Рентгенография: Саркоидоз
Саркоидоз – системная воспалительная патология неизвестной этиологии, характеризующаяся...
Медицина / Диагностика / Диагностика (статья)
ПневмокониозПневмокониоз – группа необратимых патологий легких, неподдающихся лечению, развивающиеся при длительном вдыхании пыли, в результате чего формируется хронический воспалительный процесс, со временем переходящий в диффузный пневмосклероз.
Пневмокониоз принято считать профессиональным заболеванием, обусловленное определенными условиями труда. В зависимости от характера пыли пневмокониоз делят на следующие виды:
Кроме этого пневмокониоз может быть обусловлен пылью, обладающей токсико-аллергическим действием – органической и металлической (пыль бария, бериллия, олова, алюминия и др).
Симптоматика пневмокониоза зависит от стадии болезни, степени выраженности нарушений в легких (фиброзных изменений), а также наличия возможных осложнений. Типичная клиническая картина развивается постепенно, у больного появляется одышка и кашель, на более поздних стадиях заболевания появляются признаки эмфиземы легких (см статью «Эмфизема легких. Краткий обзор») и легочное сердце. При диагностике пневмокониоза важно провести профессиональный анамнез.
Силикоз является наиболее тяжелой формой пневмокониоза. Патология развивается вследствие вдыхания пыли с большим содержанием кварцевой пыли (диоксида кремния). К группе риска развития силикоза принадлежат шахтеры, работники керамического производства, пескоструйных машин. Силикоз характеризуется формированием в легких большого количества узелков, образующих на рентгенограмме картину мелкоочаговых теней, также определяет деформация и усиление легочного рисунка из-за развития перибронховаскулярной соединительной ткани и фиброзного утолщения междольковых перегородок. В последствии развивается диффузный пневмосклероз.
Рентгенологическая картина при силикозе делится на три стадии:
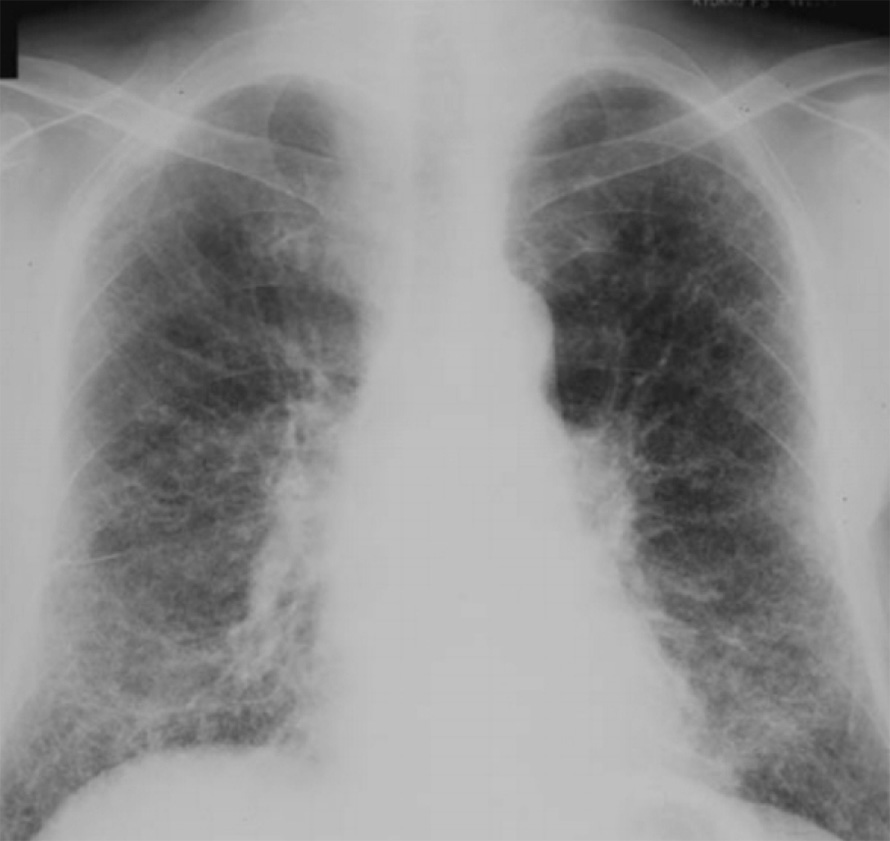
I стадия – на рентгенограмме определяется деформация и усиление легочного рисунка с образованием сетчатых (ретикулярных) теней. На этом фоне визуализируются немногочисленные мелкие узелки (очаги), размером до 2 мм. Такие изменения обнаруживаются преимущественно в средних отделах легочных полей.
