УЗИ желчевыделительной системы. Часть 2
Скопление жидкости возле желчного пузыря, которая на УЗИ выявляется по ходу гепатодуоденальной...
Медицина / Диагностика / Диагностика (статья)
УЗИПРОДОЛЖЕНИЕ, НАЧАЛО ЗДЕСЬ: УЗИ печени. Часть 1
Цирроз печени – диффузный процесс (часто прогрессирующий и необратимый), который приводит развитию фиброза с образованием в печени патологических узлов. В большинстве случаев развитие цирроза обусловлено длительным повреждением клеток печени.
Клиническая картина цирроза печени зависит от стадии заболевания. Как правило, у больного наблюдается слабость, снижение массы тела, желтуха, патологические биохимические показатели анализов крови. На поздних стадиях развивается портальная гипертензия, асцит, гепатоцеллюлярная недостаточность. Могут наблюдаться расширенные вены живота (см статью «Оценка Осмотра Живота») и нарушения функции свертываемости крови («Нарушения системы свертывания крови»).
Ультразвуковая картина цирроза печени также зависит от стадии заболевания:
Фото 5. Цирроз печени. А – уменьшенная печень с диффузно неровной паренхимой. Стрелками обозначена неоднородная поверхность, которая визуализируется при асците. Указателями обозначена хорошо видимая серповидная связка. В – стрелками указана диффузно-узловатая паренхима увеличенной печени. С – стрелками обозначена неоднородная поверхность левой доли печени (изображение получено при использовании высокочастотного линейного датчика)
Цирроз печени может вызывать гепатоцеллюлярный рак.
Отметим, что визуализация увеличенных лимфатических узлов при циррозе печени не является признаком новообразования. Во многих случаях на фоне цирроза могут быть гепатит или первичный билиарный цирроз (аутоиммунная патология), при которых часто возникает умеренное увеличение лимфатических узлов в воротах печени и по ходу желудочно-печеночной связки.
Основные ультразвуковые признаки цирроза печени:
Синдром Бадда-Киари характеризуется обструкцией венозного оттока от печени. Патологию часто диагностируют у жителей Азии, Индии и Южной Африки. Нарушение венозного оттока может быть обусловлено тромбозом, первичной (врожденные нарушения соединительной ткани или перепонки) или вторичной обструкцией (опухоль). В патологию может быть вовлечена нижняя полая вена. Синдром Бадда-Киари примерно в 50-70% случаев имеет идиопатический характер, однако его развитие может возникать при следующих состояниях:
По мере развития синдрома Бадда-Киари у больного развивается асцит. Ультразвуковая картина демонстрирует гиперэхогенную хвостатую долю по отношению к другим частям печени, что обусловлено увеличение кровотока. Отмечается сужение и закупорка внутрипеченочной части нижней полой вены; печеночные вены расширены или «обрываются». Кровоток в печеночных венах и нижней полой вене может быть обратным, турбулентным или отсутствовать. В воротной вене может наблюдаться обратный венозный кровоток. В некоторых случаях стенки печеночных вен утолщаются, их эхогенность повышается. Иногда выявляют внепеченочные и/или внутрипеченочные коллатерали (фото 6).

Фото 6. Синдром Бадда-Киари. А – поперечное изображение на уровне нижней полой вены: стрелками обозначено сужение печеночной вены (цветовая допплерография) и увеличение хвостатой доли печени (см указатели). В – продольное изображение правой доли печени: указателями отмечено значительное сужение нижней полой вены
Печеночные кисты бывают врожденные и приобретенные:
Печеночные кисты часто не вызывают увеличение печени, их редко удается пальпировать. Большинство пациентов не предъявляют каких-либо жалоб. Боли в области эпигастрия могут возникать при больших размерах кисты или в случае кровоизлияния в ее полость.
