Военно-полевая хирургия: лечение ранений. ЧАСТЬ 1
Все огнестрельные ранения характеризуются повреждением мягких тканей, а многие из них...
Специалистам / Практика / Практика (статья)
Военно-полевая хирургияВ зонах военных действий живут сотни тысяч совершенно здоровых людей с пулями и осколками в телах. На эти металлические инородные предметы часто обращают внимание пациенты и их родственники, считая их причиной любых болей или физических затруднений, которые они испытывают, и настаивая на их извлечении даже после того, как рана совершенно зажила.
Хирургу трудно, а порой невозможно убедить упрямого пациента в том, что ранящий снаряд представляет опасность, только пока он движется, а как только он остановился, опасности уже нет. Частота случаев поздних инфекций очень низкая (2–3%), а окклюзия сосудов встречается редко, причем чаще осколками, чем пулями. Эмболизация, «блуждающие пули», чаще встречается при описании клинических случаев в хирургической литературе, чем в реальной жизни. В одном американском исследовании по Вьетнаму говорится о 0,3% этого феномена среди 7500 пациентов с повреждениями артерий, а среди всех раненых этот процент еще ниже.
Количество пациентов, обращающихся с такими просьбами, иногда исчисляется сотнями, и хирурги не в состоянии убедить всех. Проблема эта скорее не хирургическая, а психологическая и культурная. Как можно убедить молодого комбатанта в том, что операция по удалению пули принесет больше вреда, чем уже причинила сама пуля? Такое инородное тело, находящееся внутри мышечной массы при отсутствии болевых рецепторов, не приносит вызывает боль, поэтому хирургу необходимо найти способ преодолеть эту субъективную навязчивую идею пациента, возможно, уговорив его, что наличием пули в теле можно гордиться.
Опыт Красного Креста показывает, что во многих случаях операции по извлечению ранящих снарядов рискованы, бесполезны, отнимают время и материалы, а заканчиваются новыми хирургическими травмами и возможными осложнениями, причем зачастую без обнаружения и извлечения самого инородного тела. Очень тяжелым испытанием для молодого и неподготовленного к этому хирурга является провести два часа в лихорадочных поисках «очень простого» осколка или пули только для того, чтобы в результате ничего не найти...
Тем не менее, как мы уже говорили, имеются показания к извлечению пуль и осколков, и эти показания можно подразделить на ранние и поздние. Наиболее важные ранние показания рассмотрены в статье «Военно-полевая хирургия: лечение ранений»: удаление инородного тела в процессе первичной операции и предупреждение опасности разрушения важной структуры (рисунок 1).

Рисунок 1. Пуля в матке с доношенным плодом
Решение о том, является ли процедура удаления срочной или плановой, будет зависеть от ряда факторов, главным образом от квалификации хирурга, возможных осложнений и вероятности летального исхода в результате самой операции по сравнению, например, с относительно невысокой вероятностью серьезных осложнений в случае оставления ранящего снаряда на месте. Принятие такого решения является делом не из легких, и врачи самостоятельно решают, что делать в следующих случаях (рисунок 2–8).

Рисунок 2. Пенетрация осколка через лобную область и остановка в затылочной области
Пенетрация фрагмента в затылочно-теменную область
Рисунок 3. Пенетрация фрагмента в затылочно-теменную область. Позади кости виден металлический фрагмент

Рисунок 4. Осколок, оставшийся в мягких тканях шеи. Медсестра показывает место внедрения осколока

Рисунок 5. Пуля в подмышечной ямке: кровеносные сосуды и нервы не повреждены

Рисунок 6. Перелом плечевой кости, пуля остановилась в подлопаточной мышце

Рисунок 7. Пуля, расположенная экстрасиновиально вблизи бедренной кости

Рисунок 8. Разрушившаяся пуля в забрюшинном мышечном массиве
К ранним показаниям следует добавить следующие клинические сценарии:

Рисунок 9. Пуля в позвоночнике: у пациента паралич нижних конечностей
Поздними показаниями к извлечению являются главным образом следующие осложнения:
Если ранящий снаряд вместе с окружающими его загрязнениями является очагом инфекции – гнойником или свищем. Удаление инородного тела осуществляют в плановом порядке после проведения необходимых диагностических процедур (рентгенограммы, синограммы и т. д.).
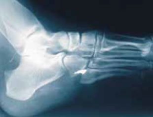
Если инородное тело находится неглубоко, особенно над точкой опоры (в ладонной поверхности кисти, в подошве ступни, в области локтевого сустава и т. д.), оно может причинять сильную боль (рисунок 10). Извлечение можно производить в плановом порядке после заживления острой травмы.

