пирамид мозгового вещества определяют множественные эхогенные очаги.
Простая киста на УЗИ определяется как анэхогенный просвет с четкими тонкими и гладкими стенками, отмечается заднее усиление сигнала, возникновение которого обусловлено более быстрым прохождением ультразвука через жидкость, чем через мягкие ткани. Таким образом позади жидкостной кисты возникает сигнал большой амплитуды (фото 12).

Фото 12. Киста почки. Стрелкой обозначена простая киста, которая представляет собой анэхогенное образование с четко визуализируемой задней стенкой и акустическим эффектом усиления (обозначен звездочкой)
Сложная киста на УЗИ определяется как образование с утолщенными стенками, внутренним эхо, перегородками и кальцификацией. Еще одним признаком сложной кисты является отсутствие заднего усиления сигнала.
Окололоханочная киста формируется в почечном синусе. Специалисты считают, что развитие этих кист имеет лимфогенный характер, и они имеют такие же характеристики, что и простые кисты. Как правило, окололоханочные кисты бессимптомны, однако при значительном увеличении размеров у больного повышается артериальное давление и развивается гидронефроз. В некоторых случаях эти кисты трудно дифференцировать с гидронефрозом (при гидронефрозе ультразвуковая картина демонстрирует соединение чашечек с собирающей системой почек) (фото 13).
Фото 13. Окололоханочные кисты. А – продольное ультразвуковое изображение: гипоэхогенные кистовидные поражения почечной лоханки (такие образования не всегда соединяются между собой, однако могут соединяться с лоханкой). В – КТ того же больного: стрелками обозначены кисты с жидкостью, которые распределены по собирающей системе почек
Киста с кальциевым молочком образуется в результате накопления кристаллического вещества, которое на УЗИ имеет эхогенный вид, также визуализируются опускающиеся вниз слои, дающие заднее звуковое затенение. Несмотря на то, что эти кисты не имеют важного клинического значения, их необходимо дифференцировать со злокачественными образованиями!
|
Класс |
Описание |
Пример |
|
I |
Простая киста |
|
|
II |
Перегородки, небольшие отложения кальция, усиление сигнала отсутствует, плотные кисты, инфицированные кисты (фото 15) |
|
|
IIF |
Если киста не соответствует критериям II и III классов, ее классифицируют как IIF |
|
|
III |
Многоочаговые, геморрагические, отмечаются плотные кальцинаты или не усиливающие плотность компонент |
|
|
IV |
Определяется усиливающий компонент с неоднородными краями |
|
|
Кисты III и IV классов требуют оперативного лечения!!! |
||

Фото 15. Сложная киста II класса по Босняку. Курсорами отмечена киста нижнего полюса: визуализируется центральная эхогенная перегородка или линия
Мультикистозная диспластическая почка (MCDK), или мультикистоз почки, – аномалия развития, характеризующаяся замещением нормальной паренхимы почки большим количеством несообщающихся кистозных образований. При этом у больного отмечается значительное снижение или полное отсутствие функции почки. В большинстве случаев процесс односторонний; двустороннее поражение носит летальный характер.
Ультразвуковая картина MCDK демонстрирует почку небольших размеров со множеством несообщающихся кист, нормальная паренхима не наблюдается. Мочеточник и почечная артерия атрезированы или отсутствуют. Данная патология часто сочетается с аномалиями контралатеральной почки (например, обструкция лоханочно-мочеточниковый сегмента).
Мультилокулярная кистозная нефрома – редкое доброкачественное новообразование, при котором много кист разного размера находятся в толстой псевдокапсуле. Примерно в 50% случаев патологию диагностируют у мальчиков младше 10 лет, а в 50% - у женщин, возрастом 30-40 лет. Ультразвуковая картина образования имеет неспецифические признаки, что затрудняет дифференциальную диагностику мультилокулярной кистозной нефромы с кистовидной почечно-клеточной карциномой. В перегородках может отмечаться кровоток. Облегчить диагностику нефромы помогает выявление классических признаков кистозного образования, которое выпячивается в лоханку почки, однако этот признак не является диагностическим критерием.
Среди первичных злокачественных новообразований почек у взрослых чаще всего диагностируют почечно-клеточную карциному. Чаще патологию диагностируют у мужчин. Максимальное количество заболеваемости отмечается в возрастной группе от 50 до 70 лет. Нужно отметить, что такие клинические признаки, как боль в боку, пальпируемое образование и гематурия возникают только не небольшом проценте случаев. В большинстве случаев почечно-клеточный рак на УЗИ определяется как плотное гипо-, изо- или гиперэхогенное образование (фото 16). Примерно в 7% случаев визуализируются кистовидные фрагменты, который трудно дифференцировать с доброкачественными кистами.
