Военно-полевая хирургия: лечение ранений. ЧАСТЬ 2
В некоторых больших ранах граница между омертвевшей и поврежденной, но жизнеспособной тканью...
Специалистам / Практика / Практика (статья)
Военно-полевая хирургия«Тяжесть инфекции этих (военных) ран является просто результатом очень сильного разрушения тканей снарядом, что создает прекрасную питательную среду для бактерий, с которыми не могут справиться естественные защитные силы организма; и если бы хирургу удалось полностью удалить эти омертвелые ткани, то я совершенно уверен, что инфекция стала бы совершенно несущественной».
Александр Флеминг
Исход лечения пациентов, раненных на войне, зависит от многих факторов, включающих:
Самое главное действие, которое хирург совершает для подавляющего числа раненых, – это иссечение или санация (debridement, фр.) раны.
Сотрудники Красного Креста часто наблюдали ситуацию, когда малоквалифицированный медицинский персонал бедной страны впервые обрабатывал тяжелораненых на войне. Первой реакцией таких людей была попытка остановить кровотечение, «закрыв дырку». Если у них был шовный материал, они накладывали шов без иссечения раны, а если такого материала не было, то они затыкали рану марлевыми компрессами. После этого у больного развивалась инфекция, которую начинали лечить частой сменой повязок и бессистемным назначением антибиотиков, напрасно расходуя дефицитные лекарственные средства. Концом этой печальной истории могла быть тяжелая инвалидность после медленного выздоровления, но чаще всего - острые осложнения и смерть пациента, а также чувство бессилия у медицинского персонала.
Успешное лечение ранений, полученных в зоне боевых действий, является искусством, основанным на строгих научных принципах. Хорошее знание баллистики ранений поможет хирургу более точно определить степень повреждения тканей и требуемое хирургическое вмешательство. Но баллистика не даст возможность диагностировать любое ранение и назначить лечение для каждого пациента. Только в редких случаях знание того, каким оружием было причинено ранение, может принести какую-то клиническую пользу.
Из раневой баллистики известно, что образование полости ранящим снарядом сопровождается попаданием в глубину раны патогенных организмов, кусочков грязной кожи, одежды и пыли. При взрыве противопехотной фугасной мины в проксимально расположенные ткани попадают куски обуви или осколки костей ступни, гравий, земля, листья и трава, а также кусочки ранящего снаряда. Хотя раны загрязнены, инфицирование начинается не раньше, чем через 6–8 часов. Поэтому очень важно, чтобы санация раны производилась в пределах первых шести часов после ранения. Но так случается нечасто.
Старые истины для молодых хирургов: Военные раны загрязнены и первично обсеменены микроорганизмами.
Чем бы ни было причинено ранение, очень важно тщательно обследовать пациента и рану (раны).
Обследование пациента:
Обследование ран и поврежденных органов:
Лечение плохо обработанных и запущенных ран рассмотрено в отдельной статье.
Все огнестрельные ранения характеризуются повреждением мягких тканей, а многие из них осложнены поражением других структур. Военные ранения часто бывают множественными, и патология также часто носит множественный характер. При взрыве снаряда могут быть одновременно причинены первичная контузия, проникающие ранения металлическими осколками, тупая травма и ожоги. Тщательное и полное обследование пациента необходимо для локализации всех имеющихся ран и определения их размеров, с тем чтобы выяснить, какие раны требуют хирургического вмешательства, и наметить последовательность проведения операций.
В статье «Помощь раненым в отделении неотложной помощи» говорилось, что хирург должен попытаться установить путь, проделанный ранящим снарядом в теле. Рана может быть сквозной или же снаряд застревает внутри части тела. Входная и выходная раны могут располагаться на одной или разной высоте. Хирург должен мысленно представить себе, какие анатомические структуры лежат вдоль возможной траектории ранящего снаряда, нет ли на его пути жизненно важных отделов: мозга, грудной клетки, брюшной полости. Хирург должен мыслить «анатомически».
В процессе обследования может обнаружиться напряженная болезненная опухоль у сквозной раны икры, что является показателем гематомы и острого повреждения мышц. В отличие от этого мягкие и расслабленные ткани около таких же входных и выходных ран указывают на незначительное ранение. Хирург должен мыслить категориями «патологии».
Следует идентифицировать переломы, повреждения периферических сосудов и нервов. Если была задержка эвакуации, то может наблюдаться сосудистый шум и ощущаться нервная дрожь, означающая псевдоаневризму или артериовенозную фистулу. Проверяют периферическую двигательную функцию и чувствительность. Нейропраксия встречается чаще, чем повреждение нерва.
