Туберкулез легких: Профилактика и Скрининг
Вакцинация БЦЖ (Бацилла Кальмета—Герена, от франц. Bacillus Calmette—Guerin...
Медицина / Диагностика / Диагностика (статья)
ТуберкулезОписание туберкулеза легких может быть разным, так как пациенты обращаются на разных стадиях заболевания и каждый из них имеет свои особенности (например, ВИЧ-инфицированные лица), что сильно влияет на клиническую картину. К классическим проявлениям туберкулеза легких относятся гемоптизис (кровохарканье), повышенное ночное потоотделение, потеря массы тела и др. Однако, перечисленные симптомы могут и отсутствовать.
Особенности, связанные с ошибочным диагнозом туберкулеза обусловлены недостаточным проявлением легочных симптомов, отрицательными результатами анализов мокроты на кислотоустойчивость бактерий, отрицательной туберкулиновой кожной пробой (реакция Манту, проба Пирке), атипичными проявлениями на рентгенограмме органов грудной клетки (см статью «Рентгенография: Туберкулез легких»), а также другими сопутствующими заболеваниями, способных влиять на иммунный статус пациента. Внимательное отношение к эпидемиологическим факторам риска (см статью «Туберкулез легких») помогают снизить порог рассмотрения туберкулеза как части дифференциальной диагностики.
В некоторых случаях диагноз «туберкулез» очевиден, однако часто диагностика этой патологии представляет собой сложный процесс. Высокий уровень подозрения туберкулеза – важный фактор при оценке состояния пациента с учетом группы риска. Подтверждение диагноза требует высеивания палочки Коха (Mycobacterium tuberculosis). Задержка постановки диагноза и начала лечения являются причиной распространения патологии и повышения смертности.
При высокой степени вероятности наличия туберкулеза (без постановки окончательного диагноза), пациента необходимо изолировать (в домашних условиях или в стационаре, в палате с отрицательным давлением) на срок от 5 до 14 дней лечения. Отметим, что при подозрении на туберкулез, подтверждении диагноза и активной форме туберкулеза, врач обязан оповестить местные органы здравоохранения.
Вероятность возникновения туберкулеза должна быть рассмотрена у любого лица при наличии факторов риска контакта с источником заболевания, в случае наличия соответствующих симптомов (например, плохое самочувствие, повышение температуры тела, боли в области грудной клетки (плевральная боль), кашель (длительностью более 14 дней), повышенное ночное потоотделение, резкая потеря массы тела, психологические признаки, симптом «барабанных палочек» (см статью «Осмотр ногтей»), узловая эритема, а также патологические изменения на рентгенограмме органов грудной клетки. Наличие инфильтратов в верхних частях легких являются особенностью заболевания, которое часто отмечается среди детей, ВИЧ-инфицированных пациентов, а также лиц со скомпрометированным иммунным статусом (в том числе больных сахарным диабетом).
Обследование пациентов с подозрением на активную форму туберкулеза включают рентгенологическое исследование органов грудной клетки, анализ трех образцов мокроты на кислотоустойчивость бактерий, применение метода амплификации нуклеиновых кислот, общий анализ крови и анализ на содержание электролитов в крови. Если пациент не способен самостоятельно предоставить мокроту для анализа, необходимо провести соответствующую стимуляцию (придерживаясь надлежащих мер безопасности с целью предупреждения передачи инфекции) или получить образец с помощью желудочного аспирата. Окрашивание мазков из образцов мокроты позволяет определить кислотоустойчивость бактерий – это исследование является основным бактериологическим доказательством наличия инфекции и позволяет оценить степень заразности пациента. То есть, если исследование мазка определяет наличие ксилотоустойчивых бактерий, пациента необходимо изолировать и начать лечение.

