Гинекологическое УЗИ: исследование таза
Ультразвуковое исследование позволяет выявить три слоя миометрия (мышечного слоя матки)....
Медицина / Диагностика / Диагностика (статья)
Ультразвуковое исследование позволяет определить размер (объем) яичников. Размеры яичника меняются в зависимости от возраста пациентки. В норме максимальный объем яичника у молодой женщины варьируется в пределах 9,8-14 мл, с возрастом яичники становятся меньше. Наиболее интенсивное уменьшение объема яичников происходит после менопаузы.
В период постменопаузы размер яичников в норме составляет от 6 до 15 см3. Однако, пока остатки стромы в норме, объем яичника может достигать 20 см3.
Измерение объема яичников проводят путем умножения трех параметров: L – длины, H – высоты и W – ширины (то есть, показатели передне-заднего, поперечного и краниокаудальных размеров). Полученный результат умножают на коэффициент 0,543. Этот метод основан на формуле вычисления объема удаленного эллипса:
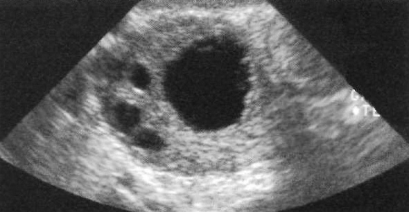
УЗИ позволяет визуализировать множественные фолликулы – эхогенные полости небольших размеров, локализованные внутри яичников (фото 1).

Фото 1. Продольный вид яичника с фолликулами в виде анэхогенных образований
Трансвагинальное или высококачественное трансабдоминальное ультразвуковое исследование позволяет определить большое количество фолликулов, особенно у женщин с низкой массой тела. Каждый менструальный цикл сопровождается увеличением одного из фолликулов, который становится доминантным. В норме доминантный фолликул может достигать диаметра до 2,5 см. Во время овуляции доминантный фолликул высвобождает ооцит, после чего становится желтым телом. Если беременность не возникла, желтое тело постепенно атрофируется. На УЗИ эта нормальная структура имеет кистозную форму, иногда с внутренним эхо или неоднородностью стенки (такая картина наблюдается, как правило, при использовании трансвагинального датчика).
Визуализировать яичник на УЗИ можно при сканировании области придатков, которые локализованы латерально (иногда кверху, кпереди или кзади от матки). В большинстве случаев яичники локализованы непосредственно перед внутренними подвздошными сосудами. Нужно отметить, что положение и размер матки влияют на положение яичников. Как правило, яичники на УЗИ идентифицируют по следующим признакам:
В период менопаузы УЗИ позволяет обнаружить яичники примерно в 80-90% случаев. Маленькие яичники в период постменопаузы трудно обнаружить.
Визуализировать яичники на УЗИ не всегда получается. Причиной этому могут быть факторы, препятствующие визуализации частей таза, например:
Также на УЗИ другие структуры могут имитировать яичники. Например, органы малого таза (в том числе экзофитно [внутрипросветные] растущие лейомиомы и широкая связка) можно ложно идентифицировать как яичники. В этом случае помогает оценка эхоструктуры образования, подтверждение типичной морфологии яичника в сагиттальной и поперечной плоскостях, дифференциация фолликулов от сосудов с помощью допплерографии, а также квалификация и опыт врача.
Каждое УЗИ органов малого таза требует изучения всей области придатков матки, особенно в случаях, когда их идентификация сомнительна.
Бывают случаи, когда термины «фолликул» и «фолликулярная киста» используют как синонимы. Однако, это – разные понятия. Фолликулы – нормальная структура яичников, которая в норме определяется на УЗИ у женщин репродуктивного возраста (доминантный фолликул или один фолликул, относительно больших размеров, часто визуализируется перед овуляцией; после овуляции он идентифицируется как желтое тело).
Фолликулярная киста представляет собой патологическое образование, обусловленное либо чрезмерной стимуляцией доминантного фолликула, который не высвобождает ооцит, либо накоплением жидкости в недоминантном фолликуле.
Также, как и с фолликулами, иногда возникают недопонимание терминов «желтое тело» и «киста желтого тела». Желтое тело – нормальная структура, а киста желтого тела (либо кровоизлияние в желтое тело) представляет собой патологическое образование (желтое тело) с внутренним кровотечением или с задержкой в нем жидкости.
Отметим, что киста желтого тела и фолликулярная киста относятся к группе физиологических кист и являются частыми причинами доброкачественных кист яичников, которые можно диагностировать на УЗИ. Как правило, физиологические кисты со временем разрешаются. Если кистозное поражение яичника не дифференцируется, рекомендуется проводить регулярное ультразвуковое наблюдение.
На УЗИ часто выявляют физиологические кисты яичников, например, геморрагические, фолликулярные кисты, кисты желтого тела, а также эндометриомы или новообразования яичников. Также нужно отметить, что тубоовариальные абсцессы или эктопическая трубная беременность (см статью «УЗИ: Внематочная беременность») могут быть частично кистозными сложными образованиями. Кроме этого, могут выявляться параовариальные или околотрубные кисты, либо расширенные фаллопиевы трубы (гидросальпинкс).
На УЗИ геморрагические кисты характеризуются усилением васкуляризации зернистого слоя по краю фолликула в период овуляции (стенки сосудов подвержены разрывам, что приводит к кровоизлияниям в кисту).
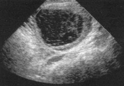
Часто визуализируется тонкостенная киста, размером 2,5-8,5 см, с множественными внутренними перегородками – «паутина» или «полотно рыболовной сети» (фото 2). Цветовая допплерография не выявляет кровоток перегородок (визуализируются как фиброзные тяжи).

