Рентгенография: Метастазы в легких
Любые злокачественные новообразования могут метастазировать в легкие. Однако наиболее частыми...
Медицина / Диагностика / Диагностика (статья)
Рентген легкихВенозный застой в малом круге кровообращения (МКК), альвеолярный и интерстициальный отек легких обусловлены, как правило, кардиогенными нарушениями. Причиной дисфункции миокарда может быть снижение его сократительной способности при аритмиях, ишемической болезни сердца, инфаркте, а также при миокардитах и кардиомиопатиях. Нарушение функции миокарда также может быть обусловлена перегрузкой камер сердца или препятствием кровотока из-за поражения клапанов инфекционным эндокардитом, пороков и др.
В случае возникновения дисфункции миокарда нарушается кровоток в малом круге кровообращения, что затрудняет отток крови из легких, легочные вены переполняются кровью, в результате повышается гидростатическое давление в капиллярном русле малого круга кровообращения. Транссудат (отечная жидкость) из капилляров поступает сначала в соединительную строму (интерстициальную ткань) легких, а потом в альвеолярное пространство.
Нарушения легочного кровообращения делят на следующие типы:
Венозный застой в малом круге кровообращения – начальное проявление нарушения сердечной деятельности, при котором легочные вены переполняются кровью. Рентгенологические признаки венозного застоя в МКК характеризуются диффузными двусторонними изменениями легочного рисунка в виде усиления сосудистого компонента. При этом на рентгенограмме отмечается перераспределение кровотока в пользу верхних долей легких. Отметим, что в нормальном состоянии диаметр сосудов верхних долей легких меньше, чем сосудов нижних долей, то есть, через базальные отделы легких протекает больший объем крови (это обусловлено действием силы гравитации). Такое соотношение диаметров сосудов легких (в верхних отделах меньше, чем в нижних) характерно для рентгеновских снимков, выполненных в положении стоя; если рентгенограмма выполняется в положении лежа, диаметр сосудов нижних и верхних долей легкого примерно одинаковый.
При венозном застое в МКК происходит перераспределение кровотока таким образом, что калибр сосудов верхних и нижних долей сначала становится одинаковым, потом диаметр верхних долей увеличивается – становится больше, чем диаметр сосудов нижних долей (см рисунок 1).
Венозный застой в малом круге кровообращения
Рисунок 1. Венозный застой в малом круге кровообращения (МКК). А – рентгенограмма в прямой проекции; Б – увеличенный фрагмент рентгенограммы А (прикорневая зона правого легкого). Отмечается усиление сосудистого компонента легочного рисунка, перераспределение кровотока в пользу верхних долей легких (диаметр сосудов в верхних долях больше, чем в нижних). Также определяется расширение тени сердца
В верхних долях легких в прикорневых отделах отмечаются расширения и ветвистость верхних легочных вен – симптом «оленьих рогов». По мере прогрессирования патологии расширенные вены определяются и в нижних отделах легочных полей (при этом больше визуализируются тени легочных вен с горизонтальным или косым (по диагонали) ходом). Отметим, что вены в нижних отделах легочных полей имеют больший горизонтальный ход, чем артерии. Отмечается снижение структуры корней за счет большого количества расширенных венозных сосудов, в том числе обнаруживаемы в ортопроекции.
Отек легких – более тяжелое проявление нарушений функции миокарда, возникающих вследствие декомпенсации патологии сердца или острых состояний (тяжелая аритмия, инфаркт миокарда).
Развитие отека легких делят на две основные стадии:
Клинические проявления отека легких характеризуются сильной одышкой, кашлем, удушьем; в процессе дыхания участвует вспомогательная мускулатура; при аускультации в легких выслушиваются сухие хрипы, а в случае развития альвеолярного отека – влажные хрипы.
Интерстициальный отек легких
Интерстициальный отек легких на рентгенограмме характеризуется появлением вышеописанных признаков венозного застоя в малом круге кровообращения, а также следующими признаками:

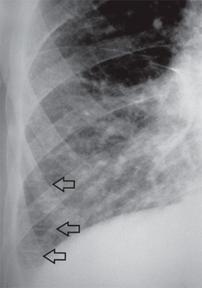
Рисунок 2. Линии Керли типа В: фрагмент рентгенограммы правого легочного поля в прямой проекции. Линии Керли типа В (см стрелки) определяются в типичном месте – над реберно-диафрагмальным синусом
Рисунок 3. Интерстициальный отек легкого: контуры сосудов нечеткие, структура корней легкого плохо определяется. С обеих сторон отмечается усиление интерстициального компонента легочного рисунка за счет образования множественных нечетких ретикулярных (сетчатых) теней (вследствие отека междольковых перегородок). На снимке также отмечаются признаки венозного застоя в малом круге кровообращения – усиление сосудистого рисунка в легких, перераспределение кровотока в пользу верхних долей, диаметр сосудов в нижних долях меньше, чем в верхних (см стрелки)
При сердечной недостаточности может возникать односторонний или двусторонний плевральный выпот (рисунок 4).
