Рентгенография: Затемнения или Просветления легочного поля
Состояния, при которых на рентгенографии обнаруживается картина тотального (субтотального)...
Медицина / Диагностика / Диагностика (статья)
ПневмонияПневмония (воспаление легких) – инфекционное, как правило бактериальное, воспалительное заболевание легких. При пневмонии в патологический процесс вовлекаются преимущественно альвеолы, также может поражаться интерстициальная ткань (т.н. соединительный «каркас») легкого.
Микроорганизмы попадают в легкие, как правило, путем микроаспирации секрета ротоглотки – такой путь инфицирования характерен для внебольничной пневмонии. Массивная аспирация содержимого желудка и ротоглотки возможна при нарушении сознания. Возбудители пневмонии, которые не выделяются стандартными методами бактериологического исследования – «атипичные» возбудители (Chlamydophila pneumoniae, Mycoplasma pneumoniae, Legionella pneumophila) – проникают в легкие путем вдыхания микробного «аэрозоля». В некоторых случаях, если в организме возникает очаг инфекции (например, инфекционный эндокардит трехстворчатого клапана), микроорганизмы проникают в легкие через кровь (гематогенным путем), что приводит к развитию септической эмболии легких («септической» пневмонии).
Таким образом можно выделить следующие виды пневмонии:
Внебольничная пневмония, как правило, обусловлена пневмококковой инфекцией Streptococcus pneumoniae (около 50% случаев), на долю «атипичных» возбудителей пневмонии (Chlamydophila pneumoniae, Mycoplasma pneumoniae, Legionella pneumophila) приходится до 30% случаев, в более редких случаях возбудителями пневмонии являются Staphylococcus aureus (Золотистый стафилококк), Haemophilus influenzae (Гемофильная палочка), Klebsiella pneumoniae и др.
Внутрибольничная пневмония часто развивается у лиц пожилого возраста и пациентов, находящихся в отделении интенсивной терапии (особенно у тех, кто подключен к искусственной вентиляции легких). Развитие внутрибольничной пневмонии тесно связано со следующими механизмами:
Предрасполагающими факторами развития внутрибольничной пневмонии являются:
Возникновению внутрибольничной пневмонии также могут способствовать лекарственные препараты (миорелаксанты, цитостатические, седативные, глюкокортикостероидные препараты, антациды), наличие внутривенных катетеров, недостаточность питания и питание через зонд.
Наиболее распространенными возбудителями внутрибольничной пневмонии являются: Staphylococcus aureus (Золотистый стафилококк), грамотрицательные бактерии – Klebsiella pneumoniae, Escherichia coli (Кишечная палочка), Legionella pneumophila, Haemophilus influenzae (Гемофильная палочка), Pseudomonas aeruginosa (Синегнойная палочка); а также анаэробными возбудителями.
К основным симптомам пневмонии относятся: повышение температуры тела, одышка, кашель с выделением мокроты, боль в области грудной клетки. У лиц пожилого возраста общие симптомы (признаки обострения хронических патологий, сонливость, спутанность сознания) могут преобладать над легочными проявлениями. Аускультация над пораженным участком легкого позволяет определить бронхиальное дыхание (время шума выдоха преобладает над временем шума вдоха, при этом отмечается специфическая тембровая окраска дыхательных шумов), крепитацию, влажные мелкопузырчатые хрипы. Общий анализ крови при пневмонии демонстрирует лейкоцитоз.
Главный рентгенологический признак пневмонии – инфильтрация ткани легких, которая возникает вследствие накопления в альвеолах воспалительного экссудата (на рентгенограмме инфильтрация проявляется участками затемнений). Кроме этого, воспаление может возникать в интерстициальной ткани – периваскулярной и перибронхиальной соединительной ткани, междольковых и межальвеолярных перегородках (на рентгенограмме такое воспаление определяется усилением интерстициального компонента легочного рисунка – усиление и деформация легочного рисунка с образованием линейных и ретикулярных (сетчатых тканей)). В случае вовлечения в воспалительный процесс интерстициальной ткани легких может обнаруживаться неспецифический радиологический симптом «матового стекла».