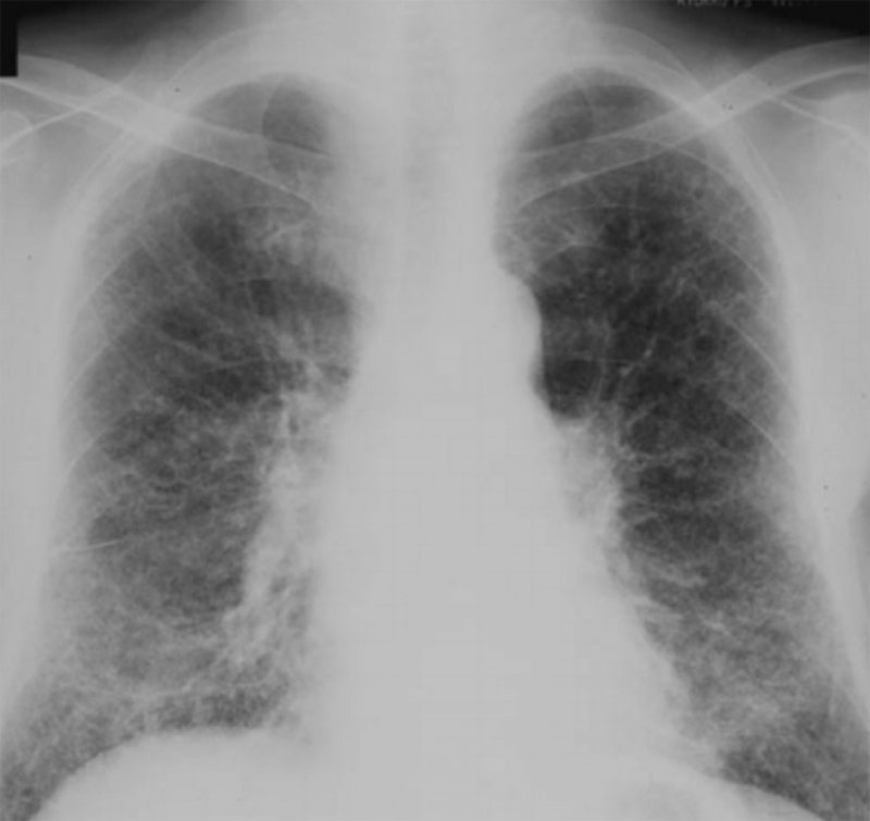
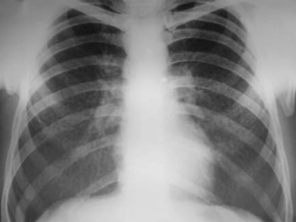
II стадия – в легких визуализируются множественные очаговые тени, размером от 5 до 10 мм – так называемая картина «снежной бури». Может определяться обызвествление узелков. Также отмечается выраженная деформация и усиление легочного рисунка с образованием ретикулярных теней (отметим, что на этом фоне сосудистый рисунок определяется плохо) (рисунок 1).
III стадия – мелкие очаги сливаются, образуя конгламераты – более крупные фиброзные узлы, размером 1-10 см. Контуры тени фиброзных узлов неровные, по периферии определяются фиброзные тяжи. Прогрессирование патологии сопровождается формированием в нижних отделах легких эмфизематозных булл. К симптоматической картине присоединяются признаки легочной гипертензии (см статью «Рентгенография: Нарушения легочного кровообращения»).
Рисунок 1. Силикоз (II стадия). В легких определяются множественные очаги обызвествления – картина «снежной бури»
Рентгенологическая картина при силикозе также может сопровождаться увеличением бронхопульмональных лимфатических узлов, что обуславливает расширение и потерю структурности корней легких. Может определяться обызвествление по типу «яичной скорлупы».
Бывают случаи, когда к силикозу присоединяется туберкулезный процесс, что значительно усложняет диагностику, поскольку на фоне пневмокониотических изменений тяжело обнаружить туберкулезные изменения (см статью «Рентгенография: Туберкулез легких»). Силикотуберкулез можно подозревать в случае обнаружения новых очагов и инфильтратов, локализованных в верхних отделах легких, при обнаружении инфильтратов с распадом, каверн, а также признаков фиброзно-кавернозного туберкулеза с уменьшением объема верхних долей легких. Очень трудно обнаружить присоединение диссеминированных форм туберкулеза. Значительно облегчить процесс диагностики силикотуберкулеза можно путем проведения рентгеновской компьютерной томографии (РКТ).
