Рентгенография: Ателектаз
Ателектаз – спадение альвеол, при котором поражается легкое (или часть легкого: сегмент,...
Медицина / Диагностика / Диагностика (статья)
ГидротораксГидроторакс – рентгенологический синдром, обусловленный скоплением жидкости в плевральной полости (плевральный выпот). Плевральный выпот может быть в виде экссудата и транссудата.
Экссудат содержит большое количество белка. Образование экссудата часто вызвано инфекционным воспалительным процессом (в том числе пневмонией, инфекционной деструкцией легких, туберкулезом) и обусловлено патологическими повреждениями плевральных листков и их повышенной проницаемостью (при травме, воспалении, опухолевом поражении и др). Накопление экссудата в плевральной полости может происходить при травмах грудной клетки, патологиях брюшной полости (после абдоминальных операций, при абсцессах брюшной полости, панкреатите и др), ТЭЛА (см статью «Рентгенография: Тромбоэмболия легочной артерии»), злокачественных новообразованиях плевры (см статью «Рентгенография: Рак легкого») и при метастазировании в плевру (см статью «Рентгенография: Метастазы в легких»). Вызвать образование экссудата могут почечная недостаточность (когда развивается уремический плеврит), токсическое влияние лекарственных препаратов, перфорация пищевода, системные заболевания соединительной ткани (ревматоидный артрит, системная красная волчанка и др), асбестоз (при вдыхании асбестсодержащей пыли), повреждение грудного лимфатического протока (при хирургических вмешательствах, травмах), лучевая терапия.
Транссудат – выпот с небольшим содержанием белка, возникающий, как правило, при циррозе печени, патологиях почек (сопровождающихся нефротическим синдромом), застойной сердечной деятельности, ТЭЛА, патологиях перикарда, гипотиреозе, гипоальбуминемии.
Определить характер плеврального выпота (экссудат или транссудат) с помощью рентгенограммы невозможно, поскольку, в независимости от характера содержимого, рентгенологическая картина будет одинаковой.
Рентгенологическая картина при большом накоплении жидкости в плевральной полости характеризуется субтотальным или тотальным затемнением легочного поля, эти изменения также рассмотрены в статье «Рентгенография: Затемнения или Просветления легочного поля» (рисунок 1, 2). Обусловленное содержимым в плевральной полости затемнение располагается в области реберно-диафрагмального синуса и нижних отделах легочного поля; в случае увеличения количества содержимого площадь затемнения увеличивается, распространяясь снизу-вверх (если содержимое рассасывается, площадь затемнения уменьшается в обратном направлении – сверху вниз).
При гидротораксе затемнение более интенсивное и однородное, на его фоне часто не визуализируются (или плохо визуализируются) элементы легочного рисунка и корень легкого, при левосторонней локализации затемнение перекрывает тень сердца, сливаясь с ней. Купол диафрагмы плохо дифференцируется (или вообще не определяется). Верхняя граница затемнения имеет дугообразную форму и располагается по направлению наружного отдела легочного поля вниз к срединной тени (контуры этой границы могут быть не четкие). Прозрачность легкого над этой границей может снижаться (это обусловлено патологическими изменениями в самом легком, например, при пневмонии, или сдавлением легкого содержимым в плевральной полости). Важный признак гидроторакса – смещение срединной тени в противоположную от зоны поражения сторону (такое смещение хорошо определяется при накоплении большого объема жидкости в плевральной полости).
Если в плевральной полости скапливается небольшое количество выпота, на рентгенограмме определяется затемнение только в области синусов. В этом случае выпот сначала накапливается в заднем синусе (определяется на рентгенограмме, выполненной в боковой проекции), потом – в реберно-диафрагмальном синусе (определяется на рентгенограмме, выполненной в прямой проекции) (рисунок 1, 2). В норме определяется острый «угол» между диафрагмой и стенкой грудной клетки в области синусов. При накоплении небольшого количества содержимого этот «угол» сглаживается, синус становится «неглубоким».

Рисунок 1. Малый гидроторакс (схематическое изображение рентгенограммы, выполненной в прямой и боковой проекциях)
Рисунок 2. Малый гидроторакс справа (см стрелка). А – рентгенограмма в прямой проекции; Б – рентгенограмма в правой боковой проекции
Аналогичные изменения могут возникать при «запаивании» (облитерации) синусов фиброзной тканью, однако в этом случае верхняя граница затемнения в синусе не «вогнутая», а почти горизонтальная; кроме этого на снимке видны плевральные наслоения выше синуса (вдоль боковой стенки грудной клетки). В случае возникновения сомнений при постановке диагноза, назначается ультразвуковое исследование (УЗИ) плевральных полостей (таким образом можно дифференцировать небольшие объемы выпота в синусах и спайки).
Рентгенограмма, выполненная в прямой проекции, позволяет определить выпот, объем которого составляет примерно 200-500 мл. Снимок в боковой проекции позволяет определить выпот объемом примерно 150 мл.
Содержимое в плевральной полости характеризуют следующим образом:
Рисунок 3. Двусторонний малый гидроторакс (при сердечной недостаточности). А – помимо двустороннего плеврального выпота определяются признаки венозного застоя в малом круге кровообращения (усиление сосудистого рисунка легочного поля). Б – рентгенограмма, выполненная после курса лечения: отмечается положительная динамика – признаки венозного застоя в МКК и выпот в плевральных полостях не определяется