Учитывая вышесказанное, инфильтрация легочной ткани может быть двух видов: альвеолярная и интерстициальная.
Альвеолярная инфильтрация развивается в случае поражения легочных альвеол. На рентгенограмме она характеризуется однородными или неоднородными участками довольно интенсивного затемнения легочного поля. Отметим, что на фоне этих затемнений сосудистый легочный рисунок не дифференцируется. В случае образования альвеолярной инфильтрации могут развиваться следующие типы пневмоний: плевропневмония и бронхопневмония.
Плевропневмония (в традиционной терминологии обозначается как «крупозная пневмония») возникает в случае попадания возбудителя в альвеолы. При этом воспалительный экссудат через межальвеолярные поры Кона «растекается» (распространяется) по альвеолам (этот процесс может распространяться на всю долю легкого). Как правило поражается один или несколько сегментов, редко – вся доля или даже несколько долей легкого. На рентгенограмме определяется интенсивная однородная инфильтрация, на фоне которой идентифицируются бронхи в виде ветвящихся светлых полосок – симптом «воздушной бронхографии» (рисунок 1).
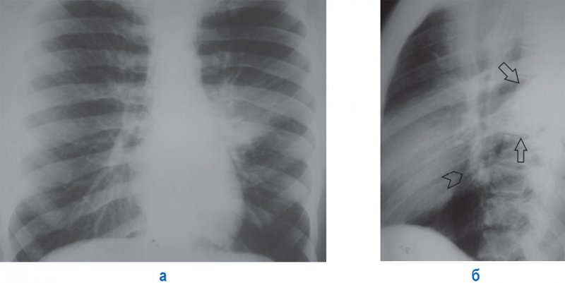
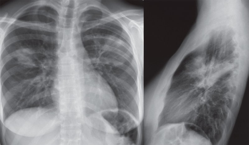
Полисегментарная (билобарная) правосторонняя плевропневмония
Рисунок 1. Полисегментарная (билобарная) правосторонняя плевропневмония.
А – в нижней и верхней долях справа отмечается распространенная однородная инфильтрация. Объем правого легкого уменьшен (это определяется по незначительно высокому положению купола диафрагмы справа и незначительному смещению трахеи вправо)
Б – увеличенный фрагмент рентгенограммы в прямой проекции. В – рентгенограмма правой боковой проекции. В нижней и верхней долях правого легкого определяется однородная распространенная инфильтрация. Отмечается утолщенная горизонтальная междолевая плевра. Стрелками обозначены видимые на фоне инфильтрации просветы бронхов – симптом «воздушной бронхографии»
На рентгенограмме нечеткие контуры инфильтрации, однако в случае ограничения воспаления утолщенной междолевой плеврой, образованная ей граница четко определяется. При плевропневмонии инфильтрация не распространяется за пределы междолевой плевры. Возможно незначительное уменьшение размера пораженных долей или сегментов (при этом на снимке отмечается смещение междолевой плевры в сторону пораженного участка). Такое состояние может быть обусловлено гиповентеляцией доли или сегмента за счет наличия в бронхах вязкой мокроты, а также сокращения просвета бронхов вследствие воспаления (рисунок 2).
Рисунок 2. Плевропневмония. А – правосторонняя плевропневмония верхней доли (горизонтальная междолевая плевра справа утолщена и немного «вогнута» в сторону инфильтрации за счет незначительного уменьшения размера верхней доли). Б – рентгенограмма пациента через 10 дней антибактериальной терапии: отмечается выраженная положительная динамика, инфильтрация не обнаруживается, не определяется смещение междолевой плевры. В проекции средней доли справа определяется кальцинат
Плевропневмония часто сопровождается парапневмоническим экссудативным плевритом, который на рентгенограмме проявляется гидротораксом. Развитие плевропневмонии чаще всего типично при инфицировании Streptococcus pneumoniae, Klebsiella pneumoniae, Haemophilus influenzae (Гемофильная палочка), Legionella pneumophila, реже Mycoplasma pneumonia. Отметим, что рентгенологический снимок не позволяет достоверно определить конкретного возбудителя воспаления легких.
