УЗИ желчевыделительной системы. Часть 2
Скопление жидкости возле желчного пузыря, которая на УЗИ выявляется по ходу гепатодуоденальной...
Медицина / Диагностика / Диагностика (статья)
УЗИУльтразвуковое исследование желчного пузыря и желчных протоков рекомендуется проводить через 6 часов после последнего приема пищи (желательно через 12 часов). Препятствовать визуализации могут заполненные газом или растянутые петли кишечника. Физиологическое сокращение желчного пузыря (его размер уменьшается, и он выглядит толстостенным) также приводит к неверной диагностической оценке.
При ургентных состояниях УЗИ можно выполнять не натощак! В таких случаях большинство пациентов больные либо потребляют незначительное количество пищи, либо не питаются в течение длительного времени.
Основными преимуществами визуализации желчного пузыря и желчных протоков с помощью УЗИ являются:
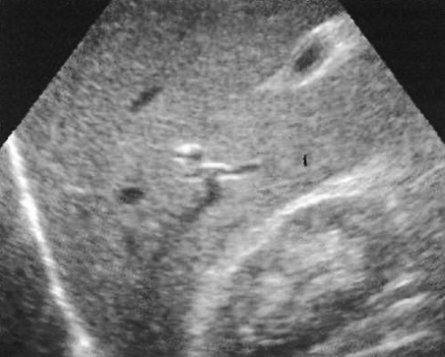
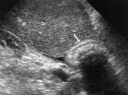
Для идентификации желчного пузыря следует ориентироваться на его шейку относительно правой воротной вены и главной междолевой щелью (бороздой) печени (фото 1). Аномальная локализация желчного пузыря встречается очень редко.

Фото 1. Контрастированный желчный пузырь. УЗИ в продольной проекции: пузырь локализован в главной междолевой щели
Желчный пузырь имеет узкую шейку, которая соединяется с пузырным протоком (пузырный проток имеет клапаны Гейстера [Хайстера; Heister]); тело пузыря (его стенки практически параллельные); дно пузыря (может немного растягиваться и выглядит как куполо- или чашеобразное окончание желчного пузыря).
Бывают случая, когда УЗИ не позволяет визуализировать желчный пузырь, что обусловлено следующими состояниями:
Карман Гартмана (дивертикул Гартмана) может быть вариантом нормы, но в большинстве случаев образуется при хроническом воспалении. Он находится в месте соединения пузырного протока и шейки желчного пузыря. В кармане Гартмана накапливаются желчные камни.
Несмотря на то, что существуют разные варианты нормы размеров и формы желчного пузыря, многие специалисты считают пузырь растянутым, если его поперечный диаметр > 5 см и овоидная форма нарушена. Сокращенный желчный пузырь имеет поперечный диаметр < 2 см, несмотря на адекватное голодание.
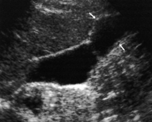
Фригийский колпак (деформация в виде фригийского колпака) возникает в результате складывания дна желчного пузыря в направлении тела, что является вариантом нормы (обнаруживается примерно у 4% пациентов). Ультразвуковая картина демонстрирует толстую складку, которая напоминает перегородку (фото 2).

Фото 2. «Фригийский колпак». УЗИ в продольной проекции демонстрирует деформацию желчного пузыря в виде фригийского колпака (указан стрелками) – вариант нормы
Толщина стенки желчного пузыря в номе не должна превышать 3 мм. Самая частая аномалия желчного пузыря, которую выявляют на УЗИ – диффузное утолщение стенки. Ультразвуковая картина отека стенки желчного пузыря характеризуется наличием гипоэхогенной полосы между двумя эхогенными слоями (может иметь перегородки или быть полосатым).
Диффузное утолщение стенки желчного пузыря может возникать при следующих патологиях:

Фото 3. Диффузное утолщение стенки желчного пузыря. УЗИ в продольной проекции демонстрирует диффузное утолщение с характерным гипоэхогенным отеком стенки между эхогенными полосами у пациента с диагностированным гепатитом C
Утолщение стенки желчного пузыря является неспецифическим признаком!!!
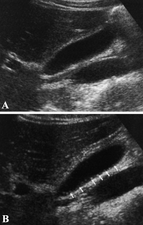
Для хорошей визуализации желчного пузыря пациент должен находится в положении лежа на спине или левом заднем косом положении. Исследование проводят в подреберной или межреберной проекции. Также проводят исследование в вертикальном положении пациента и в положении с наклоном вперед, что позволяет определить подвижность желчных камней (фото 4).
УЗИ желчного пузыря должно проводиться минимум в двух проекциях – в положении лежа на спине и лежа на левом боку; а также в двух плоскостях – подлинной оси и поперечной плоскости.

Фото 4. Холелитиаз. А – УЗИ в продольной плоскости, пациент находится в положении лежа: стрелкой обозначен мелкий эхогенный очаг без тени, локализованный в шейке желчного пузыря. В – УЗИ того же пациента в положении лежа на правом боку: стрелками обозначены камни в желчном пузыре
Следует применять максимальную частоту, чтобы обеспечить достаточное проникновение ультразвука в правом (датчик с частотой ≥ 3,5 МГц). При исследовании желчного пузыря следует использовать гармонические методики (фото 5).

Фото 5. Холелитиаз при использовании гармоник. А – продольный вид желчного пузыря без гармоник. В – продольный вид с гармониками. Оба изображения получены у одного и того же пациента в одном и том же положении тела. Стрелками обозначены желчные камни, которые без гармоник не визуализируются
При диагностике желчных камней чувствительность УЗИ составляет > 95%.
Ультразвуковая картина желчных камней характеризуется гиперэхогенной структурой с задней звуковой тенью (фото 6), что обусловлено способностью желчных камней как поглощать, так и отражать ультразвуковую волну, в результате чего они обладают выраженной эхогенностью и образуют анэхогенную акустическую тень.