Рисунок 4. Средний (А) и большой (Б) гидроторакс (схематическое изображение). Л – лопатка

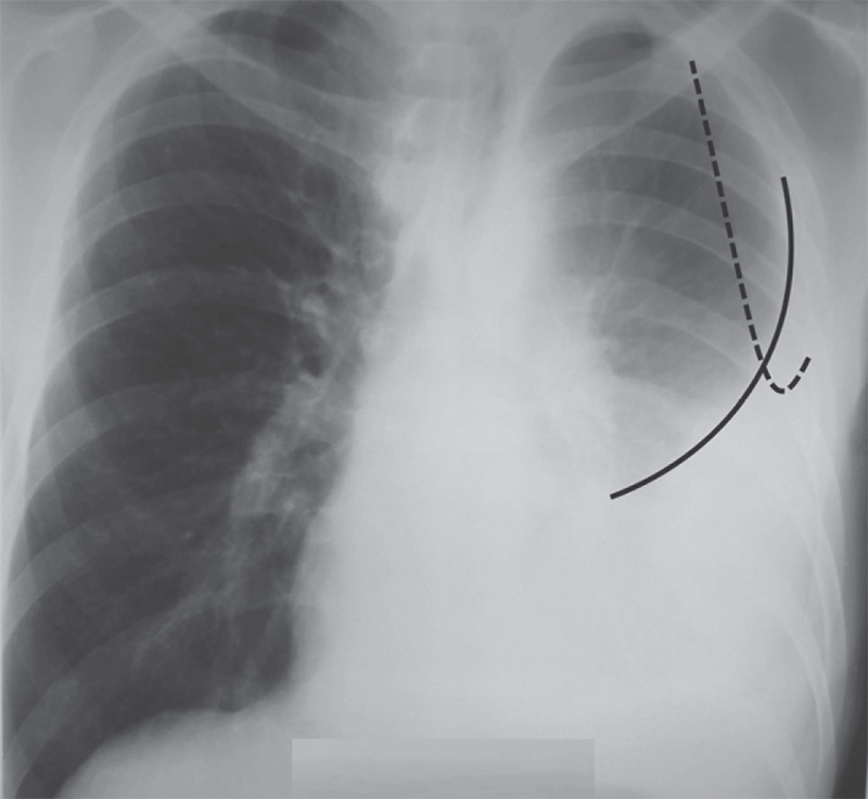
Рисунок 5. Большой гидроторакс слева. Определяется верхняя граница плеврального выпота (см сплошную линию). Штриховой линией обозначен контур лопатки
Кроме этого, ориентируясь на задние отрезки ребер по подмышечной линии (на рентгенограмме определяются примерно в области наружных отделов ребер; в месте «перекрестка» теней передних и задних отрезков ребер), можно обозначить уровень верхней границы выпота. В этом случае малый гидроторакс не достигает заднего отрезка VII ребра; средний гидроторакс – граница выпота определяется между задними отрезками V-VII ребер; большой гидроторакс – граница содержимого определяется выше заднего отрезка V ребра (рисунок 6).