Асбестоз развивается вследствие вдыхания пыли с большим содержанием оксида кремния и оксида магния. Патология часто встречается среди работников производства пластика, изолирующих материалов, текстиля, бумаги. Рентгенологическая картина в легких не имеет узелков с четкими контурами, а определяется картина диффузного пневмосклероза в виде деформации и усиления легочного рисунка. Прогрессирование асбестоза сопровождается формированием более грубых фиброзных тяжей, при этом фиброз может развиться до степени «сотового легкого». Кроме этого при асбестозе может отмечаться утолщение реберной и диафрагмальной плевры в виде «бляшек», контуры которых могут быть ровными, полициклическими или спикулообразными. Отметим, что эти «бляшки» часто обызвествляются.
При асбестозе может образовываться плевральный выпот (см статью «Рентгенография: Гидроторакс») и определяться увеличение бронхопульмональных лимфатических узлов. В случае утолщения медиастинальной плевры и фиброзных изменений прилежащих к сердцу участков легкого, на рентгенограмме определяется неровный контур сердечной тени – симптом «волосатого сердца».
Отметим, что лица, подвергающиеся воздействия асбеста, находятся в группе высокого риска развития рака легкого и злокачественной мезотелиомы плевры (см статью «Рентгенография: Рак легкого» и «Рентгенография: Опухоли плевры»). Асбестоз, как и силикоз, имеет 3 стадии, однако нужно учитывать тот факт, что в легких не обнаруживаются четко очерченные узелки, поэтому при асбестозе I и II стадии отличают по степени выраженности пневмосклероза, а для III стадии в легких развивается массивный фиброз.
Развитие антракоза обусловлено вдыханием «чистой» угольной пыли. Отметим, что угольная пыль обладает меньшей степенью патогенности, чем кварцевая. Патологические изменения в легких развиваются после многолетней работы в условиях выраженной запыленности. Рентгенологическая картина при антракозе напоминает силикоз, но есть некоторые отличия: антракоз медленно прогрессирует, изменения не сильно выраженные и часто развиваются только до второй стадии. Иногда (реже, чем при силикозе) антракоз может сочетаться с туберкулезом.
В редких случаях пневмокониоз сочетается с ревматоидным артритом. При этом в легких могут образовываться ревматоидные узелки – синдром Каплана.
Для оценки выраженности фиброзных изменений в легких при пневмокониозах можно использовать альтернативный способ – классификация International Labor Office, при котором патологию не делят на стадии, а применяют буквенные и цифровые обозначения, с помощью которых кодируют конкретные изменения (утолщения плевры, узелки, конгломераты и др), их размер и степень распространенности (по данным рентгенографии).
