Рентгенография: Лекарственные Поражения Легких
Рентгенологическая картина проявления лекарственной токсичности в легких довольно разнообразна...
Медицина / Диагностика / Диагностика (статья)
Рентген легкихСистемные заболевания соединительной ткани – группа аутоиммунных патологий неизвестной этиологии, поражающие разные ткани и органы человека, в том числе и легкие. При аутоиммунном поражении ткани легких на рентгенограмме могут обнаруживаться разные изменения, обусловленные как самим системным заболеванием, так и присоединенным инфекционным процессом, а также возникшим побочным действием лекарственных препаратов (см статью «Рентгенография: Лекарственные Поражения Легких»).
Рентгенологическая картина изменений в легких в рамках аутоиммунного заболевания характеризуется наличием изменений по типу пневмонита: определяется двусторонняя деформация и усиление легочного рисунка с образованием сетчатых (ретикулярных) теней, альвеолярная инфильтрация, интерстициальная инфильтрация по типу «матового стекла», фиброзные изменения с бронхоэктазами (см статью «Рентгенография: Бронхоэктах»), может определяться картина «сотового легкого».
Отметим, что рентгенологическая картина изменений в легких, развивающиеся при аутоиммунных заболеваниях, похожа на идиопатические интерстициальные пневмонии (см статью «Рентгенография: Идиопатические Интерстициальные Пневмонии»). Так, при проведении рентгеновской компьютерной томографии (РКТ) определяется картина неспецифической интерстициальной пневмонии или организующейся пневмонии. Ниже кратко рассмотрены характерные рентгенологические признаки, возникающие при наиболее распространенных системных заболеваниях соединительной ткани.
Системная красная волчанка проявляется эритемой на лице в виде «бабочки», артритом, нефритом, перикардитом, плевритом. Патология чаще развивается у женщин, чем у мужчин. Рентгенологическая картина легких при системной красной волчанке характеризуется увеличением сердечной тени и гидротораксом (как правило обнаруживается двусторонний гидроторакс) (см статью «Рентгенография: Гидроторакс»). Также к типичным рентгенологическим признакам относятся высокое положение куполов диафрагмы, обусловленное поражением диафрагмальных мышц (см статью: «Рентгенография: Патологические изменения диафрагмы»), и дисковидные ателектазы в легких (см статью «Рентгенография: Ателектаз»), что приводит к уменьшению объема легких – синдром «усадки» легких.
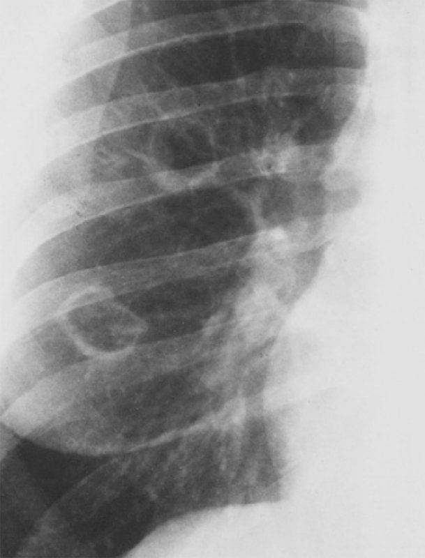
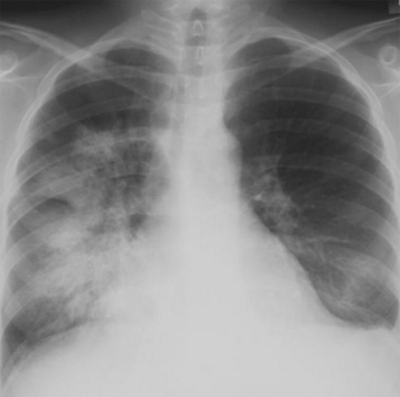
Волчаночный пневмонит (люпус-пневмонит) характеризуется одно- или двусторонними участками интерстициальной инфильтрации по типу «матового стекла», которые могут сочетаться с альвеолярной инфильтрацией. Эта патология встречается гораздо реже. Отметим, что при системной красной волчанке может возникать легочное кровотечение, при этом на рентгенограмме легких определяются распространенные инфильтраты (рисунок 1). Кроме этого, при системной красной волчанке в нижних отделах легких могут обнаруживаться фиброзные изменения, однако выраженный фиброз и «сотовое легкое» развиваются редко.