Простая киста печени на УЗИ визуализируется как анэхогенное образование с четкими стенками и задним акустическим усилением. Кисты печени бывают одиночными или множественным. Как правило, они не вызывают каких-либо симптомов, если не происходит значительное увеличение их размеров. В случаях, когда обнаруженное образование не соответствует указанным критериям, следует подозревать бактериальный абсцесс, эхинококкоз или метастазы (рак молочной железы, карциноид, лимфома и др). В полости простой кисты могут визуализироваться внутренние источники эха, детрит и перегородки, образование которых обусловлено инфекцией или кровоизлиянием.
Поликистоз печени у взрослых – аутосомно-доминантная патология, которая прогрессирует после 50-летнего возраста (может и раньше). Чаще возникает у женщин, чем у мужчин (соотношение примерно 4:1). Количество кист зависит от стадии патологии. Кисты, как правило, множественные, имеют разный размер, поражают всю печень. При этом отмечается нарушение нормальной эхоструктуры печени, однако печеночные пробы остаются в пределах нормы.
Многие пациенты не предъявляют жалоб до тех пор, пока не возникает боль из-за кровоизлияния в полость кисты. Ультразвуковая картина при поликистозе печени аналогична простым кистам – анэхогенные образования с четкими стенками и задним акустическим усилением (фото 7).

Фото 7. Поликистоз печени. По всей площади сечения отмечаются множественные мелкие кистевидные очаги. Стрелками обозначены усиления звука после прохождения кист – задний акустический эффект
В случае выявления множественных кист в печени нужно подозревать поликистоз, для которого характерно поражение сразу нескольких органов (например, печень, поджелудочная железа, селезенка, почки). Примерно в 25-50% случаев поликистоза почек кисты обнаруживают в печени, в свою очередь, примерно в 60% случаев поликистоза печени обнаруживают кисты в почках. Таким образом, при выявлении поликистоза печени необходимо обследовать почки.
Ультразвуковая картина гематомы печени меняется, в зависимости от давности образования: сначала гематома визуализируется как гипоэхогенная структура, затем гематома приобретает нормальную эхогенность, на более поздних стадиях – превращается в кисту. Гематома печени может давать акустический эффект усиления.
Эхинококкоз (гидатидная болезнь) часто диагностируют в странах третьего мира, а также в регионах, где выращивают крупный рогатый скот и занимаются овцеводством. Возбудителем эхинококкоза является ленточный червь Echinococcus granulosus.
Стенка образования имеет два слоя: внутренний (состоит из зародышевого эпителия), в котором созревают дочерние клетки, и наружный слой (воспалительный). Эхинококковая киста легко разрывается. В случае излития жидкости из кисты у больного может развиваться анафилактический шок, поэтому необходимо избегать аспирации. Кроме этого, эхинококковая киста может сдавливать кровеносные сосуды, следствием которого может быть тромбоз, ишемия и инфаркт.
Ультразвуковая картина эхинококковой кисты характеризуется наличием следующих признаков:
Основными источниками развития абсцессов печени являются:
К основным симптомам гнойного абсцесса печени относятся: повышение температуры тела, озноб, тошнота, рвота, боль в правом верхнем квадранте живота, плевральные боли, лейкоцитоз (см статью «Анализ крови: Лейкоциты, Нейтрофилы, Эозинофилы, Базофилы, Лимфоциты, Моноциты»), нарушения показателей биохимического анализа крови, анемия, шок. Желтуха возникает при гнойном абсцессе возникает примерно в 25% случаев.
Пиогенные абсцессы печени могут развиваться в любом месте, но примерно в 80% случаев они поражают правую долю печени. В большинстве случаев наблюдаются одиночные абсцессы, хотя бывают и множественные.
У взрослых в большинстве случаев возбудителем является кишечная палочка (Escherichia coli), у детей – стафилококковая инфекция, которая проникает в печень, как правило, через желчевыводящие пути, печеночную артерию, воротную вену или непосредственно контактным путем.
Характерные ультразвуковые признаки пиогенного абсцесса печени отсутствуют. Визуализируют гипо- или анэхогенные образования, которые примерно в 50% случаев образуют акустический эффект усиления. Если в абсцессе есть газы, образование становится эхогенным с нечетким затенением и плохим контурированием границ (фото 8):

Фото 8. Абсцесс печени. Визуализируется кистозное образование с наличием эхогенных очагов, стрелкой обозначено скопление газа. Указателями обозначен более плотный вид абсцесса меньшего размера, который расположен позади
Абсцесс печени может иметь периферические кровеносные сосуды, но центральный сосуды не содержит, в отличие от опухоли. Для оценки кровотока требуется допплерография.