Фото 16. Почечно-клеточный рак. А – продольное изображение демонстрирует почти изоэхогенное образование, размером 4х3,5 см. В – продольное ультразвуковое изображение почки другого больного: стрелками обозначено гиперэхогенное образование, которое исходит из верхнего полюса почки
Риск развития почечно-клеточной карциномы повышается при следующих патологиях:
|
Стадия |
Характеристики |
|
I |
Образование ограничено капсулой почки |
|
II |
Опухоль проникает за пределы капсулы почки, однако остается в пределах фасции Герота. Образование может прорастать в надпочечник на той же стороне |
|
IIIA |
Поражение почечной вены |
|
IIIB |
Поражение регионарных лимфоузлов |
|
IIIC |
Поражение почечной вены и регионарных лимфоузлов |
|
IV |
Поражение прилегающих органов и/или наличие отдаленных метастазов |
Чаще всего на УЗИ можно обнаружить следующие осложнения рака почки:
Ультразвуковая картина позволяет выявить эхогенные включения в этих венах, а также исследовать кровоток с помощью допплерографии.
Диагностика тромбозов является важным элементом стадирования почечно-клеточного рака. Отметим, что стадирование рекомендуется определять с помощью МРТ или КТ.
Онкоцитомы могут быть доброкачественными и злокачественными. Их диагностируют примерно в 3-6% случаев онкологических патологий почек. Ультразвуковая картина онкоцитом похожа на почечно-клеточный рак, иногда их можно подозревать по центрально расположенному рубцу (однако данный признак не является специфичным). Онкоцитомам характерно мультицентрическое строение, примерно в 10% случаев они двусторонние, тогда как двусторонний почечно-клеточный рак встречается очень редко.
Медуллярная карцинома почки – редкое злокачественное образование, которое диагностируют только у молодых лиц негроидной расы с носительством гена серповидноклеточной анемии (НО НЕ С СЕРПОВИДНОКЛЕТОЧНОЙ АНЕМИЕЙ!). Рентгенологическая картина демонстрирует только наличие инфильтративного поражения. На УЗИ определяется неоднородное образование. Постановка диагноза основана на выявлении сочетанного образования в мозговом веществе почки у лиц негроидной расы с носительством гена серповидноклеточной анемии и гемоглобин SC. С момента постановки диагноза медуллярной карциномы почки средняя продолжительность жизни составляет около 15 недель.
Чаще всего метастазирование в почку происходит при раке легкого, раке груди и почечно-клеточного рака противоположной почки. На УЗИ метастазы визуализируются как одиночные или множественные образования, либо как диффузный инфильтративный процесс. В большинстве случаев визуализируется гипоэхогенное поражение с непостоянной васкуляризацией.
Переходно-клеточный рак диагностируют примерно в 7% случаев первичных опухолей почек. Этот вид рака трудно диагностировать с помощью УЗИ. Ультразвуковая картина демонстрирует плотное гипоэхогенное образование внутри системы мочевыведения. Отметим, что подобная картина может быть симулирована гипоэхогенным скоплением жира, а в случае отсутствия кровотока на допплерографии, образование трудно дифференцировать с тромбом. При подозрении на переходно-клеточный рак методом выбора диагностики является урография или ретроградная уретрография.
Поликистоз почек (поликистозная болезнь почек) имеет две формы: аутосомно-доминантный и аутосомно-рецессивный.
Аутосомно-доминантный поликистоз характеризуется развитием большого количества кист в обеих почках. Симптомы, как правило, проявляются после 40-летнего возраста. Клиническая картина сопровождается гипертензией, болями, гематурией, пальпируется образование. На фоне этого состояния кисты могут развиваться в других органах (печень, поджелудочная железа, селезенка). Патология может вызвать осложнения: разрыв кисты, инфекция, камнеобразование, почечная недостаточность.
Аутосомно-рецессивный поликистоз обусловлен патологическим расширением собирательных трубочек. На фоне этой формы поликистоза развивается поликистозное поражение печени. Обратим внимание на тот факт, что тяжесть поражения печени коррелирует с тяжестью поражения почек (то есть, чем тяжелее поражение почек, тем менее поражена печень и выше показатель летальности). На УЗИ мелкие кисты, которые обычно не визуализируются на эхограмме, определяются как гиперэхогенные почки (гиперэхогенность вызывают множественные поверхности стенок кист).
Болезнь Гиппеля-Линдау (цереброретинальный ангиоматоз, англ. Von Hippel–Lindau disease — VHL) – аутосомно-доминантная патология с высокой пенетрантностью, обусловленное генетическим нарушением короткого плеча 3-й хромосомы. Патология характеризуется развитием ангиомы сетчатки, гемангиобластомы ЦНС, кист поджелудочной железы, опухоли островковых клеток, феохромоцитомы, опухоли эндолимфатического мешка, цистаденомы придатка яичка, кисты широкой связки матки и кисты опухоли яичка. Примерно в 25-45% случаев на фоне болезни Гиппеля-Линдау развивается многоочаговый двусторонний почечно-клеточный рак.