Рисунок 1. Поражение легких при системной красной волчанке. На рентгенограмме, выполненной у больного с кровохарканьем, обусловленного обширным легочным кровотечением, в прикорневой зоне и среднем легочном поле справа определяется высокоинтенсивная, нечетко ограниченная инфильтрация, также в нижней доле слева визуализируется начальная инфильтрация. Слева отмечается небольшой плевральный выпот
Антифосфолипидный синдром может сопровождаться развитием тромбоза глубоких вен нижних конечностей с последующим возникновением ТЭЛА (тромбоэмболии легочной артерии; см статью «Рентгенография: Тромбоэмболия легочной артерии»), эпизоды которой способны привести к легочной гипертензии (см статью «Рентгенография: Нарушения легочного кровообращения»). Системная красная волчанка сопровождается нарушениями функций иммунной системы, что сопровождается более частыми эпизодами возникновения пневмонии, причем эти пневмонии могут быть вызваны атипичными возбудителями, например, пневмоцистами.
Характерными рентгенологическими признаками в легких при ревматоидном артрите являются плевральный выпот и ревматоидные узелки – множественные тени округлой формы в легких, размером от нескольких миллиметров до нескольких сантиметров, которые расположены субплеврально. Иногда в ревматоидных узелках могут формироваться полости распада. Отметим, что ревматоидные узелки в легких развиваются одновременно с подкожными ревматоидными узелками. Ревматоидный артрит может сопровождаться развитием «сотового легкого».
В терапии артрита могут применять Метотрексат (цитостатическое средство), что может стать причиной развития «метотрексатового легкого» (см статью «Рентгенография: Лекарственные Поражения Легких»).
Синдром Каплана на рентгенограмме определяется в виде ревматоидных узелков в легких и картиной пневмокониоза (пылевого заболевания легких) (см статью: «Рентгенография: Пневмокониоз»).
Системной склеродермией больше страдают женщины. Патология характеризуется синдромом Рейно, изъязвлением и атрофией кожи, развитием микростомии, нефропатией, поражением суставов с образованием контрактур. При склеродермии часто возникают поражения пищевода – гипотония, расширение, зияние. Проведение рентгеноскопии позволяет выявить нарушения формирования эпифренальной ампулы (дивертикула) пищевода, гастроэзофагеальный рефлюкс с развитием рефлюкс-эзофагита, часто обнаруживаются грыжи пищеводного отверстия диафрагмы (см статью «Рентгенография: Патологические изменения диафрагмы»). В базальных отделах легких могут обнаруживаться фиброзные изменения, характерна облитерация плевральных синусов, утолщение костальной плевры. Иногда развивается «сотовое легкое» и легочная гипертензия.