При пневмонии на рентгенограмме отмечается разная площадь инфильтрации, которая может не превышать площадь сегмента (рисунок 3). При полисегментарной пневмонии могут быть поражены отдельные сегменты обоих легких (рисунок 4).
Правосторонняя сегментарная пневмония в верхней доле
Рисунок 3. Правосторонняя сегментарная пневмония в верхней доле. А – рентгенограмма прямой проекции. Б – фрагмент рентгенограммы боковой проекции. На снимках отмечается небольшой участок инфильтрации в S3 верхней доли справа (на снимке Б он отмечен стрелками), в местах расположения возле междолевой плевры четкие контуры
Двусторонняя полисегментарная пневмония верхних долей легких
Рисунок 4. Двусторонняя полисегментарная пневмония верхних долей легких (прямая и боковая проекции)
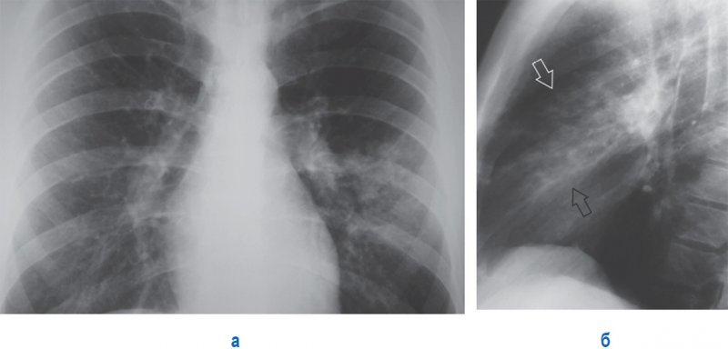
В некоторых случаях на рентгенограмме тяжело определить инфильтрацию S6 нижней доли в прямой проекции, поскольку она наслаивается на тень корня легкого. В этом случае корень легкого определяется как патологически измененный (неструктурным и расширенным) – это может быть причиной неверной диагностики бронхопульмональной лимфоаденопатии. Рентгенография в боковой проекции позволяет избежать эти трудности – не ней хорошо определяется инфильтрация на «верхушке» нижней доли, сзади от корня (рисунок 5).
Рисунок 5. Пневмония S6 (левое легкое). А – рентгенограмма в прямой проекции (слева отмечается инфильтрация в прикорневой зоне, корень легкого выглядит расширенным и неструктурным). Б – рентгенограмма в левой боковой проекции (определяется инфильтрация в «верхушке» нижней доли S6 (см стрелки), которая ограничена спереди междолевой плеврой). В прикорневой зоне нижней доли также определяется небольшой участок неоднородной инфильтрации (см указатель)
В случае обнаружения инфильтрации S6 (особенно в сочетании с инфильтрацией S1 и S2) необходимо обратить внимание на возможный туберкулезный процесс – сопутствующие характерные изменения при туберкулезе: кальцинаты, полости распада, очаги отсева в отдаленных участках пораженного и соседнего легкого, очаговые тени.