Рисунок 2. Силикоз I-II стадии. В обоих легких определяются многочисленные мелкие узелки, размером 2-3 мм. Изменения преобладают в средних отделах легочных полей
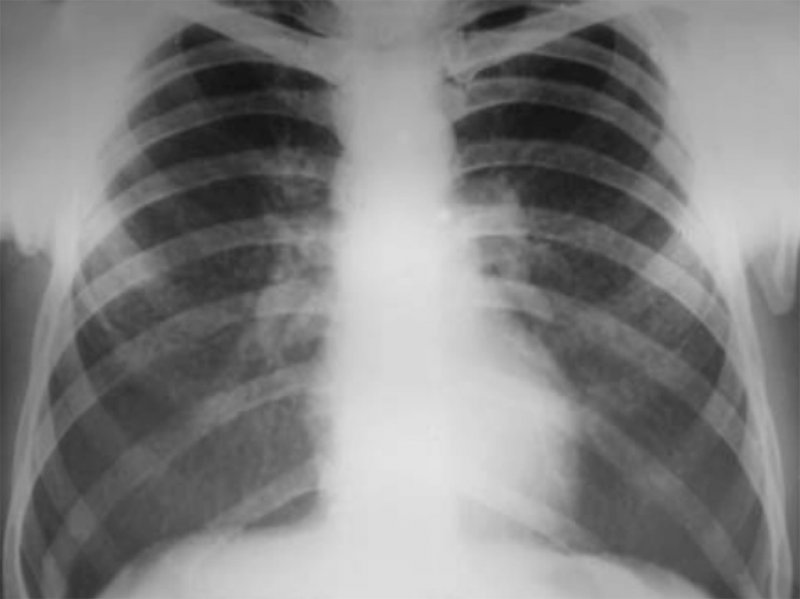
Рисунок 3. Силикоз. Увеличенный фрагмент рентгенограммы в прямой проекции – нижние отделы правого легочного поля. У больного в обоих легких определяются множественные, достаточно четко ограниченные милиарные узелки и диффузные ретикулярные изменения
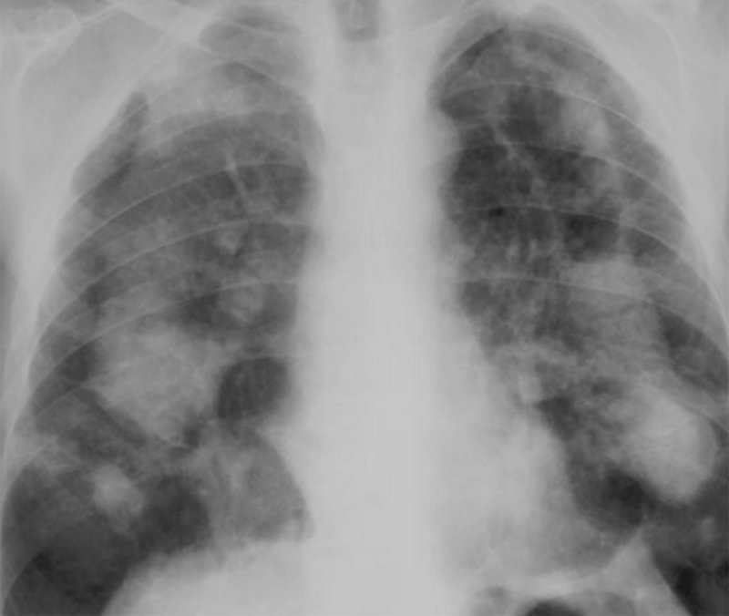
Рисунок 4. Силикоз. Определяются диффузные двусторонние интерстициальные изменения – распространенный пневмосклероз
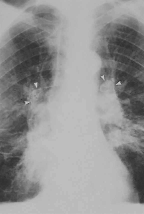
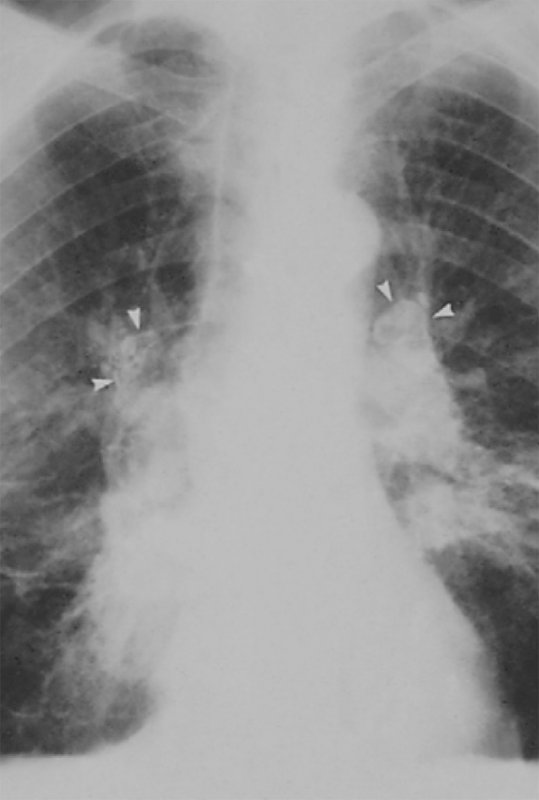
Рисунок 5. Силикоз. Определяется двусторонняя бронхопульмональная лимфаденопатия. Множество лимфатических узлов обызвествлены, в некоторых лимфоузлах отмечается обызвествление по типу «яичной скорлупы» (см стрелки)
Рисунок 6. «Легкое шахтера» - прогрессирующий массивный фиброз. Определяются небольшие участки фиброза, в каждом легком визуализируется одно большое новообразование «гантелеобразной» формы. Наружные границы «гантелеобразных» образований имеют более четкие контуры, чем внутренние. Слева в верхнем отделе легкого в образовании сформировалась полость распада, вероятно из-за ишемического некроза, но можно предположить присоединение туберкулеза
Саркоидоз – системная воспалительная патология неизвестной этиологии, характеризующаяся...
Лимфома – группа злокачественных гематологических лимфопролиферативных заболеваний,...
Фиброзные плевральные утолщения обусловлены воспалительными процессами, вовлекающих...
Хроническая обструктивная болезнь легких (ХОБЛ) – хроническая патология, обусловленная...
В норме рентгенологическая картина легочного рисунка представляет собой изображение...
анализы, БАД, биологическая медицина, витамины, гастроэнтерология, гигиена, гинекология, гомеопатия, дерматология, диагностика, диетология, заболевания, иммунология, инфекционные заболевания, инфекция, исследования, кардиология, кожа, косметика, красота, лекарственные растения, лечение, лицо, неврология, обследование, оздоровление, онкология, ортопедия, педиатрия, питание, пищеварительная система, поведение, похудение, препараты, продукты, профилактика, процедура, психология, пульмонология, рак, реабилитация, сердечно-сосудистая система, ССС, тело, терапия, травматология, уход, фитотерапия, хирургия, эндокринология
Показать все теги

Комменатрии к новости