Большая часть ранений жизненно важных органов будет обнаружена уже во время первичного обследования на проходимость верхних дыхательных путей, дыхание и кровообращение. Тем не менее пальпация всего тела во время полного обследования может выявить маленькую входную рану от крошечного осколка, проникшего в мягкие мозговые оболочки, в плевру или брюшную полость, не нарушив пока еще функции жизнедеятельности организма.
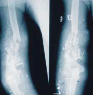
Полная диагностика может также включать рентгенографию, за исключением сквозных ранений мягких тканей, при которых такое исследование не требуется. Необходимо сделать по одному снимку участка тела выше и ниже входных и выходных ран. Деформация или фрагментация пули, которая на рентгеновских снимках хорошо видна как «свинцовый дождь», является надежным показателем тяжелого повреждения тканей (рисунок 1). Нужно отметить, что многие чужеродные материалы рентгеноконтрастны, например, кусочки обуви или одежды, грязь, листья и трава, пластиковые осколки некоторых мин. С другой стороны, бывает трудно различить ранящий снаряд на фоне нормальной анатомической рентгеноконтрастности некоторых анатомических органов. Тяжелый раздробленный перелом также ведет к обширному повреждению мягких тканей. Наличие рентгенографии помогает, но не является совершенно необходимым для диагностики переломов в зоне боевых действий.

Рисунок 1. «Свинцовый дождь». На рентгенограмме наблюдается тяжелый раздробленный перелом плечевой кости вследствие разрушения пули
Следует помнить, что пузырьки воздуха, видимые на рентгенограмме, не обязательно свидетельствуют о выделении газа вследствие воспаления скелетных мышц. Временная полость, образующаяся при ранении высокоскоростными пулями, нередко оставляет за собой пальпируемый и видимый на снимках внутрифасциальный и внутримышечный воздух в здоровых тканях на некотором удалении от раны. Это обычно является показателем тяжелого повреждения тканей. Диагноз газовой гангрены делают на основе клинических симптомов, и рентгенография не является для него патогномоничной (рисунок 2).

Рисунок 2. На рентгенограмме определяется воздух в ткани пациента, у которого нет газовой гангрены
При наличии соответствующего оборудования и профессиональной квалификации врачей в медицинском учреждении, безусловно, можно использовать и более совершение диагностические средства.
Не только военные раны засорены и загрязнены – сами поля сражений являются грязными местами. Раненым недоступны обычные санитарные удобства, и поэтому необходимо принять все возможные меры для поддержания основных гигиенических требований. Большинство раненых имеют повреждения конечностей и их гемодинамическое состояние стабильно. Все стабильные пациенты должны принять теплый душ. Для обследования и сортировки им меняют повязки. Непосредственно в операционную направляют лишь пациентов, находящихся в критическом состоянии.
В операционной хирург совместно с анестезиологом и сестринским персоналом подготавливают положение пациента, в котором он будет находиться при проведении последовательности хирургических операций. Очень хорошо наложить пневматический кровоостанавливающий жгут на конечности, особенно перед удалением первичных повязок, наложенных на очевидно тяжелые раны на поле боя.
В случае множественных ранений мягких тканей, если нет клинических свидетельств сосудистого повреждения, начинать следует с обработки ран на задней стороне туловища и конечностей, а затем переходить к ранам на передней стороне. Было много случаев, когда после обширных операций на передней стороне «забывали» о ранах, расположенных на задней стороне тела. Кроме этого, анестезиологу проще завершить операцию на пациенте, находящимся в положении лежа ни спине.
Повязки и шины осторожно снимают под наркозом. Кожу на большой площади вокруг раны, включая весь периметр конечности или туловища, промывают водой с мылом и щеткой, сбривают волосы, высушивают и окрашивают Повидон-йодом. Рану обильно орошают. Укладывают стерильные простыни. Хирургические салфетки с отверстием следует применять только для самых маленьких и неглубоких ран (большинство ран придется расширять, в результате чего операционное поле увеличивается).
После этого снова обильно орошают рану для удаления поверхностной грязи и осколков. При оптимальных условиях следует использовать стерильный изотонический раствор. В условиях ограниченных ресурсов приходится прибегнуть к воде из-под крана: «если вы пьете эту воду, то ей можно поливать грязную рану». Колодезную воду можно при необходимости обработать Гипохлоридом натрия, доведя его концентрацию до 0,025% (5 мл хлорной извести на один литр воды).