Фото 2. Геморрагическая киста яичника – классический вид «рыболовной сети». В отличие от эндометриоидных кист, геморрагические кисты характеризуются минимальным акустический эффектом усиления
Кистозные массы с сокращающимся периферическим сгустком, кисты с жидкостью или кисты с неоднородной или толстой стенками обнаруживаются реже.
Также в зоне придатков матки УЗИ позволяет выявить следующие кистозные образования:
Перечисленные кистозные образования придатков встречаются редко.
Эндометриоз – наличие эктопированной ткани эндометрия вне полости матки (см статью «Гинекологическое УЗИ: исследование таза»), которое может сопровождаться имплантацией эндометрия в разных отделах брюшины либо образовывать локализованные кистозные образования – эндометриомы.
Эндометриомы (эндометриоидные кисты, «шоколадные кисты») в большинстве случаев не вызывают каких-либо симптомов. Если имплантаты эндометрия не вызывают развития более крупных образований или кист, УЗИ их не обнаруживает.
Ультразвуковая картина эндометриомы характеризуется наличием кистозной структуры – объемные образования, часто с очень незначительным эхо. Часто вдоль стенки образования визуализируются мелкие эхогенные очаги и многочисленные полости (фото 3).

Фото 3. Эндометриома. Стрелкой обозначен гиперэхогенный фокус (вероятно – отложение холестерина), что является типичной картиной для эндометриомы (определяется примерно в 10% случаев)
Эндометриоз в 80% случаев поражает яичники.
Возможны следующие экстраовариальные локализации имплантатов эндометрия:
В случае эндометриоидного поражения плевры повторные эпизоды пневмоторакса соответствуют менструальному циклу. Отметим, что данный вариант поражения плевры всегда правосторонний.
Существует много разных гистологический типов новообразований яичников, среди которых чаще всего обнаруживают образования, возникающие из эпителия яичника, в том числе доброкачественные муцинозные и серозные цистаденомы, а также злокачественные муцинозные и серозные цистаденокарциномы. Часто обнаруживают дермоид (самый частый вариант новообразования из зародышевых клеток). Злокачественные тератомы определяют редко. Доброкачественные образования (текомы и фибромы), которые развиваются из стромы яичника, встречаются редко.
Поражение яичников может быть обусловлено метастатическим процессом.
Ультразвуковая картина новообразований яичников характеризуется наличием кистозных, кистозно-солидных или солидных образований, которые вызывают увеличение объема яичников. Подозревать злокачественный характер овариальных образований следует при наличии большого солидного компонента. Причем, чем больше солидный компонент, тем больше вероятность злокачественной патологии (при злокачественных патологиях образования часто больших размеров).
Если отмечается увеличение кистозного образования при наличии неоднородных или толстых перегородок, сосочковых структур и пристеночных узелков, есть высоких риск злокачественного характера патологии.
При исследовании овариальных образований важное значение имеет цветовая допплерография: наличие потока в центральной проекции солидного компонента образований – признак злокачественной патологии. Допплерографическая картина злокачественного образования характеризуется наличием потока низкого сопротивления на спектральной допплерограмме, что обусловлено неоваскуляризацией, однако, этот признак не является специфическим, поскольку может наблюдаться при доброкачественной патологии (даже при неопухолевых заболеваниях), например, при внематочной беременности, кисте желтого тела и др.
Для злокачественного новообразования яичника при оценке артериального кровотока характерны следующие показатели: индекс резистентности (сопротивления) < 0,4; индекс пульсации > 1
Размер овариального образования также помогает определить доброкачественность патологии: если образование менее 5 см по длинной оси – это высокая вероятность доброкачественного характера патологии, если более 10 см – злокачественного характера.
Зрелая кистозная тератома (дермоид) имеет характерную ультразвуковую картину, что дает возможность постановки гистологического диагноза на основании данных ультразвукового исследования. Некоторые солидные и кистозные образования могут свидетельствовать о наличии разных эпителиальных опухолях, однако, в большинстве случаев они не имеют какого-либо характерного внешнего вида. Если присутствует соответствующая клиническая картина на фоне солидной патологии яичника, следует подозревать метастатический процесс.