Рисунок 4. Интерстициальный отек легких. А – рентгенограмма в прямой проекции: определяются нечеткие контуры сосудов, расширение и потеря структурности корней легких, в прикорневых отделах определяются линии Керли типа А (см стрелки). Б – рентгенограмма в правой боковой проекции: отмечается утолщение междолевой плевры (см стрелки). С обеих сторон в плевральных полостях определяется содержимое (преимущественно справа); справа на фоне такой картины трудно исключить инфильтрацию в нижней доле легкого. В, Г – рентгенограмма того же пациента через 7 дней терапии, выполненная в прямой и боковой проекции: на снимках отмечается выраженная положительная динамика
Отметим, что в отечественной практике не часто употребляют термин «интерстициальный отек» - как правило, проявление интерстициального отека легких применяют термин «выраженный венозный застой в малом круге кровообращение» или «угроза отека легких», тем самым подразумевая под отеком легких только альвеолярный отек.
Альвеолярный отек легких обусловлен наполнением альвеол транссудатом (отечной жидкостью). Рентгенологическая картина альвеолярного отека легких характеризуется появлением затемнений с нечеткими контурами, размеры которых могут варьировать от очаговых до распространяющихся на значительную часть легкого. Отметим, что локализация таких затемнений не соответствует долям и сегментам легких. Транссудат способен перемещаться по легочной ткани путем преодоления межальвеолярных перегородок. Локализация отечной жидкости часто определяется силой гравитации и может меняться в зависимости от положения тела пациента. Как правило, при альвеолярном отеке легких затемнения на рентгенограмме отмечаются в S 2, 6, 9, 10 с обеих сторон; на снимке, выполненном в прямой проекции, такое расположение соответствует наддиафрагмальным и прикорневым отделам легочных полей. Типичная рентгенологическая картина альвеолярного отека легких – «крылья бабочки» (тени корней с обеих сторон вливаются с затемнениями в легких; см рисунок 6).
Рисунок 6. Альвеолярный отек легких: рентгенологическая картина «крылья бабочки»
При проведении дифференциальной диагностики отека легких необходимо учитывать тот факт, что изменения в легких, как правило, возникают с обеих сторон, а также отмечается быстрая динамика развития патологии (в течение нескольких часов) при условии проведения соответствующего лечения (рисунок 7).
Рисунок 7. Альвеолярный отек легких. А, Б – рентгенограммы одного пациента, выполненные с интервалом в несколько часов: на снимках отмечается быстрая положительная динамика альвеолярного отека при проведении соответствующей терапии
Односторонний отек легкого тоже возможен. Такое развитие вероятно, если больной лежит преимущественно на одном боку. Кроме этого, развитие отека преимущественно в одном легком может быть обусловлено выраженной эмфиземой (в участках легкого с разрушенными альвеолами отек не образуется), или тромбоэмболией легочной артерии (в этом случае происходит нарушение кровотока дистальнее места окклюзии, в результате чего прекращается развитие отека).
Иногда причиной развития отека легких могут быть некардиогенные причины, например, при черепно-мозговой травме, инсульте (при черепно-мозговой травме и инсульте нарушения нервной регуляции являются причиной повышения проницаемости капилляров), при ятрогенной гипергидратации, почечной недостаточности (нефрогенный отек легких). В этих случаях при отеках нехарактерны линии Керли типа В и проявления венозного застоя в малом круге кровообращения.
Легочная гипертензия – повышение давления в легочной артерии, обусловленное патологией сердечно-сосудистой системы или заболеваниях легких (например, хроническая обструктивная болезнь легких). Хроническая обструктивная болезнь легких (ХОБЛ) сопровождается эмфиземой с нарушением структуры легких, значительным уменьшением количества альвеол, обусловленное их разрушением, образованием булл, фиброза, уменьшением площади поверхности для газообмена в легких (см статью «Рентгенография: Хроническая обструктивная болезнь легких»). В результате возникает рефлекторный спазм мелких артерий, с дальнейшим развитием соединительной ткани в их стенках, что приводит к облитерации (закрытие, заращение) просвета кровеносных сосудов.