Таким образом, в современных условиях рентгенологическая картина плевропневмонии имеет следующие характерные особенности:
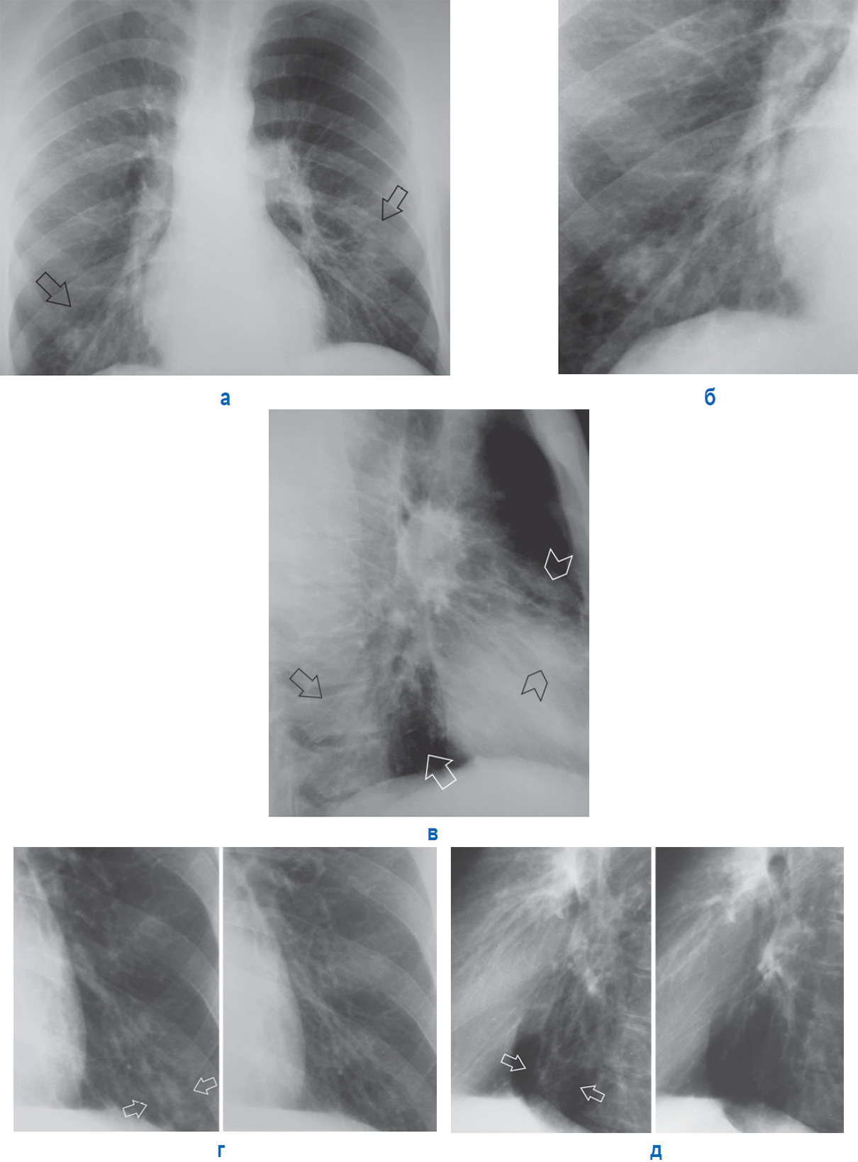
Бронхопневмония (очаговая пневмония) начинается с бронхита (поражения мелких бронхов), после чего образуется инфильтрация в альвеолах. При этом на рентгенограмме отмечается неоднородная инфильтрация – очаги («очаговые» тени не превышают размер 10-12 мм; большие размеры обозначают «фокусная тень» или «инфильтрат»), более крупные фокусные тени с нечеткими контурами, которые могут сливаться в инфильтраты. Инфильтрированные участки легкого чередуются с участками, сохранившими воздушность (инфильтрация обнаруживается на фоне усиленного легочного рисунка (см рисунок 6). Этот тип инфильтрации характерен для пневмонии, возбудителем которой выступает Staphylococcus aureus (Золотистый стафилококк) и грамотрицательная инфекция, а также для госпитальной пневмонии. Как правило, поражается один или несколько сегментов легкого, также может быть двустороннее поражение.