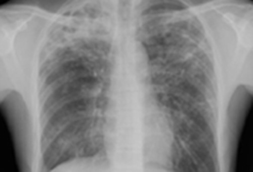
Туберкулез легких с кавернами

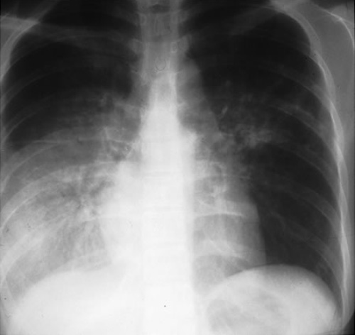
Затемнение в правой нижней части у больного с туберкулезом легких и сахарным диабетом

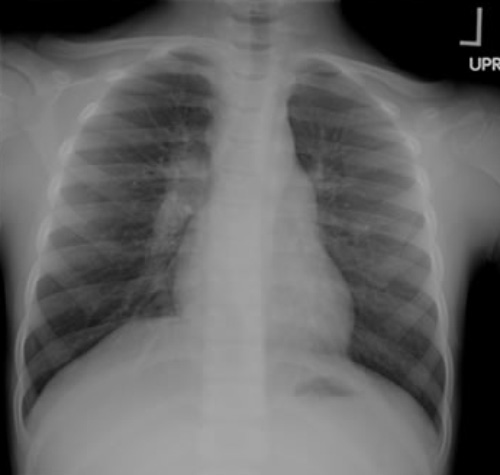
Правосторонняя прикорневая аденопатия у ребенка
Бактериологический посев мокроты проводят для подтверждения диагноза «туберкулез». Этот метод является более чувствительным, чем окрашивание мазков (см статью «Специфичность и чувствительность анализа»), и позволяет идентифицировать вид микобактерий с помощью методов гибридизации или амплификации нуклеиновых кислот, а также определять чувствительность инфекции к лекарственным препаратам. Системы бульонных культур дают возможность получить быстрый рост и обнаружить инфекцию уже на 1-3 неделе исследования, в отличие от 4-8-недельного роста культуры на твердой питательной среде.
Метод амплификации нуклеиновых кислот при диагностике туберкулеза следует проводить как минимум с одним респираторным образцом. Этот метод позволяет ускорить диагностику в случае получения отрицательного результата исследования мазков, а также при дифференциальной диагностике нетуберкулезных микобактерий. Генотипирование следует рассматривать в случае вспышки заболевания туберкулезом с целью определения семейства штаммов инфекции.
Компьютерная томография органов грудной клетки при диагностике туберкулеза, как правило, не назначается. Однако этот метод диагностики применяют с целью исключения других заболеваний (например, рака легких).
Всем пациентам рекомендуется обследоваться на предмет наличия ВИЧ в течение 2 месяцев с момента постановки диагноза «туберкулез».
Врожденный туберкулез, возникающий путем трансплацентарного распространения инфекции или заглатывания ребенком инфицированной амниотической жидкости, встречается очень редко. К основным диагностическим критериям врожденного туберкулеза относятся:
Примерно у 40-50% больных туберкулезом определяются отрицательные результаты анализа мазков на кислотоустойчивость бактерий, у 15-20% - отрицательные результаты бакпосева. Метод амплификации нуклеиновых кислот культур мокроты также может быть полезным в таких ситуациях. Проведение бронхоскопии назначают для получения образцов бронхоальвеолярных смывов или для проведения трахеобронхиальной биопсии, а также больным, которые не могут предоставить необходимый образец мокроты (у маленьких детей на исследования можно брать желудочный аспират).
Пациентам с высокой клинической настороженностью к туберкулезу, особенно при положительной туберкулиновой кожной пробе (реакция в виде уплотнения ≥ 5 мм) можно назначать эмпирическое лечение до лабораторного подтверждения диагноза.
Клиническое и рентгенологическое улучшение при соответствующем противотуберкулезном лечении подтверждают диагноз.
У пациентов с низкой вероятностью наличия активного туберкулеза и отрицательными результатами анализа мазков на кислотоустойчивость бактерий перед началом лечения следует получить результаты бакпосева на кислотоустойчивые бактерии или провести повторное рентгенологическое исследование органов грудной клетки.
Пациенты с отрицательными результатами анализа мазков могут быть заразными, хотя в таких случаях риск передачи инфекции ниже, чем при положительных результатах. Если настороженность в отношении туберкулеза высокая, необходимо рассматривать целесообразность начала противотуберкулезной терапии до момента получения лабораторного подтверждения.
Устойчивость (резистентность) инфекции к препаратам представляет серьезную проблему во всем мире. Первичное обследование проводят до назначения противотуберкулезных препаратов первой линии (Изониазид, Рифампицин, Пиразинамид, Этамбутол). Если подтверждается устойчивость инфекции к Изониазиду или Рифампицину, необходимо провести исследование на чувствительность к препаратам второй линии.