Фото 6. Камни в желчном пузыре. На снимке видна выраженная задняя акустическая тень
Отметим, что задняя акустическая тень имеет важное диагностическое значение – эхогенные уплотнения с акустической тенью свидетельствуют о холелитиазе почти в 100% случаев. Желчные камни подвижны (кроме случаев, когда они прилипают к стенке желчного пузыря или застревают в шейке).
Имитировать холелитиаз могут следующие эхогенные образования:
Симптом двойной дуговой тени (или триада СЭТ – стенка-эхо-тень) характеризуется наличием двух параллельно изогнутых эхогенных линий, которые разделены тонким анэхогенным пространством с дистальным звуковым затенением (фото 7).

Фото 7. Симптом двойной дуговой тени (триада СЭТ). На поперечном ультразвуковом изображении стрелкой указан передний отдел желчного пузыря с симптомом двойной дуговой тени, который характерен для сокращенного желчного пузыря с множественными желчными камнями
При триаде СЭТ проксимальная эхогенная линия соответствует стенке желчного пузыря, а более глубокая эхогенная линия – передней поверхности желчного камня, что вызывает образование звуковой тени. Симптом двойной дуговой тени выявляется при сокращении желчного пузыря, содержащего много желчных камней.
Очаговое утолщение желчного пузыря свидетельствует о следующих патологиях:
Наиболее частой формой гиперпластической холецистопатии является аденомиоматоз. Часто встречается холестериновая дистрофия, при которой желчный пузырь напоминает ягоду клубники. Патология обусловлена отложением холестерина и триглицеридов в макрофагах стенок желчного пузыря, в результате чего образованные холестериновые узелки придают стенкам крапчатый вид, напоминающий поверхность клубники. Размеры эхогенных отложений, которые не дают акустическую тень, часто не превышают 1 мм. Ультразвуковая диагностика не позволяет дифференцировать с высокой вероятностью указанные виды патологии, поэтому в клинической практике для их описания используют термин «гиперпластическая холецистопатия».
Аденомиоматоз – доброкачественная патология при которой возникают гиперпластические изменения стенки желчного пузыря неизвестной этиологии, что приводит к разрастанию слизистой оболочки, утолщению мышечной стенки и образованию интрамуральных дивертикулов или синусов Рокитанского-Ашоффа (ходы в мышечном слое стенки желчного пузыря) (фото 8).

Фото 8. Аденомиоматоз желчного пузыря. На ультразвуковом изображении в поперечной плоскости стрелками обозначены яркие эхогенные кристаллы холестерина, которые локализованы в пазухах Рокитанского-Ашоффа
В синусах Рокитанского-Ашоффа может содержаться желчь, холестерин или камни. Наличие кристаллов холестерина в этих синусах может быть причиной возникновения артефактов множественного отражения, V-образных артефактов или «хвоста кометы» (см статью «Основы УЗИ: Артефакты в режиме серой шкалы»).
Отметим, что очаговый аденомиоматоз может визуализироваться как очаговые образования или перегородки, часто на дне желчного пузыря (фото 9) – для этого состояния не обладает значительным злокачественным потенциалом.

Фото 9. Аденомиоматоз желчного пузыря. УЗИ в продольной проекции демонстрирует множественные мелкие эхогенные камни (см указатель), которые дают звуковую дорожку. Стрелкой обозначены многочисленные гиперэхогенные очаги в стенке желчного пузыря с выраженным артефактом множественного отражения
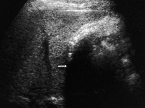
Застойная желчь формируется из билирубината кальция и кристаллов холестерина, которые содержаться в желчи. Ультразвуковая картина застойной желчи характеризуется эхом умеренной интенсивности. Застой желчи, обусловленный перееданием, обструкцией желчевыводящих протоков на уровне желчного пузыря, пузырного протока или общего желчного протока, является основной причиной образования застойной желчи (фото 10). Застой желчи (билиарный сладж) может указывать на какое-либо сопутствующее заболевание, однако не является специфическим признаком.

Фото 10. Застой желчи (билиарный сладж). А – УЗИ в продольной проекции, пациент в положении лежа на спине. В – УЗИ в продольной проекции того же пациента в положении лежа на левом боку. Ультразвуковая картина демонстрирует подвижный эхогенный застой желчи, форма которого меняется при перемене положения тела пациента
Скопление жидкости возле желчного пузыря, которая на УЗИ выявляется по ходу гепатодуоденальной...
Реверберация обусловлена отражением ультразвука внутри тканей. Многократное отражение приводит...
Общий осмотр пациента с заболеванием гепатобилиарной системы позволяет врачу обнаружить...
Дискинезия желчных путей – нарушение моторики и тонуса желчного пузыря и желчных путей,...
Желчнокаменная болезнь или иначе ее называют холелитиаз – образовано от слов, имеющих...
анализы, БАД, биологическая медицина, витамины, гастроэнтерология, гигиена, гинекология, гомеопатия, дерматология, диагностика, диетология, заболевания, иммунология, инфекционные заболевания, инфекция, исследования, кардиология, кожа, косметика, красота, лекарственные растения, лечение, лицо, неврология, обследование, оздоровление, онкология, ортопедия, педиатрия, питание, пищеварительная система, поведение, похудение, препараты, продукты, профилактика, процедура, психология, пульмонология, рак, реабилитация, сердечно-сосудистая система, ССС, тело, терапия, травматология, уход, фитотерапия, хирургия, эндокринология
Показать все теги

Комменатрии к новости