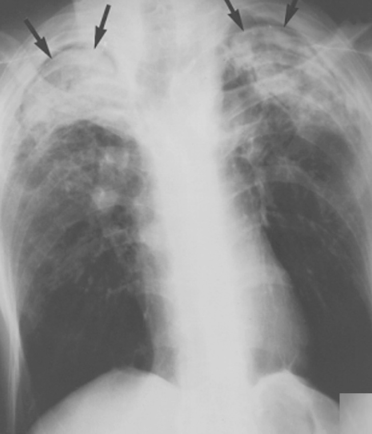
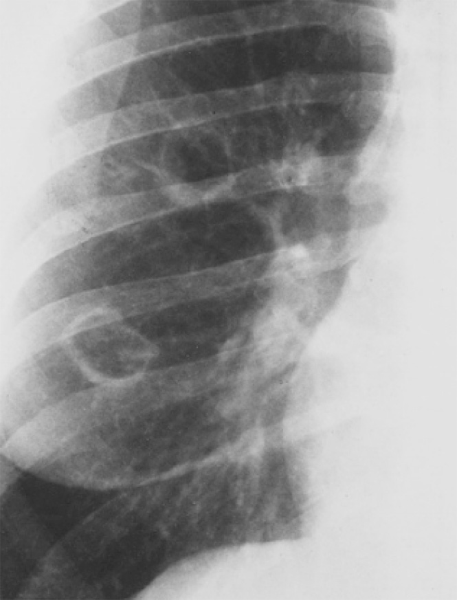
Гранулематоз Вегенера – системный некротизирующий васкулит, при котором происходит поражение верхних дыхательных путей с развитием изъязвлений (стоматит, трахеит, синусит, ринит), также возникает гломерулонефрит. На рентгенограмме легких могут обнаруживаться множественные инфильтраты неправильной округлой формы, размером до нескольких сантиметров. По мере развития заболевания в инфильтратах происходит распад – на их месте формируются тонкостенные полости (рисунок 2). При гранулематозе Вегенера могут возникать легочные кровотечения (на рентгенограмме в легких отмечаются инфильтративные изменения, как правило распространенные и двусторонние).
Рисунок 2. Гранулематоз Вегенера (увеличенный фрагмент рентгенограммы в прямой проекции – нижнее правое легочное поле). На фоне тени правого корня определяются 4 полостных образования в легком
При анкилозирующем спондилоартрите в легких определяются фиброзные изменения и бронхоэктазы в верхних долях. Возможно развитие полостей в верхних долях легких, похожих на каверны – рентгенологическая картина напоминает фиброзно-кавернозный туберкулез (см статью «Рентгенография: Туберкулез легких»). также в этих полостях могут образовываться аспергилломы.
Синдром Чарга-Стросса – эозинофильное гранулематозное воспаление с поражением дыхательных путей. Рентгенологическая картина при этой патологии рассмотрена в статье «Рентгенография: Легочная Эозинофилия».
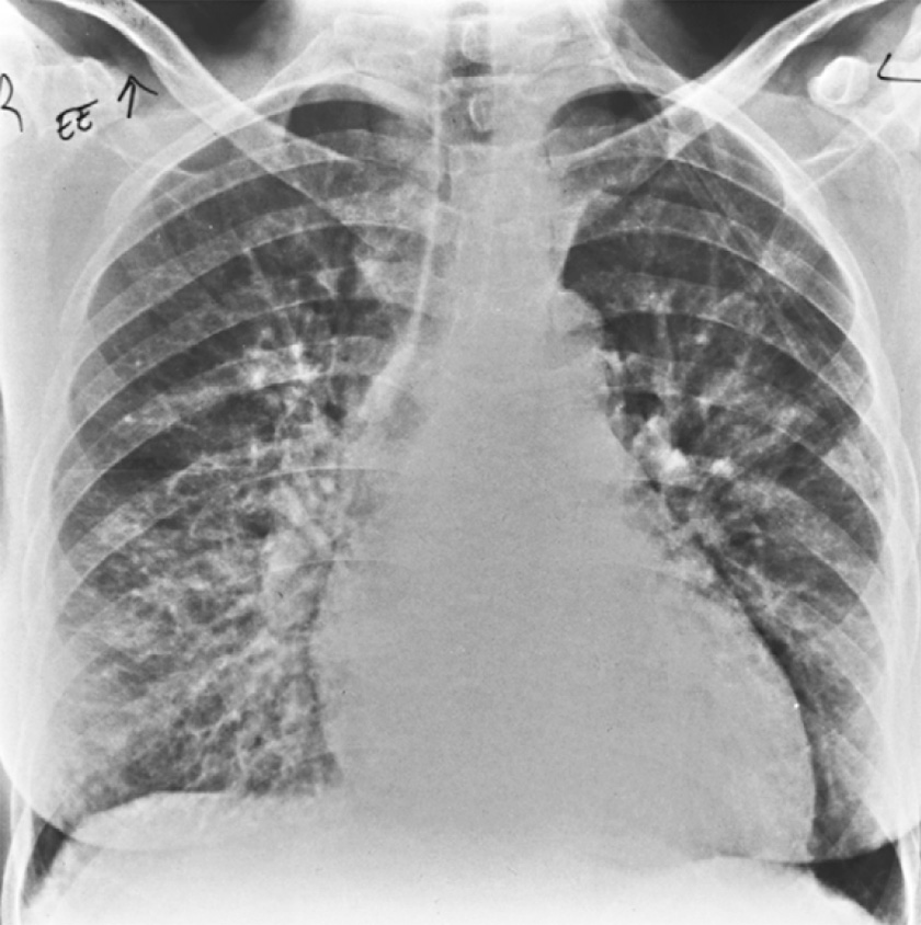
Синдром Гудпасчера – системный капиллярит, характеризующийся преимущественным поражением базальных мембран гломерулярного аппарата по типу гломерулонефрита (с гематурией) и альвеол легких по типу геморрагического пневмонита (с легочными кровотечениями). Рентгенологическая картина характеризуется появлением участков альвеолярной инфильтрации в легких. На рисунке 3 продемонстрированы интерстициальные изменения в легких, характерные для этой патологии.
Рисунок 3. Синдром Гудпасчера: Интерстициальные изменения в легких. Усиление интерстициального компонента легочного рисунка с обеих сторон, определяются ретикулярные и множественные мелкоочаговые тени. Изменения наиболее выражены в нижних и средних отделах легочных полей