Исследование на предмет латентного туберкулеза у лиц, которые контактировали с палочкой Коха, но не имеют признаков активного туберкулеза, основаны на туберкулиновой кожной пробе (реакции Манту или пробе Пирке) или количественном определении продукции γ-интерферона. Эти два исследования являются показателем ответа клеточного иммунитета (T-клеток) на туберкулезный антиген. Нужно отметить, что показатель ложноотрицательных результатов туберкулиновой кожной пробы и количественное определение продукции γ-интерферона у больных с активной формой туберкулеза легких составляет примерно 20-25%, поэтому эти обследования не используют в качестве исключения диагноза «активный туберкулез».
Интерпретация туберкулиновой кожной пробы зависит от индивидуальных особенностей пациента, включая активность и состояние иммунитета. Так, у пациентов с нормальной иммунной функцией и отсутствием факторов риска, уплотнение, диаметром ≥ 15 мм, следует расценивать как положительный результат, но показатель до 15 мм используют как фактор исключения у лиц с факторами риска.
Количественное определение продукции γ-интерферона может быть использовано вместо туберкулиновой кожной пробы во всех случаях, когда последняя использовалась при диагностике латентной формы туберкулеза. Показателю количественного определения продукции γ-интерферона следует отдавать преимущество у вакцинированных БЦЖ лиц (в этом случае исследование обладает большей специфичностью). Кроме этого, определение продукции γ-интерферона имеет преимущество при обследовании группы пациентов, которые с малой долей вероятности вернуться для оценки результатов туберкулиновой кожной пробы.
Целенаправленное обследование на латентный туберкулез рекомендовано в качестве составляющего элемента стратегического контроля и мер, направленных на снижение заболеваемости туберкулезом. К группе высокого риска относятся ВИЧ-инфицированные лица, инъекционные наркоманы, работники здравоохранения, которые контактируют с популяцией высокого риска и лицами с подтвержденным туберкулезом легких. Кроме этого, обследование на латентную туберкулезную инфекцию должно проводится перед назначением лечения антагонистами TNF-α (Tumor Necrosis Factor – Alpha).
|
Контакт с источником инфекции |
Контакт с источником инфекции обязателен, однако таковой не является достаточным фактором для возникновения заболевания. Среди тесных контактов примерно 1/3 приводит к латентному туберкулезу и примерно у 1% развивается активная форма туберкулеза. Недавно инфицированные лица (например, с трансформацией новой туберкулиновой кожной пробы) относятся к группе высокого риска развития активной формы заболевания в течение 2 лет с момента инфицирования. |
|
Рождение в эндемических районах |
По данным государственных органов США, лица, иммигрировавшие в последние несколько лет из регионов высокого риска (Азия, Латинская Америка, Африка), относятся к группе высокого риска развития туберкулеза. |
|
ВИЧ-инфицированные лица |
ВИЧ-инфекция значительно повышает риск прогрессирования как первичного заболевания, так и реактивации латентного туберкулеза. Риск реактивации инфекции у ВИЧ-положительного пациента с латентным туберкулезом составляет примерно 10% в год, в отличие от 10% пожизненного риска у ВИЧ-отрицательных лиц. Также специалисты установили факт того, что активная форма туберкулеза повышает вирусную нагрузку при ВИЧ. |
|
Иммуносупрессивные препараты |
Прием иммунодепрессантов значительно повышает риск развития туберкулеза, особенно кортикостероидов и антагонистов TNF-α. При лечении стероидными средствами риск повышается прямо пропорционально повышению дозировки препарата (например, по Преднизолону показатель относительного риска составляет 7,7 при увеличении суточной дозы на 15 мг) и изменяется в зависимости от первичного патологического состояния. Больший риск от применения Инфликсимаба, чем от применения Этанерцепта. Также нужно отметить значительный риск (в 20-74 раза!!!) после трансплантации органов. |
|
Силикоз |
Риск развития туберкулеза при силикозе в 30 раз выше по сравнению с контрольной группой (также см статью «Рентгенография: Пневмокониоз»). |
|
Апикальный фиброз |
Пациенты, у которых на рентгенограмме органов грудной клетки отмечаются фиброзные затемнения, обусловленые ранее нелеченному туберкулезу легких (также см статью «Рентгенография: Фиброзные утолщения плевры») имеют больший риск развития активной формы туберкулеза (показатель расчета риска составляет более 0,3% в год, в зависимости от размеров рентгенологических отклонений). |