Рентгенологическая картина при легочной гипертензии характеризуется расширением главных и прикорневых легочных артерий (см статью «Рентгенография: Хроническая обструктивная болезнь легких», рисунок 1, 2). Ближе к периферии легких калибр сосудов резко уменьшается – отмечается так называемый «скачок калибра» легочных артерий. Из-за расширения левой и правой легочных артерий корни легких расширяются (рисунок 8, 9), при этом структура корней сохраняется, наружные контуры четкие и ровные (в отличие от «бугристых», полициклических корней при лимфаденопатии, и неструктурных корней при застое в малом круге кровообращения). Из-за «скачка калибра» легочных артерий корни легких выглядят «обрубленными». Часто определяется «выбухание» дуги легочного ствола по левому контуру сердца (см рисунок 10).
Рисунок 8. Легочная гипертензия при патологии сердца. А – рентгенограмма в прямой проекции: на снимке отмечается расширение левой и правой легочных артерий с ровным, четким контуром, и расширение прикорневых артерий. Также отмечается значительное расширение сердечной тени. Б – рентгенограмма в правой боковой проекции: определяются тени протезов аортального (см стрелка) и митрального (см указатель) клапанов
Рисунок 9. Выраженная легочная гипертензия при длительно существующем дефекте межпредсердной перегородки миокарда: отмечается значительное расширение корней легких за счет легочных артерий
В качестве способа диагностики легочной гипертензии по рентгенологическим признакам применяют измерение поперечника нисходящей ветви правой легочной артерии. На рентгенограмме, выполненной в прямой проекции, это измерение проводят на уровне промежуточного бронха, который определяется в теле правого корня в виде полосы просветления кнутри от легочной артерии (рисунок 10). Если расширение нисходящей ветви правой легочной артерии больше 20 мм, это признак легочной гипертензии. В норме ширина нисходящей ветви правой легочной артерии у женщин не превышает 16 мм, у мужчин – не более 18 мм.
Рисунок 10. Легочная гипертензия: на снимке отмечается выбухание дуги легочного ствола по левому контуру сердца (см указатель). Справа стрелками обозначена ширина нисходящей легочной артерии
Для диагностики легочной гипертензии по рентгенологическим признакам следует ориентироваться и на другие признаки – «выбухание» дуги легочного ствола по левому контуру сердца, «скачок калибра» легочных артерий. Достоверная диагностика легочной гипертензии проводится при ультразвуковом исследовании (УЗИ) сердца.
ВАЖНО!!! При патологиях сердца признаки застоя в малом кругу кровообращения могут сочетаться с признаками легочной гипертензии. При хронической обструктивной болезни легких с эмфиземой в рентгенологической картине часто преобладает легочная гипертензия. Также признаки легочной гипертензии могут определяться при тромбоэмболии легочной артерии
Расширение легочной артерии в редких случаях может быть обусловлено ее аневризмой (рисунок 11).
Аневризматическое расширение легочного ствола, левой и правой легочной артерии
Рисунок 11. Аневризматическое расширение легочного ствола, левой и правой легочной артерии. А – рентгенограмма в прямой проекции; Б – рентгенограмма в правой боковой проекции. На снимке определяется значительное выбухание дуги легочного ствола по левому контуру сердца и расширение корней легких за счет легочных артерий
При патологиях сердца на рентгенограмме может определяться увеличение размеров тени сердца, однако этот признак не всегда встречается. Значительное увеличение сердечной тени со сглаженностью душ и отсутствием «талии» сердца, уменьшение тени сосудистого пучка (тень становится короче) может быть признаком гидроперикарда (рисунок 12, 13). В случае подозрения на гидроперикард, пациенту необходимо провести УЗИ сердца с целью достоверного определения наличия жидкости в полости перикарда и своевременной диагностики тампонады сердца (жизнеугрожающего состояния).
Рисунок 12. Гидроперикард со значительным объемом выпота в полости перикарда
Рисунок 13. Гидроперикард. А, Б – рентгенограммы, одного и того же пациента, выполненные с 7-дневным интервалом: определяется быстрое увеличение размеров сердечной тени, обусловленное накоплением выпота в полости перикарда при инфекционном перикардите
При сердечной недостаточности у больных часто развивается пневмония. В таких случаях инфильтрация возникает на воне признаков венозного застоя в малом кругу кровообращения (см рисунок 14). Эти изменения нужно дифференцировать с признаками альвеолярного отека легких (отек легких в большинстве случаев двусторонний; также большое значение в диагностике имеет оценка клинико-лабораторных показателей).