Рисунок 4. Острый пневмонит при системной красной волчанке. В нижнем и среднем отделе правого легкого определяется усиление рисунка с образованием ретикулярных теней и неоднородной инфильтрации. Гистологическое исследование биоптата показало васкулит и кровоизлияние
Рисунок 5. Ревматоидные узелки. Увеличенный фрагмент рентгенограммы в прямой проекции – правое легочное поле. На снимке определяются 2 полостных образования в легком
Рисунок 6. Гранулематоз Вегенера. В обоих легких определяются множественные новообразования. В наиболее крупных образованиях видны полости с утолщенными стенками, а в образованиях среднего размера визуализируется уровень содержимого жидкость/газ
Рисунок 7. Изменения в легких у больного с болезнью Бехтерева. В обоих легких отмечается уменьшение объема верхних долей, что обусловлено фиброзом (корни легких «подтянуты» вверх). В верхних долях обоих легких видны полости с мицетомами (см стрелки)
Рентгенологическая картина проявления лекарственной токсичности в легких довольно разнообразна...
Идиопатические Интерстициальные Пневмонии – патологическая группа неизвестной этиологии,...
Пневмокониоз – группа необратимых патологий легких, неподдающихся лечению, развивающиеся...
Саркоидоз – системная воспалительная патология неизвестной этиологии, характеризующаяся...
В норме рентгенологическая картина легочного рисунка представляет собой изображение...
анализы, БАД, биологическая медицина, витамины, гастроэнтерология, гигиена, гинекология, гомеопатия, дерматология, диагностика, диетология, заболевания, иммунология, инфекционные заболевания, инфекция, исследования, кардиология, кожа, косметика, красота, лекарственные растения, лечение, лицо, неврология, обследование, оздоровление, онкология, ортопедия, педиатрия, питание, пищеварительная система, поведение, похудение, препараты, продукты, профилактика, процедура, психология, пульмонология, рак, реабилитация, сердечно-сосудистая система, ССС, тело, терапия, травматология, уход, фитотерапия, хирургия, эндокринология
Показать все теги

Комменатрии к новости