Рисунок 6. Малый (а), средний (б) и большой (в) гидроторакс (схематическое изображение). Задние отрезки ребер обозначены цифрами. Штриховая линия обозначает уровни задних отрезков по подмышечной линии
В прошлом определение верхней границы выпота по задним отрезкам ребер имело большое значение при выборе места проведения плевральной пункции. В наши дни определить уровень содержимого для проведения плевральной пункции можно с помощью УЗИ плевральной полости. По передним отрезкам ребер обозначать границу выпота принято в том случае, если содержимое в плевральной полости локализовано преимущественно вдоль передней стенки грудной клетки (определяется на рентгенограмме в боковой проекции), как правило это относится к осумкованным выпотам (см статью «Рентгенография: Междолевые и Осумкованные выпоты»).
Иногда жидкость в плевральной полости может накапливаться под основанием легкого (над диафрагмой), а не в области синусов. В таком случае, при правостороннем гидротораксе рентгенологическая картина похожа на высокое расположение купола диафрагмы (см рисунок 7); а в случае развития наддиафрагмального гидроторакса слева, увеличивается расстояние от основания легкого до газового пузыря желудка (в норме не превышает 2 см). В прошлом подобные скопления жидкости определяли путем проведения латерографии (пучок рентгеновского излучения направляется горизонтально), сегодня при подозрении на наддиафрагмальный гидроторакс проводят УЗИ плевральный полостей. Отметим, что выпот в плевральной полости может распространяться на междолевые щели (см статью «Рентгенография: Междолевые и Осумкованные выпоты»).
Рисунок 7. Наддиафрагмальный выпот справа (при сердечной недостаточности). А – рентгенограмма в прямой проекции. Б – рентгенограмма в правой боковой проекции. По снимку можно предположить высокое расположение диафрагмы (см стрелки). Определяются признаки венозного застоя в малом круге кровообращения. Ультразвуковое исследование плевральных полостей показало значительный уровень выпота в плевральной полости справа. В – рентгенограмма, выполненная после проведения плевральной пункции справа. Диафрагма справа расположена на обычном уровне
При проведении рентгенографии в положении пациента лежа, наблюдается другая рентгенологическая картина – отмечается снижение прозрачности легочного поля, на фоне которого определяется легочный рисунок (см рисунок 8), что обусловлено более равномерным распределением жидкости вдоль легкого в горизонтальном положении. При этом синусы могут визуализироваться как свободные или затененные, а купол диафрагмы становится нечетким. На рентгенограмме, выполненной в положении пациента лежа, можно обнаружить плевральный выпот в количестве 500-1000 мл, а небольшие объемы жидкости в плевральной полости могут не определяться.
Рисунок 8. Гидроторакс слева (рентгенограмма, выполненная в положении пациента лежа): отмечается снижение прозрачности левого легочного поля, обусловленное наличием выпота в плевральной полости (на этом фоне визуализируется легочный рисунок). В проекции трахеи определяется тень трахеостомической трубки
В случае накопления в плевральной полости большого количества жидкости, затемнение становится высокоинтенсивным, легочный рисунок не определяется (рисунок 9).

Рисунок 9. Правосторонний гидроторакс (рентгенограмма, выполненная в положении пациента лежа): отмечается снижение прозрачности правого легочного поля, обусловленное наличием выпота в плевральной полости. В среднем и верхнем отделах легочного поля можно определить легочный рисунок, в нижнем отделе легочного поля отмечается высокоинтенсивное снижение прозрачности. В нижнем отделе определяется относительно четкая граница выпота (см стрелка), синус справа не дифференцируется
Необходимо помнить, что одностороннее снижении прозрачности легочного поле может быть обусловлено несимметричной укладкой больного при проведении рентгенографии (особенно в условиях отделения интенсивной терапии). Нужно всегда брать во внимание симметричность укладки больного, ориентируясь на расстояния от стернальных концов ключиц до остистых отростков грудных позвонков (это расстояние должно быть примерно одинаковым с обеих сторон). В случае ассиметричной укладки снижение прозрачности определяется не только в легочном поле, также повышается интенсивность затенения мягки тканей на этой же стороне. В случае возникновения сомнения при постановке диагноза, следует выполнить УЗИ, что позволит определить наличие жидкости в плевральной полости, даже в положении лежа.
Также надо отметить, что невозможно оценить состояние легкого на фоне большого количества выпота в плевральной полости. В таких случаях пациенту показано повторное проведение рентгенографии после эвакуации выпота. Но даже после проведения плевральной пункции остаточный выпот и плевральные наслоения не дают возможности точно интерпретировать рентгенологическую картину – при этом рекомендовано проведение РКТ (рентгеновская компьютерная томография).
Ателектаз – спадение альвеол, при котором поражается легкое (или часть легкого: сегмент,...
Хроническая обструктивная болезнь легких (ХОБЛ) – хроническая патология, обусловленная...
В норме рентгенологическая картина легочного рисунка представляет собой изображение...
Несмотря на то, что с помощью рентгенограммы в настоящее время невозможно точно определить...
Состояния, при которых на рентгенографии обнаруживается картина тотального (субтотального)...
анализы, БАД, биологическая медицина, витамины, гастроэнтерология, гигиена, гинекология, гомеопатия, дерматология, диагностика, диетология, заболевания, иммунология, инфекционные заболевания, инфекция, исследования, кардиология, кожа, косметика, красота, лекарственные растения, лечение, лицо, неврология, обследование, оздоровление, онкология, ортопедия, педиатрия, питание, пищеварительная система, поведение, похудение, препараты, продукты, профилактика, процедура, психология, пульмонология, рак, реабилитация, сердечно-сосудистая система, ССС, тело, терапия, травматология, уход, фитотерапия, хирургия, эндокринология
Показать все теги

Комменатрии к новости