Рисунок 10. Металлический осколок находится в точке опоры – в подошве ступни
Если инородное тело давит на нерв и причиняет острую боль или парестезию (рисунок 11). Так же, как и в предыдущем случае, извлечение производят в ходе плановой операции.

Рисунок 11. A) Пуля в переднелатеральном отделе голени надавливает на общий малоберцовый нерв. B) Пуля не контактирует с нервом
Встречается редко, обычно поражает синовиальное соединение или межпозвоночный диск. Возможность хирургического вмешательства следует рассматривать только при наличии документально подтвержденного увеличения содержания свинца в сыворотке крови (более 10 мкг/дл у детей и более 40 мкг/дл у взрослых). Реакция на введение разрешающей дозы ЭДТК (этилен-диаминтетрауксусной кислоты) является хорошим диагностическим тестом. Начинают стандартную терапию (ЭДТК, Димеркапрол, D-Пеницилламин, Сукцимер). К хирургическому удалению металлического фрагмента можно приступать только после снижения содержания свинца в сыворотке, чтобы не допустить острого отравления свинцом. Такое осложнение не возникает, если поражающим снарядом является пуля со сплошной металлической оболочкой, которая не разрушилась и свинец не освободился наружу.
В этой статье не рассмотрены раны, не связанные с вооруженными конфликтами, когда пуля может потребоваться для правового или судебного исследования. Национальное законодательство заинтересованной страны точно определяет, что должно быть сделано в таких случаях, не причиняя пациенту ненужных повреждений и страданий.
При необходимости удаления глубоко сидящей пули или осколка, очень важно до хирургического вмешательства точно определить локализацию инородного тела. Большинство сельских или провинциальных больниц не имеют в операционных рентгеновский аппарат или усилитель рентгеновского изображения, позволяющего хирургу вести операцию под визуальным контролем.
Существует простой стереотаксический метод, позволяющий определить пространственное расположение инородного предмета: к исследуемой части тела, на переднюю и боковую ее поверхности, прикрепляют несколько рентгеноконтрастных объектов (скрепок для бумаги, инъекционных игл, спиц Киршнера), которые служат ориентирами. Делают два плоскостных рентгеновских снимка – в переднезадней и боковой проекциях. Затем фломастером на коже отмечают места рентгеноконтрастных объектов и убирают их.
Две рентгенографические проекции помогают хирургу определить относительное расстояние между пулей и рентгеноконтрастными объектами по двум осям – поперек и вглубь исследуемой части тела, например, посередине расстояния между второй и третьей скрепками для бумаги в переднезадней проекции и на одной трети расстояния между первой и второй скрепками для бумаги в боковой проекции (рисунок 12). Таким образом, идея состоит в использовании двухмерных рентгеновских снимков для мысленного построения трехмерного изображения. Снимки следует делать утром перед операцией, причем пациент должен быть раздет (у комбатантов в карманах часто бывают пули).

Рисунок 12. Определение местоположения металлического инородного тела при помощи трехмерного построения. Английская булавка на передней поверхности, а скрепка для бумаги на боковой поверхности.
После ранения со временем вокруг металлического предмета, оставшегося в теле, образуется бессосудистая рубцовая ткань – гранулема, обусловленная инородным телом. В ней, наряду с пулей, могут находиться другие инородные тела и грязь – все это подлежит иссечению.
Все огнестрельные ранения характеризуются повреждением мягких тканей, а многие из них...
Любая классификация ран окажет помощь хирургу в том случае, если она будет способствовать...
Движущийся снаряд причиняет ранение посредством переноса на тело кинетической энергии –...
Многие специалисты проводили различные эксперименты, чтобы описать воздействие всевозможных...
Если стандартная техника проведения хирургических операций годится для лечения простых ран, то...
анализы, БАД, биологическая медицина, витамины, гастроэнтерология, гигиена, гинекология, гомеопатия, дерматология, диагностика, диетология, заболевания, иммунология, инфекционные заболевания, инфекция, исследования, кардиология, кожа, косметика, красота, лекарственные растения, лечение, лицо, неврология, обследование, оздоровление, онкология, ортопедия, педиатрия, питание, пищеварительная система, поведение, похудение, препараты, продукты, профилактика, процедура, психология, пульмонология, рак, реабилитация, сердечно-сосудистая система, ССС, тело, терапия, травматология, уход, фитотерапия, хирургия, эндокринология
Показать все теги

Комменатрии к новости