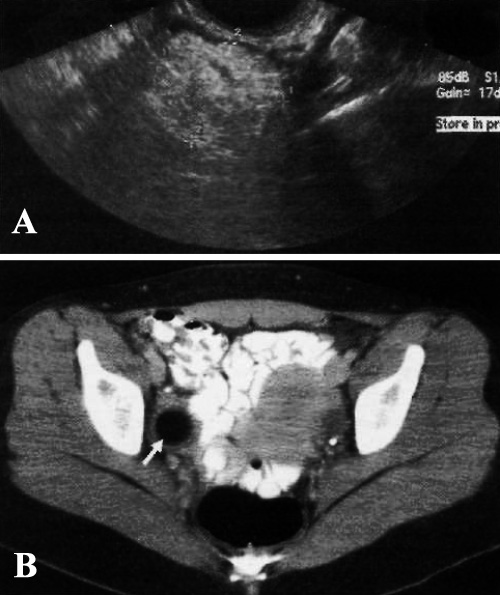
К типичным ультразвуковым признакам зрелой кистозной тератомы относится дермоидная пробка (узел Рокитанского) – специфичный эхогенный компонент, который может быть разного размера и является частью сочетанного образования, часто с наличием кистозного компонента, иногда наблюдаются локальные кальцификации. Основным содержимым зрелой кистозной тератомы является жир. Зрелая кистозная тератома может вызывать задержку звука, что затрудняет визуализацию более глубоких областей образования (фото 4).

Фото 4. Зрелая кистозная тератома. А – контуром обозначено правое образование придатка (эхогенное). В – компьютерная томограмма той же пациентки: стрелкой указано образование, что подтверждает диагноз зрелой кистозной тератомы
Двусторонние зрелые кистозные тератомы выявляют примерно в 10-15% случаев.
Незрелая кистозная тератома встречается редко (менее чем в 1% случаев тератом яичника), имеет большие размеры, содержит ткани, образованные тремя зародышевыми листками. Основное отличие незрелых тератом от зрелых – их злокачественный характер. Патология в основном возникает у молодых женщин (как правило до 20 лет). Типичная гистологическая картина демонстрирует наличие эмбриональных или незрелых тканей.
В большинстве случаев метастазы в яичниках обнаруживают при раке желудочно-кишечного тракта или раке малочной железы. На УЗИ часто сложно отличить метастатическое распространение рака эндометрия от первичной опухоли эндометрия, эктопированного в яичник. Часто злокачественное поражения яичников отмечается при лимфоме.
В большинстве случаев метастатические поражения яичников имеет двусторонние солидные образования.
Опухоль Крукенберга (Krukenberg tumor) представляет собой редкий тип рака яичников, возникающий, как правило, вследствие метастатического процесса из желудочно-кишечного тракта (в основном из желудка).
Синдром Мейгса (Meigs Syndrome) – редко встречающийся диагноз, характеризующийся образованием плеврального выпота, обусловленного фибромой яичника. Нужно отметить, что этот термин в некоторых случаях используют при описании плеврального выпота и асцита, связанных с другими видами опухолей яичника. При синдроме Мейгса удаление фибромы яичника приводит к разрешению плеврального выпота и асцита.
Струма яичника характеризуется наличием ткани щитовидной железы в яичнике (встречается примерно в 3% случаев всех зрелых тератом).
Ультразвуковое исследование используют для скрининга рака яичников, несмотря на то, что его применение не продемонстрировало достаточной чувствительность и специфичности (см статью «Специфичность и чувствительность анализа») при диагностике злокачественных патологий яичников на ранних стадиях. Скрининговое применение ультразвукового исследования рекомендовано женщинам с высоким риском рака яичников (особенно при отягощенном семейном анамнезе). Также рекомендуется проводить сопоставление результатов УЗИ с показателем серологического маркера Ca-125 (опухолевый антиген S-CA 125).
Для УЗИ-скрининга рака яичников следует применять трансвагинальный метод, что позволяет получить более детальную визуализацию яичника.
Ультразвуковая картина поликистоза характеризуется увеличением яичников в которых содержится много фолликулов. Однако такая картина не является универсальной – примерно в 30% случаев размеры яичников при поликистозе остаются в пределах нормы.
Еще одним типичным признаком поликистозя является повышение эхогенности стромы яичника при трансвагинальном доступе.
Воспалительные заболевания органов малого таза (ВЗОМТ) – это общий термин, который применяют при описании воспаления маточных труб, яичников и окружающих тканей, например, сальпингит (воспаление фаллопиевых труб), пиосальпинкс (скопление гноя в маточных трубах), абсцесс маточных труб и яичников.
К основным причинам развития воспалительных заболеваний органов малого таза относится восходящая инфекция из влагалища или матки (например, инфекция, передающаяся половым путем; часто гонококк или хламидии). Также может быть непосредственно распространение воспаления на яичники и придатки прилегающих органов (например, при аппендиците, дивертикулите, воспалительных патологий толстой кишки и др).
Ультразвуковые признаки ВЗОМТ имеют довольно широкий спектр – от эндометрита, характеризующегося утолщением эндометрия и скоплением жидкости в полости эндометрия (фото 5), до тубоовариального абсцесса (в том числе пиосальпинкс, гидросальпинкс, скопление жидкости в Дугласовом пространстве).