|
Злокачественные патологии |
Риск представляют гемобластозы и злокачественные патологии в области головы и шеи (по данным органов здравоохранения США, пациенты, рожденные в США, с другими солидными опухолями не относятся к группе большого риска прогрессирования активной формы туберкулеза). |
|
Патологии почек в терминальной стадии |
К группе высокого риска относятся больные на гемодиализе |
|
Внутривенное применение наркотиков |
Инъекционные наркоманы относятся к группе высокого риска (даже ВИЧ-отрицательные лица) |
|
Алкоголизм |
Этот фактор нельзя отделять от других факторов риска |
|
Нарушения питания |
К группе риска относятся лица с низкой массой тела (< 90% от идеальной массы тела; см статью «Расчет Массы Тела по Девину (Devine)»), больных с целиакией и пациенты с гастрэктомией в анамнезе. Также к группе риска относятся больные с еюноилеальным анастомозом |
|
Сахарный диабет |
При неконтролируемом сахарном диабете показатель относительного риска от 2 до 4. |
|
Скопление лиц, относящихся к группе риска |
Лица, пребывающие или работающие в исправительных учреждениях, приютах для бездомных или домах престарелых, относятся к группе риска |
|
Низкое социально-экономическое состояния, а также лица афроамериканского, латиноамериканского происхождения |
Мультифакторные модели демонстрируют, что как минимум 50% риска, отнесенного к этническому происхождению (афроамериканцы, латиноамериканцы и др), обусловлено низким социально-экономическим состоянием. |
|
Возраст |
К группе риска относятся лица раннего возраста (до 5 лет) и пожилые люди |
|
Курение |
Специалисты указывают на связь между активным или пассивным курением и латентной формой туберкулеза, активной формой туберкулеза и отсутствием эффекта лечения туберкулеза. |
|
Группа риска |
К группе риска развития туберкулеза относятся лица, контактирующие с источником инфекции, иммуносупрессией, силикозом, онкологической патологией, рожденные в эндемических регионах, ВИЧ-инфицированные |
|
Кашель |
Длительность более 14 дней, сначала сухой, потом продуктивный. Исследования в амбулаторных условиях показали, что примерно у 50% пациентов отмечался кашель более 14 дней |
|
Повышение температуры тела |
В большинстве случаев при туберкулезе отмечается незначительное повышение температуры тела. Примерно у 20% больных температура тела остается в норме. У пожилых пациентов отмечается менее значительное повышение температуры |
|
Анорексия |
Может отмечаться у пациентов с характерной клинической картиной |
|
Потеря массы тела |
Может отмечаться у пациентов с характерной клинической картиной |
|
Общее ухудшение самочувствия |
Может отмечаться ретроспективно, после курса лечения |
|
Усиленное ночное потоотделение |
Если возникает, в большинстве случаев отмечается профузное потоотделение |
|
Боль в области грудной клетки (плевральная боль) |
Может возникать подозрение на вовлечение плевры в патологический процесс |
|
Гемоптизис (кровохарканье) |
Возникает менее чем у 10% больных туберкулезом (как правило, при запущенном процессе). Также гемоптизис может быть обусловлен разного рода осложнениями (например, бронхоэктазом; см статью «Рентгенография: Бронхоэктаз») и не отображать активный патологический процесс |
|
Психологические нарушения |
Могут включать депрессию, гипоманию и др |
|
Аускультативные нарушения (патологические изменения дыхательных шумов) |
К возможным изменениям относятся крепитация, бронхиальное дыхание, амфорическое дыхание (глухие дыхательные шумы, которые слышны на расстоянии, аускультируются над кавернами) (также см статью «Аускультация Легких»). Отметим, что при легком или умеренном течении заболевания аускультация легких может не обнаруживать каких-либо нарушений. |
|
Одышка |
Одышка, обусловленная распространенной деструкцией легких или выпотом, возникает на поздних стадиях заболевания (см статьи «Рентгенография: Инфекционная Деструкция Легких» и «Рентгенография: Междолевые и Осумкованные выпоты») |
|
Симптом барабанных палочек (барабанные пальцы, пальцы Гиппократа) |
Возникает только при длительном течении заболевания (см статью «Органы Дыхания: Оценка Общего Осмотра») |
|
Узловая эритема |
Болезненные, приподнятые над кожей эритематозные узлы над претибиальная областью |
Бессимптомный туберкулез встречается очень редко. При этом у больного не обнаруживаются какие-либо симптомы или клинические признаки заболевания. Патология обнаруживается случайно или при скрининге (рутинном обследовании).
