Физикальная диагностика гепатобилиарной системы (ВИДЕО)
Общий осмотр пациента с заболеванием гепатобилиарной системы позволяет врачу обнаружить...
Специалистам / Методические пособия / Методические пособия (статья)
ХолециститЖелчный пузырь (vesica fellea) – непарный орган, длина которого составляет в среднем 8-10 см, ширина – 3-5 см, выполняет роль резервуара для накопления желчи; иннервируется диафрагмальным нервом (nervus phrenicus), nerve plexus (симпатическая) и блуждающим нервом (nervus vagus; парасимпатическая).
При холецистите боль через диафрагмальный нерв может иррадиировать в плечо.
Желчь, которая выделяется гепатоцитами, содержит в основном желчные кислоты, синтезируемые из холестерина (см статью «Печень и билиарный тракт. Физиология»).

Холецистит – воспаление желчного пузыря, основными причинами которого являются:
Хронический холецистит развивается после острого холецистита. Хроническое течение холецистита является одной из причин развития злокачественных патологий.
Холециститом чаще страдают женщины, а также лица, старше 50 лет.
- Острый калькулезный холецистит
- Острый акалькулезный холецистит
- Катаральный (без деструкции)
- Деструктивный:
а) флегмонозный
б) гангренозный
- Осложненный
- Неосложненный
- аллергия;
- цитомегаловирусная инфекция;
- прием антибиотиков;
- хирургические вмешательства;
- сахарный диабет;
- ВИЧ-инфекция.



Патогенез холецистита: повышение давления в желчном пузыре → продвижение желчных камней по протокам → повышение желчной секреции → повышение уровня АЛТ и билирубина в крови → обтурация сосудов → повреждение желчного пузыря → перитонит
Обструкция холедоха сопровождается следующими симптомами:

УЗИ желчного пузыря
Типичными признаками холецистита при ультразвуковой диагностике являются:


Ретроградная холангиопанкреатография (ERCP – Endoscopic retrograde cholangiopancreatography)

Магнитно-резонансная холангиопанкреатография (МРХПГ, MRCP – magnetic resonance cholangiopancreatography)

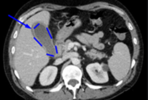
Компьютерную томографию при диагностике хронического холецистита назначают с целью обнаружения возможных осложнений, а также при проведении дифференциальной диагностики.
|
Патология |
Диагностика |
|
Перфоративная язва |
Рентгенологическое исследование органов брюшной полости |
|
Острый панкреатит |
- УЗИ |
|
Тромбоз мезентериальных сосудов |
- Допплерография |
|
Острый аппендицит |
- Анамнез |
|
Инфаркт миокарда |
- ЭКГ |
|
Степень тяжести |
Критерии оценки |
|
I степень – легкая |
- Функции желчного пузыря и других органов не нарушены - Отсутствуют критерии, соответствующие II и III степени тяжести острого холецистита |
|
II степень – средняя (умеренная) |
- Не наблюдаются нарушения функции других органов У больного наблюдается как минимум один из перечисленных признаков: - Признаки острого холецистита длятся более 72 часов |
|
III степень – тяжелая |
Отмечается нарушение функции как минимум одного органа или системы - Нарушения функции сердечно-сосудистой системы: гипотензия (в этом случае следует назначать Дофамин [Dofamine] в дозировке ≥ 5 мкг/кг/мин или Норэпинефрин [Norepinephrine]) - Неврологические нарушения: нарушение или потеря сознания - Нарушение функции дыхательной системы: PaO2/FiO2 < 300 - Нарушение функции мочевыделительной системы: олигоурия, повышение уровня креатинина в крови > 2 мг/дл - Нарушение функции печени: Увеличение времени свертываемости крови (РТ – Prothrombin Time) INR (International Normalized Ratio) > 2 - Гематологические нарушения: снижение уровня тромбоцитов в крови < 100 000/мм3 |
|
Острый холецистит I степени |
- лапароскопическая холецистэктомия
|
|
Острый холецистит II степени |
|
|
Острый холецистит III степени |
|
|
СПАЗМОЛИТИЧЕСКИЕ СРЕДСТВА - Улучшают отток желчи |
|
|
АНАЛЬГЕТИКИ |
- Анальгин
|
|
КОМБИНИРОВАННЫЕ ПРЕПАРАТЫ |
|
|
Антибиотики |
|
|
ИНФУЗИОННАЯ ТЕРАПИЯ |
|

Холецистэктомия: лапароскопическая и открытая
ХРОНИЧЕСКИЙ ХОЛЕЦИСТИТ


Хронический холецистит может быть причиной развития рака желчного пузыря
Общий осмотр пациента с заболеванием гепатобилиарной системы позволяет врачу обнаружить...
Хронический холецистит – хроническое воспалительное заболевание желчного пузыря, которое...
Дискинезия желчных путей – нарушение моторики и тонуса желчного пузыря и желчных путей,...
Хронический холецистит — это хроническое воспалительное заболевание желчного пузыря...
Желчнокаменная болезнь или иначе ее называют холелитиаз – образовано от слов, имеющих...
анализы, БАД, биологическая медицина, витамины, гастроэнтерология, гигиена, гинекология, гомеопатия, дерматология, диагностика, диетология, заболевания, иммунология, инфекционные заболевания, инфекция, исследования, кардиология, кожа, косметика, красота, лекарственные растения, лечение, лицо, неврология, обследование, оздоровление, онкология, ортопедия, педиатрия, питание, пищеварительная система, поведение, похудение, препараты, продукты, профилактика, процедура, психология, пульмонология, рак, реабилитация, сердечно-сосудистая система, ССС, тело, терапия, травматология, уход, фитотерапия, хирургия, эндокринология
Показать все теги

Комменатрии к новости