Фото 5. Эндометрит. Продольная сонограмма матки демонстрирует утолщенный, неоднородный, гипоэхогенный эндометрий (фото А – стрелка; фото В – курсор)
Бывают случаи, когда жидкость в Дугласовом пространстве визуализируется на УЗИ как плотная масса с разнородной эхоструктурой, которая окружает органы таза.
К типичным клиническим признакам воспалительных заболеваний органов малого таза относятся боли внизу живота и болезненность при пальпации яичников при бимануальном исследовании (см статью «Гинекологическое исследование. Diagnostic Modus Operandi»).
Неувеличенные маточные трубы на УЗИ не выявляют (можно визуализировать широкие маточные связки, которые особенно легко идентифицировать, если они окружены асцитической жидкостью).
Ультразвуковая картина расширенной маточной трубы представляет собой трубкообразную, змеевидную, неподвижную, заполненную жидкостью структуру, локализованную в области придатков матки, один конец которой связан с яичниками. При гидросальпинксе расширенная маточная труба наполнена анэхогенной жидкостью, что позволяет четко визуализировать ее стенки, которые могут иметь неровности, напоминающие гаустры ободочной кишки.
Скопление жидкости в расширенной маточной трубе наблюдается при следующих патологиях:
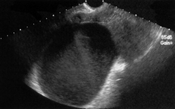
Ультразвуковая картина гидросальпинкса характеризуется наличием следующих признаков:

Фото 6. Детрит – придатковое образование с содержанием жидкости, что типично при гидросальпинксе
Ультразвуковое исследование позволяет выявить три слоя миометрия (мышечного слоя матки)....
После родов у женщины могут возникать разные осложнения, наиболее распространенными из которых...
Внематочная (эктопическая) беременность является самой частой причиной смертности среди женщин...
В I триместре беременности для УЗИ-диагностики тазовых и плодных структур показаны...
Самыми распространенными видами рака женских половых органов являются: Рак вульвы, Рак...
анализы, БАД, биологическая медицина, витамины, гастроэнтерология, гигиена, гинекология, гомеопатия, дерматология, диагностика, диетология, заболевания, иммунология, инфекционные заболевания, инфекция, исследования, кардиология, кожа, косметика, красота, лекарственные растения, лечение, лицо, неврология, обследование, оздоровление, онкология, ортопедия, педиатрия, питание, пищеварительная система, поведение, похудение, препараты, продукты, профилактика, процедура, психология, пульмонология, рак, реабилитация, сердечно-сосудистая система, ССС, тело, терапия, травматология, уход, фитотерапия, хирургия, эндокринология
Показать все теги

Комменатрии к новости