|
Исследование |
Результат |
|
Рентгенография грудной клетки - Исследование первой линии при диагностике туберкулеза - Почти всегда отмечаются патологические изменения на рентгенограмме у иммуноскомпроментированных лиц. К типичным изменениям относятся фиброзно-очаговые затемнения в верхних долях с кавернами или без них - Нетипичный легочный рисунок может сопровождаться затемнением в средний или нижних долях, прикорневой или паратрахеальной лимфаденопатией или плевральным выпотом - Специалисты утверждают, что атипичные изменения на рентгенограмме являются скорее следствием иммуносупрессии, чем первичного туберкулеза - ВИЧ статус обуславливает лимфаденопатию, выпот, вовлечение нижних долей легких и милиарный рисунок; при этом каверны обнаруживаются реже. Отметим, что у больных с прогрессирующей ВИЧ инфекцией рентгенограмма может быть нормальной |
- Характерные отклонения при туберкулезе - Нехарактерные отклонения при туберкулезе - Норма |
|
Анализ мазка мокроты на кислотоустойчивые бактерии - Образец мокроты должен быть получен при самостоятельном откашливании или путем стимуляции. Необходимо собрать 2-3 образца (промежуток времени между сбором мокроты должен составлять минимум 8 часов; среди взятых образцов должна быть утренняя порция, к которой легче всего обнаружить палочку Коха) - В лаборатории исследуют наличие кислотоустойчивых бактерий (краситель остается даже после экспозиции в кислой среде), что соответствует Mycobacterium tuberculosis. Другие микробы, особенно нетуберкулезная инфекция (например, Микобактерия кансаси [Mycobacterium kansasii] или Mycobacterium avium) могут быть штаммами, положительными при окрашивании на кислотоустойчивые бактерии. Соответственно положительный результат исследования не является специфичным в популяциях с низким показателем распространения туберкулеза - При положительном результате окрашивания на кислотоустойчивые бактерии, результат оценивают по шкале от «1+» до «4+» (зависит от количества обнаруженных микроорганизмов). Положительный результат мазка и его оценка помогает определить уровень заразности и туберкулезную нагрузку (например, в США чувствительность этого анализа составляет 50-60%). |
Положительный |
|
Бактериологический посев мокроты - Является наиболее чувствительным и специфическим анализом. Назначается всегда, так как позволяет точно идентифицировать инфекцию и определить ее чувствительность к лекарственным препаратам - Рост на твердой питательной среде занимает 4-8 недель, в жидкой – 1-3 недели. Положительный рост на твердой среде описывается по количественной шкале (от «1+» до «4+») - На протяжении курса лечения бакпосев назначают каждый месяц, пока 2 последовательных результата не будут отрицательными |
- Положительный - Нет роста - Другие микобактерии |
|
Общий анализ крови - Лейкоцитоз (без смещения влево) и/или анемия определяются примерно у 10-20% больных туберкулезом. К другим распространенным отклонениям показателей общего анализа крови при туберкулезе относятся повышение уровня моноцитов и эозинофилов. Панцитопения может наблюдаться в случае диссеминации инфекции |
Повышение уровня лейкоцитов, низкий гемоглобин |
|
Метод амплификации нуклеиновых кислот - Методы амплификации ДНК или РНК для быстрой диагностики. Можно исследовать мокроты или другие стерильные физиологические жидкости. Результат анализа доступен менее чем через 8 часов - Полезное исследование при положительных мазках для подтверждения идентификации палочки Коха (специфичность 99%, чувствительность 95%) и при отрицательных мазках для быстрой диагностики (специфичность 95%, чувствительность 50%) |
Положительный на Mycobacterium tuberculosis |
|
Исследование |
Результат |
|
Желудочный аспират - Исследуют у пациентов, которые не могут предоставить образец мокроты (например, дети младшего возраста). Суть исследования основана на том, что бронхиальный секрет в течение ночи накапливается в желудке. Утром, через 8-10 часов после последнего приема пищи, в желудок через назогастральный зонд вводят 10-20 мл стерильной воды, после чего производят аспирацию в объеме 50 мл, который после нейтрализации отправляют на бактериологический посев - Показатель чувствительности культурального исследования желудочного аспирата на кислотоустойчивые бактерии у детей составляет примерно 40% |