Рисунок 6. Левосторонняя бронхопневмония. А – рентгенограмма в прямой проекции (в среднем отделе легочного поля слева неоднородная инфильтрация в виде крупноочаговых теней, которые сливаются между собой в более крупные фокусные тени на фоне усиленного легочного рисунка). Б – рентгенограмма в левой боковой проекции (инфильтрация определяется в язычковых сегментах верхней доли (см стрелки)
Начальное проявление бронхопневмонии может сопровождаться локальным усилением сосудистого рисунка легких с последующим образованием периваскулярной и перибронхиальной инфильтрации. Периваскулярная инфильтрация на рентгенографии характеризуется нечеткими контурами и расширением сосудистых теней; перибронхиальная – образованием светлых полосок бронхов на фоне инфильтрированной перибронхиальной легочной ткани. Эта картина часто определяется в области хвоста корня легкого и в нижних отделах легочных полей (рисунок 7).
Рисунок 7. А – госпитальная двусторонняя полисегментарная пневмония (с обеих сторон отмечается очаговая и перибронховаскулярная инфильтрация на фоне усиленного рисунка: справа – наддиафрагмально, слева – в среднем, нижнем отделах легочного поля (см стрелки)). Б – область правого корня легкого (фрагмент предыдущей рентгенограммы). В – фрагмент рентгенограммы в правой боковой проекции (тот же пациент): очаговая и перибронховаскулярная инфильтрация в базальных сегментах нижней доли (см стрелки) и в проекции язычковых сегментов слева (см указатели).
Г и Д – Пневмония в нижней доле слева (фрагменты рентгенограммы другого пациента): периваскулярная инфильтрация (см стрелки) до и после лечения. Г – фрагмент рентгенограммы в прямой проекции. Д – фрагмент рентгенограммы в левой боковой проекции
При пневмонии перибронховаскулярная инфильтрация иногда дифференцируется с признаками застойной сердечной недостаточности (при отеке интерстициальной периваскулярной (вокруг сосудов), перибронхиальной ткани и бронхов образуются так называемые «муфты»). В таких случаях необходимо учитывать данные клинико-лабораторных исследований, а также диагностировать другие признаки сердечной недостаточности – увеличение размеров сердечной тени, венозный застой в малом круге кровообращения. Для пневмонии характерны инфильтративные изменения, располагающиеся ближе к периферическим отделам легких (субплеврально, наддиафрагмально), в то время как при застойной сердечной недостаточности изменения определяются ближе к корню легкого.
Интерстициальная инфильтрация развивается в случае преимущественного поражения интерстициальной ткани легких (периваскулярной и перибронхиальной соединительной ткани, междольковых и межальвеолярных перегородок) и при частичном наполнении альвеол воспалительным экссудатом.
На рентгенограмме может определяться малоинтенсивное снижение прозрачности – симптом «матового стекла» (несмотря на то, что этот термин используют в КТ-исследованиях, этот симптом определяется на обычной рентгенографии, при условии высокого качества снимков). На фоне снижения прозрачности легочный рисунок определяется, хотя плохо дифференцируется («смазанный», нечеткие конуры сосудов; см рисунок 8). В данном случае причиной возникновения симптома «матового стекла» является частичное заполнение альвеол экссудатом и воспаление (утолщение) межальвеолярных перегородок.

Рисунок 8. Двусторонняя полисегментарная пневмония с интерстициальной инфильтрацией легочной ткани. В легких отмечается распространенная малоинтенсивная инфильтрация по типу «матового стекла». Под куполом диафрагмы слева определяется воздух в толстой кишке (это не свободные газы в брюшной полости) – об этом свидетельствует гаустр (на фоне воздуха)
Этот тип инфильтрации обнаруживается при пневмонии, возбудителем которой являются Mycoplasma pneumoniae, Pneumocystis jiroveci и цитомегаловирусная инфекция. Кроме этого, инфильтрация в виде «матового стекла» - частое явление у лиц с иммунодефицитными состояниями (например, ВИЧ-инфицированных).