Ультразвуковое исследования часто не позволяет качественно оценить количество и размеры абсцессов печени. Поэтому, для исследования «слепых зон» (в том числе купол печени и область печени под ребрами) нужно провести КТ или МРТ.
Картина амебного абсцесса печени может быть аналогична пиогенному абсцессу. Постановка диагноза основана на высоких показателях титров гемагглютинации (нет необходимости в аспирации). Как правило, амебные абсцессы локализованы на периферии или близко к печеночной капсуле, бывают округлой или овальной формы, выраженные эхогенные стенки не наблюдаются, образование имеет четкие очертания.
В большинстве случаев абсцессы амебной этиологии имеют гипоэхогенную структуру с внутренними источниками эхо (детрит), наблюдается акустический эффект усиления.
Для лечения амебного абсцесса печени используют антибиотики и метронидазол, длительность терапии может занимать до двух лет. Отметим, что киста может персистировать и быть похожа на простую кисту печени.
Pneumocystis carinii (пневмоциста Каринии) – инфекционный возбудитель, который проявляется в основном у больных СПИДом и у иммуносупрессивных пациентов (после трансплантации органов или костного мозга, терапия стероидными препаратами или химиотерапия). Часто инфекция поражает легкие (пневмоцистная пневмония; см статью «Пневмония: Отличительные Рентгенологические Признаки»), однако в патологический процесс могут вовлекаться и другие органы: печень, поджелудочная железа, щитовидная железа, лимфатические узлы).
Ультразвуковая картина поражения печени Pneumocystis carinii характеризуется наличием множественных мелких эхогенных очагов без тени, распределенных по всей печени – «звездное небо». Отметим, что наличие такой ультразвуковой картины требует особого внимания при интерпретации результатов, поскольку аналогичные признаки наблюдаются при поражении печени, вызванного микобактериальной цитомегаловирусной инфекцией (MAI – Mycobacterium avium-intracellulare infection).
Кандидамикоз (грибковый абсцесс печени), возбудителем которого является кандида альбиканс (Candida albicans) является самым распространенным вариантом поражения печени, хотя диагностируют эту патологию редко. В основном возникает у больных с нарушениями иммунитета (ВИЧ-инфекция, иммуносупрессивная терапия, химиотерапия) вследствие попадания возбудителя в печень через кровоток. Патология также может развиваться у беременных или у пациентов на парентеральном питании.
На УЗИ кандидамикоз печени визуализируется как мелкие однородные очаги (в большинстве случаев). На поздних стадиях заболевания визуализируются мелкие однообразные гиперэхогенные очаги. Внешний гипоэхогенный пояс очага соответствует зоне фиброза, внутренний гиперэхогенный пояс – зоне воспаления, а маленький однородный гиперэхогенный центральный очаг соответствует зоне некроза. Подобную ультразвуковую картину называют «колесо в колесе». Эти очаги также могут напоминать метастазы в печени (такую картину описывают как «глаз быка»). Также кандидоз может вызывать образование нескольких мелких абсцессов печени.
Гемангиомы печени – самые распространенные доброкачественные сосудистые опухоли, образованные эндотелием пространств (кавернозных синусов), которые заполнены кровью. Возникают чаще у женщин, чем у мужчин (соотношение примерно 5:1). Гемангиомы печени могут быть одиночными или множественными, более чем в 70% случаев локализуются по задней поверхности правой доли печени, примерно в 25% случаев – по задней поверхности левой доли.
У беременных или у пациентов, принимающих эстрогенные препараты, гемангиомы могут увеличиваться – гормонозависимые гемангиомы. Цветная допплерография демонстрирует либо полное отсутствие кровотока, либо он незначительный (фото 9).