Положительный |
|
Бронхоскопия и Бронхоальвеолярный лаваж - Исследования показывают, что анализ биологического материала, полученного путем бронхоальвеолярного лаважа и индукции мокроты, обладают одинаковой чувствительностью. Отметим, что бронхоскопию целесообразно проводить при необходимости диагностики других патологий или у пациентов с подозрением на туберкулез легких после неэффективности других методов диагностики - Больше всего выделяется мокроты при сборе первой откашлянной порции после бронхоскопии - Трансбронхиальная биопсия легких целесообразна при диагностике милиарного туберкулеза, так как позволяет обнаружить гранулемы и/или высеять палочку Коха |
Положительный |
|
Туберкулиновая кожная проба - Отрицательная туберкулиновая кожная проба не дает основания исключать активную форму туберкулеза, так как ложноотрицательные результаты получают 20-25% пациентов с активным туберкулезом. Чувствительность этого исследования при диагностике активного туберкулеза составляет примерно 75-80%, также туберкулиновая кожная проба не позволяет дифференцировать латентный туберкулез от активной формы, что значительно ограничивает диагностическую ценность - Для проведения исследования используют сухой туберкулин, очищенный белковый дериват для оценки реакций гиперчувствительности замедленного типа для диагностики предварительного контакта с источником инфекции. Для оценки результата исследования берется размер уплотнения (в зависимости от факторов риска у конкретного пациента) - Иммунный ответ при активном туберкулезе ослаблен, особенно у лиц старшего возраста, а также при прогрессирующем патологическом процессе и у лиц с нарушением питания |
Уплотнение в миллиметрах: - 0-4 мм – как правило, это отрицательный результат, лечение не назначают (в некоторых случаях может интерпретироваться у детей в возрасте до 5 лет, относящихся к группе риска, как положительный результат) - ≥ 5 мм – положительный результат у ВИЧ-инфицированных лиц, у лиц, которые контактировали с источником инфекции в течение последних 2-х лет, а также при обнаружении фиброзных затемнений на рентгенограмме легких (указывает на выздоровление при отсутствии лечения), у выраженных иммуносупрессивных пациентов (например, после трансплантации органов; прием антагонистов TNF-α, преднизолона (≥ 15 мг/день) в течение 30 дней и более - ≥ 10 мм – положительный результат в случае трансформации туберкулиновой кожной пробы на протяжение 2 лет, медицинских или социальных условий, связанных с риском прогрессирования инфекции в активную форму (например, сахарный диабет, нарушения питания, курение, алкоголизм, лейкемия, лимфома, злокачественные патологии в области головы и шеи, рак легких, хроническая почечная недостаточность, у инъекционных наркоманов), эмигрантов из соответствующих регионов, жителей и работников общественных заведений высокого риска (тюрьмы, приюты, дома престарелых и др), у персонала туберкулезных лабораторий - ≥ 15 мм – положительный результат, даже у лиц, не относящихся к группе риска |
|
Количественное определение продукции γ-интерферона - Позволяет определить иммунный ответ T-клеток на туберкулиновый антиген при диагностике предварительного контакта с источником инфекции - Это исследование, аналогично с туберкулиновой кожной пробой, обладает низкой чувствительностью при диагностике активного туберкулеза с частотой ложноотрицательных результатов 20-25% у пациентов с активной формой туберкулеза. Анализ не позволяет дифференцировать латентную форму от активной, что также ограничивает его диагностическую ценность. Чувствительность анализа QuantiFERON (Квантиферон) при диагностике активного туберкулеза составляет 75% |
Положительный |
|