Характерными ультразвуковыми признаками болезни Гиппеля-Линдау являются преимущественно кистозные образования с наличием плотных компонентов (в большинстве случаев плотный компонент – это почечно-клеточная карцинома). Если у пациента с болезнью Гиппеля-Линдау не развивается феохромоцитома – это подтип БГЛ-1; если есть феохромоцитома – БГЛ-2.
Болезнь Бурневилля–Прингля (туберозный склероз) – наследственная патология спорадического характера (примерно в 60% случаев патология проявляется спонтанно). Заболевание проявляется задержкой умственного и психического развития, аденомой сальных желез, судорогами. Поражение почек при туберозном склерозе (множественные кисты, опухоли, ангиомиолипомы, лимфангиомы, периферические скопления кист) диагностируют примерно в 50% случаев. Также диагностируют периферические бугорки, подпридатковые узелки, гамартомы сетчатки, гигантоклеточная астроцитома, рабдомиома сердца. Более чем в 80% случаев диагностируют двусторонние ангиомиолипомы.
Ангиомиолипома – доброкачественное образование, сформированное из кровеносных сосудов, миоцитов и жировой ткани. В большинстве случаев опухоли односторонние, кроме случаев туберозного склероза (в 80% случаев билатеральны), чаще возникают у женщин среднего возраста. У большинства пациентов отмечаются спорадические ангиомиолипомы. Ультразвуковая картина демонстрирует гиперэхогенные образования (такая же картина может визуализироваться при почечно-клеточном раке). Как правило, ангиомиолипома не вызывает симптомов, при этом есть риск кровоизлияния (особенно если опухоль > 4 см). Образование может прорастать в нижнюю полую вену. Диагностическое значение имеет наличие жировой ткани внутри опухоли на МРТ или КТ (фото 17).
УЗИ не позволяет точно дифференцировать ангиомиолипому с почечно-клеточным раком. Для подтверждения диагноза назначают КТ или МРТ.
Фото 17. Ангиомиолиома. Ультразвуковое продольное изображение: стрелками обозначено гиперэхогенное образование с четкими границами в нижнем полюсе почки. Диагноз подтвердился на КТ
Диагностика стеноза почечной артерии основана на двухстадийной допплерографии: на первой стадии определяют максимально среднюю скорость в почечной артерии (более 80 м/с) и отношение максимальной скорости кровотока в почечной артерии к скорости кровотока в аорте (более 3,5). Вторая стадия допплерографического исследования включает запись внутрипочечного кровотока.
Стеноз почечной артерии вызывает характерные изменения кривой: замедление систолического подъема, снижение амплитуды систолического пика – картина «мелкой и медленной волны». Также определяют индекс сопротивления кровотоку ([максимальная систолическая скорость – максимально диастолическая скорость] / максимальная систолическая скорость); показатель индекса сопротивления < 0,5 свидетельствует о наличии проксимально расположенного стеноза.
Эффективность описанной техники специалисты оценивают по-разному. У многих пациентов не удается целиком визуализировать главную почечную артерию, что затрудняет проведение первой стадии УЗИ. Результаты, полученные на второй стадии, также неоднозначны.
Одностороннее уменьшение размеров почки требует проведения дополнительных диагностических мер с целью определения следующих состояний:
Двустороннее уменьшение размеров почки требует проведения дополнительных диагностических мер с целью определения следующих состояний:
Одностороннее уменьшение размеров почки требует проведения дополнительных диагностических мер с целью определения следующих состояний:
Двустороннее уменьшение размеров почки требует проведения дополнительных диагностических мер с целью определения следующих состояний:
Допплерография мочевого пузыря на предмет пузырных выбросов повышает чувствительность диагностики почечной обструкции. Отсутствие явной струи мочи, которая поступает из мочеточника в мочевой пузырь, свидетельствует об обструкции мочеточника с той же стороны.
Цирроз печени – диффузный процесс (часто прогрессирующий и необратимый), который...
Скопление жидкости возле желчного пузыря, которая на УЗИ выявляется по ходу гепатодуоденальной...
Ультразвуковое исследование позволяет определить размер (объем) яичников. Размеры яичника...
В отличие от артефактов традиционного ультразвукового исследования в режиме серой шкалы, для...
Пиелонефрит – воспалительное заболевание почек, при котором происходит поражение...
анализы, БАД, биологическая медицина, витамины, гастроэнтерология, гигиена, гинекология, гомеопатия, дерматология, диагностика, диетология, заболевания, иммунология, инфекционные заболевания, инфекция, исследования, кардиология, кожа, косметика, красота, лекарственные растения, лечение, лицо, неврология, обследование, оздоровление, онкология, ортопедия, педиатрия, питание, пищеварительная система, поведение, похудение, препараты, продукты, профилактика, процедура, психология, пульмонология, рак, реабилитация, сердечно-сосудистая система, ССС, тело, терапия, травматология, уход, фитотерапия, хирургия, эндокринология
Показать все теги

Комменатрии к новости