Фото 9. Гемангиомы печени. А и В – характерная ультразвуковая картина: стрелками обозначено гиперэхогенное образование возле печеночной вены. Цветная допплерография демонстрирует отсутствие кровотока в образовании, что обусловлено очень медленным продвижением крови по этим образованиям. С – стрелками обозначена гемангиома, ультразвуковая картина которой имитирует гепатоцеллюлярный рак: крупное неоднородное образование локализовано в заднем сегменте правой доли печени. Компьютерная томография подтвердила диагноз гигантской гемангиомы
Ультразвуковая картина гемангиомы печени демонстрирует хорошо очерченные гиперэхогенные образования округлой или овальной формы. Гиперэхогенная структура образования обусловлена наличием множественных поверхностей соприкосновения стенки синуса и наличия крови. Может наблюдаться акустический эффект усиления. Гемангиомы больших размеров могут визуализироваться как сложные образования с гипоэхогенными участками некроза, фиброза, кровоизлияния или тромбоза – эта картина напоминает метастазы из ЖКТ, гепатоцеллюлярный рак, очаговую узелковую гиперплазию и аденомы.
В случае отсутствия риска метастатического поражения печени или первичного рака печени, повторное УЗИ нужно провести через 6 месяцев. В случае подозрения на злокачественную патологию для уточнения диагноза необходимо провести МРТ, КТ или сцинтиграфию с 99mTc.
Также нужно обратить внимание, что при гепатозе гемангиомы могут определяться как гипоэхогенные образования с тонким ободком и периферической васкуляризацией.
Фокальная нодулярная (узловая) гиперплазия (ФНГ) – доброкачественное новообразование, сформированная из клеток печени, соединительной ткани, клеток Купфера и желчных протоков. В большинстве случаев опухоль выявляют случайно. Образование может быть единичным и множественным, в большинстве случаев локализовано по боковой поверхности печени (под капсулой), как правило, в правой доле. ФНГ чаще диагностируют у женщин в возрасте 20-40 лет.
Применение оральных контрацептивов повышает риск развития фокальной нодулярной гиперплазии.
Ультразвуковая картина ФНГ характеризуется неинкапсулированным образованием с четкими границами, размером от 0,5 до 20 см (обычно до 8 см). Новообразование имеет несколько вариантов ультразвуковых признаков: гипо-, гипер- или изоэхогенная структура по отношению печени. Иногда ФНГ ложно принимают за аденому печени. Важно обращать внимание на структуру образования – клетки Купфера поглощают коллоидный раствор 99mTc (Технеций-99m). Таким образом, для проведения дифференциальной диагностики ФНГ с аденомой печени назначают сцинтиграфию с 99mTc, результаты которой позволяют определить «горячий» очаг ФНГ за счет накопления технеция клетками Купфера.
Допплерографическая картина ФНГ демонстрирует активный артериальный кровоток в центральной зоне, для которого характерно линейное распространение.
Аденома печени (гепатоцелюллярная аденома) – доброкачественное эпителиальное новообразование, содержащее клетки печени (клетки Купфера и желчных протоков в состав аденомы не входят). Ультразвуковая картина демонстрирует гипоэхогенное образование при болезни Гирке, или гликогенозе I типа, (при этом отмечается гиперэхогенность печени), либо гиперэхогенную структуру с четкими границами, в центре которого отмечается гипоэхогенная некротическая область (кровоизлияние или некроз).
Риск развития аденомы печени повышается при приеме андрогенных препаратов и оральных контрацептивов. Многие пациенты не предъявляют каких-либо жалоб. В случае кровотечения больные жалуются на боль в правом подреберье.
Гепатоцеллюлярная карцинома (рак печени) у большинства пациентов вызывает следующие симптомы:
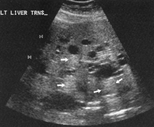
На УЗИ гепатоцеллюлярная карцинома определяется как одиночное или множественное образования, также образование может иметь диффузный характер. Опухоль имеет кровоснабжение и склонно проникать в систему воротной вены печени (в 30-68% случаев опухоль или тромб), печеночные вены (возникает синдром Бадда-Киари) и редко в нижнюю полую вену (фото 10).