Эмпирическое лечение - Диагностика активной формы туберкулеза может основываться на истории болезни пациента (в том числе факторы риска и патологические изменения на рентгенограмме) - Другие диагностические данные, полученные путем бронхоскопии и бронхоальвеолярного лаважа, должны рассматриваться при недостаточно высокой вероятности наличия туберкулеза или при дифференциальной диагностике, а также при сопутствующей патологии, которые влияют на особенности клинического ведения больного - При высокой вероятности наличия туберкулеза назначают эмпирическую противотуберкулезную терапию по стандартной схеме (Изониазид, Рифампицин, Пиразинамид, Этамбутол) после сбора соответствующих образцов мокроты - В случае отрицательных результатов бакпосевов при проведении эмпирической терапии клиническая или рентгенологическая картина может быть переоценена через 2 месяца лечения и продлен курс приема Изониазида и Рифампицина минимум еще на 2 месяца (в общем – 4 месяца лечения), если отмечаются изменения на рентгенограмме. Если через 2 месяца эмпирического лечения не отмечается каких-либо изменений, прием противотуберкулезных средств нужно отменить и определять другой диагноз |
Клинический ответ |
|
Исследования на чувствительность - Проводят на начальных изолятах - По данным из США, примерно 9% новых случаев и 16% случаев с туберкулезом в анамнезе являются резистентными к Изониазиду; около 1% первичных случаев сопровождается множественной медикаментозной резистентностью (отсутствует туберкулез в анамнезе и резистентность определяется как минимум к Изониазиду и Рифампицину) |
Чувствительность к лекарственным препаратам |
|
Генотипирование - Эффективно при эпидемиологических исследованиях, изучении вспышек заболевания, контактов и перекрестного лабораторного заражения. По некоторым данным, некоторые «семейства» штаммов палочки Коха обладают повышенной вирулентностью - Сегодня многие лаборатории в качестве инициальной техники генотипирования используют сполиготипирование (метод ПЦР для одновременного обнаружения и типирования штаммов палочки Коха) и/или технику MIRU-VNTR типирование |
Генотип патогена |
|
Анализ на ВИЧ - Всем пациентам с туберкулезом рекомендуется назначать анализ на ВИЧ-инфекцию в течение 2-х месяцев с момента постановки диагноза «туберкулез». Отметим, что на начальных стадиях ВИЧ-инфекции туберкулез легких является СПИД-индикаторным диагнозом - Наличие ВИЧ может влиять на противотуберкулезную терапию. Лечение ВИЧ-инфекции может способствовать более быстрой регрессии туберкулеза |
Положительный Отрицательный |
|
Компьютерная томография органов грудной клетки - КТ не относится к стандартным исследованиям при диагностике туберкулеза, однако это исследование позволяет обнаружить другие патологии. Может определяться аналогичная картина патологических изменений, который был обнаружен на простом рентгенологическом исследовании. КТ позволяет обнаружить симптом «дерево в почках» (Tree-in-bud sign). Нужно отметить, что каверны, обнаруживаемые при КТ и не выявленные на рентгенографии, не дают основания ставить диагноз «кавернозный туберкулез» |
Характерные патологические изменения |
|
Анализ Xpert MTB/RIF (обнаружение микобактерий и чувствительность к Рифампицину) - Автоматический метод амплификации нуклеиновых кислот для Mycobacterium tuberculosis и определения резистентности к Рифампицину. Позволяет получить результат через 2 часа. Используют в регионах с высокой распространенность туберкулеза и высоким показателем медикаментозной резистентности |
Положительный |
|
Патология |
Дифференциальные признаки (симптомы) |
Дифференциальная диагностика |
|
Внегоспитальная пневмония |
Признаки частичной или атипичной пневмонии (в том числе одышка и крепитация). Как правило, длительность проявления симптоматической картины меньше, чем при туберкулезе. В сомнительных случаях сначала рассматривают назначение лечения бактериальной пневмонии (без применения фторхинолонов или других антибиотиков с выраженным противотуберкулезным действием) и оценивают клинический ответ (также см статьи «Инфекции органов дыхания. Ошибки при назначении антибиотиков» и «Рентгенография: Пневмония») |
Анализ мокроты с наличием бактерий, не характерных для физиологической микрофлоры |
|
Рак легких |