Пневмония на фоне венозного застоя в малом круге кровообращения
Рисунок 14. Пневмония на фоне венозного застоя в малом круге кровообращения у пожилого пациента. А – рентгенограмма в прямой проекции: в верхней и нижней долях правого легкого определяется инфильтрация; отмечаются признаки венозного застоя в малом кругу кровообращения в виде усиления сосудистого рисунка и перераспределения кровотока в пользу верхних долей. Отмечаются односторонняя инфильтрация и признаки острого воспалительного процесса. Справа определяется небольшой междолевой выпот в горизонтальной междолевой щели (см стрелка). Тень средостения в верхнем отделе расширена за счет грудины (см указатели), что обусловлено ассиметричной установкой пациента. Б – рентгенограмма в правой боковой проекции: в плевральной полости определяется небольшой выпот (см стрелка). В, Г – рентгенограммы того же пациента, выполненные через 10 дней терапии: отмечается рассасывание инфильтрации справа и положительную динамику разрешения застойных явлений. Выпот в плевральной полости не определяется; объем междолевого выпота уменьшился (см стрелка)
У больных в пожилом возрасте на рентгенограмме могут обнаруживаться обызвествления аорты, коронарных артерий и клапанов сердца, что является признаком их дегенеративных изменений, обусловленных атеросклерозом (рисунок 15).
Рисунок 15. Обызвествления в сердце. Рентгенограммы разных пациентов, выполненных в боковой проекции. А – определяется кальциноз митрального клапана (см стрелки), аортального клапана (см указатели) и аорты. Б – кальциноз коронарных артерий (см стрелки)
Респираторный дистресс-синдром у взрослых (РДСВ, синоним «шоковое сердце») по клинико-рентгенологической картине напоминает отек легких (рисунок 16), однако РДСВ имеет некоторые отличия. Сам термин обозначает отличие этого состояния от респираторного дистресс-синдрома у новорожденных, обусловленного дефицитом сурфактанта.
Респираторный дистресс-синдром у взрослых
Рисунок 16. Респираторный дистресс-синдром у взрослых, осложняющий течение тяжелой пневмонии
Респираторный дистресс-синдром у взрослых, в отличие от отека легких (обусловленного повышением гидростатического давления в капиллярах), характеризуется повреждением стенок капилляров. В результате повреждения стенок капилляров при РДСВ экссудат с большим содержанием клеток крови и белка попадает сначала в интерстициальную, а потом в альвеолярную ткань, тогда как при отеке легких происходит только повышение проницаемости стенок капилляров, а в легочную ткань попадает транссудат – отечная жидкость, бедная клетками крови и белками.
Причиной возникновения респираторного дистресс-синдрома у взрослых могут быть вдыхание токсических газов, аспирация желудочного содержимого, наркотические вещества, лекарственные препараты, посттрансфузионные и аллергические реакции, вирусные и бактериальные инфекции (в том числе и пневмония), сепсис (как правило вызванный грамотрицательной инфекцией). Кроме этого, РДСВ может возникать при тяжелых ожогах, ДВС-синдроме, панкреонекрозе, шоке, после проведения процедуры искусственного кровообращения, больших хирургических операция, в результате травмы грудной клетки, жировой эмболии легких (после обширных повреждений жировой клетчатки и костей).
В зависимости от причины и интенсивности воздействия повреждающего фактора, респираторный дистресс-синдром у взрослых развивается в течение 12-24 часов. РДСВ имеет характерные рентгенологические отличия от отека легких (особенно на начальном этапе развития):
Обратная динамика развития изменения в легких при респираторном дистресс-синдроме у взрослых длится в течение нескольких недель. В исходе РДСВ как правило остается диффузный пневмосклероз.
Диагностировать респираторный дистресс-синдром у взрослых и отличить его от отека легкого по рентгенологическим признакам на практике довольно сложно, тем более что при РДСВ может развиться левожелудочковая недостаточность с признаками кардиогенного отека легких. Таким пациентам часто делают рентгенографию в отделении интенсивной терапии мобильными аппаратами, что сильно влияет на качество рентгенограммы и, соответственно, диагностику. Значительно облегчить процесс диагностики РДСВ позволяет проведение РКТ.
Любые злокачественные новообразования могут метастазировать в легкие. Однако наиболее частыми...
Хроническая обструктивная болезнь легких (ХОБЛ) – хроническая патология, обусловленная...
В норме рентгенологическая картина легочного рисунка представляет собой изображение...
Бронхоэктаз – необратимое расширение бронхов, обусловленное воспалительными и...
Несмотря на то, что с помощью рентгенограммы в настоящее время невозможно точно определить...
анализы, БАД, биологическая медицина, витамины, гастроэнтерология, гигиена, гинекология, гомеопатия, дерматология, диагностика, диетология, заболевания, иммунология, инфекционные заболевания, инфекция, исследования, кардиология, кожа, косметика, красота, лекарственные растения, лечение, лицо, неврология, обследование, оздоровление, онкология, ортопедия, педиатрия, питание, пищеварительная система, поведение, похудение, препараты, продукты, профилактика, процедура, психология, пульмонология, рак, реабилитация, сердечно-сосудистая система, ССС, тело, терапия, травматология, уход, фитотерапия, хирургия, эндокринология
Показать все теги

Комменатрии к новости