УЗИ: Гепатоцеллюлярная карцинома

Фото 10. Гепатоцеллюлярная карцинома (рак печени). А – курсорами обозначено хорошо ограниченное эхогенное образование в правой доле печени. В – цветовая допплерография демонстрирует васкуляризацию опухоли через ветви печеночной артерии (это подтверждается и на спектральной допплерограмме). С – ультразвуковое изображение другого пациента: отмечаются гипоэхогенные образования в правой и левой долях печени
Основными источниками метастазов в печени у взрослых являются органы пищеварительной системы (поджелудочная железа, прямая кишка, толстая кишка), легкие и молочные железы; у детей – лейкемия, нейробластома, нефробластома (опухоль Вильмса). Распространение метастазов в печень из желудочно-кишечного тракта осуществляется по системе воротной вены, из других органов – по печеночной артерии и лимфатическую систему; иногда метастазирование печени происходит контрактным путем при опухолях желудка или желчного пузыря.
Метастатическое поражение печени диагностируется примерно на 20% чаще, чем гепатоцеллюлярная карцинома.
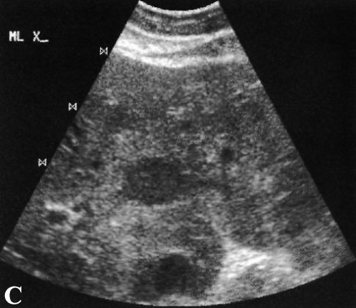
На УЗИ метастазы в печени могут визуализироваться как одиночные или множественные образования, которые имеют несколько вариантов ультразвуковых признаков (фото 11):
УЗИ: Метастатическое поражение печени
Фото 11. Метастатическое поражение печени. А – кистовидное поражение с эхогенными кольцами; образования распространены по всей печени; первичная опухоль – карциноид. В – множественные гипоэхогенные очаги у пациента с раком легкого: стрелками обозначены эхогенные центры с гипоэхогенным кольцом («мишени» или «бычий глаз»); такие метастазы визуализируются в основном при раке легких, молочной железы, меланоме. С – гипоэхогенные очаги, свидетельствующие о лимфоме. D – гиперэхогенные очаги с четкими границами, которые имитируют гемангиому, кроме васкуляризации центрального отдела; данный тип метастазов часто наблюдается при раке молочной железы, толстой кишки, а также при нейроэндокринной патологии. E – хорошо очерченные гиперэхогенные очаги, имитирующие гемангиому, кроме васкуляризации центрального отдела; в большинстве случаев источниками таких метастазов являются рак толстой кишки, молочной железы, нейроэндокринная патология. F – множественные гипоэхогенные очаги в правой доле печени в больного с раком легкого: стрелками обозначены крупные очаги, указателями – мелкие очаги; такой вариант метастазов наблюдается в основном при аденокарциноме (в том числе при раке поджелудочной железы) и раке легких
Скопление жидкости возле желчного пузыря, которая на УЗИ выявляется по ходу гепатодуоденальной...
Ультразвуковое исследование позволяет определить размер (объем) яичников. Размеры яичника...
Эхинококкоз – паразитарное заболевание, вызванное ленточными червями, которые при...
Несмотря на то, что альбумин синтезируется в печени, логично было бы предположить, что...
Цирроз печени – заболевание, которое приводит к нарушению функции печени и ее...
анализы, БАД, биологическая медицина, витамины, гастроэнтерология, гигиена, гинекология, гомеопатия, дерматология, диагностика, диетология, заболевания, иммунология, инфекционные заболевания, инфекция, исследования, кардиология, кожа, косметика, красота, лекарственные растения, лечение, лицо, неврология, обследование, оздоровление, онкология, ортопедия, педиатрия, питание, пищеварительная система, поведение, похудение, препараты, продукты, профилактика, процедура, психология, пульмонология, рак, реабилитация, сердечно-сосудистая система, ССС, тело, терапия, травматология, уход, фитотерапия, хирургия, эндокринология
Показать все теги

Комменатрии к новости