Туберкулез и рак легких могут протекать одновременно. Злокачественная патология может вызывать эрозию гранулем. Если при наличии кислотоустойчивых бактерий в мокроте, признаки заболевания указывают на рак (например, неоднородные полости) или на фоне противотуберкулезной терапии отмечаются прогрессирующие патологические изменения, необходимо провести дополнительную диагностику (также см статьи «Рентгенография: Рак легкого» и «Рентгенография: Метастазы в легких») |
Цитологический анализ мокроты Компьютерная томография органов грудной клетки Гистологическое исследование биоптата |
|
Нетуберкулезные микобактерии |
Каверны (полостные образования в легких) могут быть обусловлены группами Mycobacterium avium complex и Mycobacterium kansasii. На наличие туберкулеза могут указывать факторы риска |
При положительном результате анализа на наличие кислотоустойчивых бактерий, для идентификации инфекции назначают анализ ДНК. Аналогичным образом метод амплификации нуклеиновых кислот (отрицательный при положительных результатах анализа мокроты; чувствительность 99%) позволяет предположить отсутствие наличия палочки Коха. Отметим, что нетуберкулезные микобактерии довольно часто обнаруживаются у больных с сопутствующими патологиями легких |
|
Грибковая инфекция |
К потенциальным инфекционным грибковым заболеваниям легких (микозам) относятся гистоплазмоз (болезнь Дарлинга), кокцидиомикоз и бластомикоз (североамериканский бластомикоз, болезнь Гилкриста, бластомикоз Гилкриста) (см статью «Рентгенография: Грибковые Инфекции Легких»). |
Положительный результат бакпосева мокроты и высокий титр сывороточных антител указывают на наличие грибковой инфекции (при этом результат бакпосева на Mycobacterium kansasii – отрицательный) |
|
Саркоидоз |
У пациента могут обнаруживаться разные признаки саркоидоза (артралгия, внутригрудная лимфаденопатия) (см статью «Рентгенография: Саркоидоз») |
|
34-летний мужчина, родом из Филиппин, обратился к врачу с жалобами на сухой кашель, который длится в течение 7 недель. На протяжении этого времени отмечался плохой аппетит и снижение массы тела (похудение отмечал по одежде). Иногда повышалась температура тела, при этом пациент температуру не измерял, а оценивал по субъективным ощущениям. Одышка и кровохарканье отсутствуют. Заболевание туберкулезом или контакт с больным туберкулезом пациент отрицает. Объективный осмотр показывает, что пациент худой, уставший на вид, в остальном без каких-либо особенностей.
Источники:
3. Loto OM, Awowole I. Tuberculosis in pregnancy: a review. J Pregnancy. 2012; 2012 : 379271
18. Wallis RS, Broder MS, Wong JY, et al. Granulomatous infections due to tumor necrosis factor blockade: correction. Clin Infect Dis. 2004; 39 : 1254-1255
19. Kamboj M, Sepkowitz KA. The risk of tuberculosis in patients with cancer. Clin Infect Dis. 2006; 42 : 1592-1595
27. Garay SM. Pulmonary tuberculosis. In: Rom WM, Garay SM, eds. Tuberculosis. 2nd ed. New York: Lippincott, Williams & Wilkins; 2003: 345-394
Вакцинация БЦЖ (Бацилла Кальмета—Герена, от франц. Bacillus Calmette—Guerin...
Туберкулез легких – инфекционное заболевание, вызываемое палочкой Коха (Mycobacterium...
Признаки и симптомы бактериального менингита зависят от возраста больного. Иногда в...
В зависимости от достоверности постановки или исключения диагноза определяется специфичность и...
Источником заболевания является больной человек. Инфекция передается воздушно-капельным,...
анализы, БАД, биологическая медицина, витамины, гастроэнтерология, гигиена, гинекология, гомеопатия, дерматология, диагностика, диетология, заболевания, иммунология, инфекционные заболевания, инфекция, исследования, кардиология, кожа, косметика, красота, лекарственные растения, лечение, лицо, неврология, обследование, оздоровление, онкология, ортопедия, педиатрия, питание, пищеварительная система, поведение, похудение, препараты, продукты, профилактика, процедура, психология, пульмонология, рак, реабилитация, сердечно-сосудистая система, ССС, тело, терапия, травматология, уход, фитотерапия, хирургия, эндокринология
Показать все теги

Комменатрии к новости