Усиление интерстициального компонента легочного рисунка может определяться при пневмонии с поражением интерстициальной ткани легких, что является признаком поражения перибронховаскулярной соединительной ткани и воспаления (утолщения) междольковых перегородок. При этом на рентгенограмме обнаруживаются линейные и сетчатые (ретикулярные) тени. Отметим, что при пневмонии интерстициальная и альвеолярная инфильтрация может сочетаться (см рисунок 9).

Рисунок 9. Двусторонняя полисегментарная пневмония. В верхней доле слева и в нижней доле справа отмечается малоинтенсивная интерстициальная инфильтрация по типу «матового стекла». В верхней доле справа и в прикорневой зоне отмечается более интенсивная альвеолярная инфильтрация – симптом «воздушной бронхографии» (см стрелка). В прикорневых отделах с обеих сторон и в верхней доле слева определяется усиленный интерстициальный компонент легочного рисунка с образованием ретикулярных теней
В случае поражения легких вирусной инфекцией на рентгенограмме также определяются интерстициальные изменения – множественные очаговые изменения (лучше определяются на РКТ), двусторонние ретикулярные изменения в прикорневых отделах легких, симптом «матового стекла». Образование альвеолярных инфильтратов часто является признаком присоединения бактериальной инфекции к вирусной.
Таким образом, при пневмонии альвеолярная инфильтрация легочной ткани характеризуется образованием однородных инфильтратов, которые в основном обнаруживаются в пределах доли или сегментов легкого с границей по прилежащей плевре, с симптомом «воздушной бронхографии» (плевропневмония) или образованием очаговых, очагово-сливных, фокусных инфильтратов на фоне усиленного рисунка (бронхопневмония). Пневмония с интерстициальными изменениями характеризуется малоинтенсивным снижением прозрачности легочной ткани по типу «матового стекла», а также усилением и деформацией легочного рисунка – образование линейных и ретикулярных (сетчатых) теней.
Обратим внимание на то, что даже при явно выраженной клинической картине пневмонии на рентгенограмме характерные изменения определяются не всегда. Такая ситуация может возникать в следующих случаях:
Кроме этого, условия проведения рентгенографии также имеют важное значение. Например, если снимок сделать палатным аппаратом в положении лежа, особенно при невозможности задержать дыхание или на неглубоком вдохе, очень тяжело оценить состояние базальных сегментов нижней доли легких, так как они частично закрыты из-за высоко расположенной диафрагмы, а в случае расширения сердечной тени влево невозможно оценить состояние базальных сегментов нижней доли слева (см рисунок 10).
Левосторонняя пневмония нижней доли легкого
Рисунок 10. Левосторонняя пневмония нижней доли легкого. А – рентгенограмма в прямой проекции (трудно определяется инфильтрация в нижней доле слева, так как она располагается за тенью сердца). Б – рентгенограмма в левой боковой проекции (отмечается участок инфильтрации над задним скатом диафрагмы в S10 нижней доли слева)
Также рекомендуем ознакомиться с «Рентгенологический атлас: Пневмония».
Состояния, при которых на рентгенографии обнаруживается картина тотального (субтотального)...
Пневмония (воспаление легких) – заболевание, вызываемое преимущественно инфекцией...
Пневмония – воспаление легких, которые делят на острые и хронические. Причиной...
Рак легкого является актуальнейшей социальной и научной проблемой, важность которой не...
Пневмония относится к числу распространенных инфекционных заболеваний. Она занимает первое...
анализы, БАД, биологическая медицина, витамины, гастроэнтерология, гигиена, гинекология, гомеопатия, дерматология, диагностика, диетология, заболевания, иммунология, инфекционные заболевания, инфекция, исследования, кардиология, кожа, косметика, красота, лекарственные растения, лечение, лицо, неврология, обследование, оздоровление, онкология, ортопедия, педиатрия, питание, пищеварительная система, поведение, похудение, препараты, продукты, профилактика, процедура, психология, пульмонология, рак, реабилитация, сердечно-сосудистая система, ССС, тело, терапия, травматология, уход, фитотерапия, хирургия, эндокринология
Показать все теги

Комменатрии к новости