Только в экстренных случаях неминуемой асфиксии или обильного кровотечения следует нарушать основополагающие правила гигиены и техники стерилизации.
Самым лучшим инструментом для обследования раны является (защищенный) палец хирурга.
После тщательного первичного обследования пациента полная оценка состояния раны (или ран) в операционной может потребовать обследования ее пальцем под анестезией. Сегодня, в век широкой распространенности ВИЧ-инфекции, гепатита B и C хирург должен проявлять особую осторожность, чтобы не порезаться об острые края обломков кости или осколков.
Объем хирургической обработки раны, зависит от ее локализации и размера, то есть, от того, какой орган ранен и сколько ткани повреждено. Баллистика ранений дает общее представление о ранящей способности снаряда, но знание того, что одни виды оружия имеют больший ранящий потенциал, чем другие, не помогает хирургу в обследовании конкретной раны. Даже если врач знает, какое оружие причинило ранение то, если это не противопехотная фугасная мина, это знание не дает никакой практической пользы. Многие ранения являются результатом эффекта рикошета пуль со сплошной металлической оболочкой. Причиняемые в этом случае раны аналогичны ранам от пули "Дум-Дум".
Нет двух одинаковых ранений, даже причиненных одним оружием.
Наиболее существенным компонентом повреждения тканей является постоянная раневая полость, но при этом вдоль траектории ранящего снаряда потеря им энергии и повреждение ткани происходят неравномерно, результатом чего является «мозаика поврежденной ткани». В результате сдвига и растягивания в момент образования временной полости ранение может охватить значительно большую область: поздний ишемический некроз стенок полых органов или интимальное расслоение и васкулярный тромбоз сосудов, которые внешне тем не менее выглядят неповрежденными. Следует также принимать во внимание время, прошедшее между моментом ранения и лечением, а также учитывать возможное начало сепсиса.
Оценка степени повреждения тканей является искусством, постичь которое можно только на практике. Очень важно точно определить, какие ткани повреждены, а какие нет, поскольку если не будут удалены поврежденные ткани, это может вызвать сепсис и даже смерть, а если помимо поврежденных будут удалены и здоровые ткани, то это усугубит инвалидность.
Тем не менее это искусство имеет научную базу. Согласно балльной оценке ран Красного Креста проникающие ранения подразделяются на различные категории в зависимости от степени повреждения тканей (группы ран) и структур, которые повреждены (типы ран). Эта оценка помогает определить необходимый объем хирургического вмешательства. Важно произвести тщательное обследование, поскольку не все раны нуждаются в хирургическом иссечении.
|
Хирургическое лечение крупных ран проводят в две стадии:
|
Хирургическое лечение большинства военных ран – это стадийный процесс, включающий две основные процедуры, первой из которых является санация или иссечение раны. Обработанную таким образом рану не ушивают. Затем, через 4–7 дней, после того как экссудативная фаза воспаления после травмы утихает и начинается пролиферативный процесс, открытую рану подвергают первично-отсроченному закрытию. На практике первично-отсроченное закрытие обычно проводят через 4–5 дней. Закрытие может производиться либо наложением непосредственного шва, либо с применением сложной техники пересадки кожи и хирургического восстановления (см статью «ВПХ: Первично-отсроченное закрытие раны, пересадка кожи»).
Санация раны включает в себя разрез и иссечение.
|
Основные принципы иссечения раны:
|
Первоочередной задачей является остановка кровотечения. В большой ране с сильным кровотечением ни в коем случае нельзя вслепую пытаться пережать сосуды в глубине наполненной кровью полости. Дистальный и проксимальный контроль кровеносных сосудов следует осуществлять в процессе стандартного хирургического вскрытия, прикладывая при этом локальное давление (вопрос лечении сосудистых повреждении рассмотрен в отдельных статьях).
Второй по значимости опасностью после кровотечения для пациента является сепсис. Инфекция возникает при наличии питательной среды для бактерий, каковой в случае военных ран является совокупность омертвелых мышц, гематомы, обломков кости, грязной кожи, чужеродных материалов (кусочков одежды или обуви, грязи, гравия, листьев, пыли, ранящего снаряда и т. д.), а иногда и посторонних костных обломков (фрагментов кости из другой части тела или другого человека, которые как вторичные осколки создают новые раны). Ранения посторонними костными обломками наблюдаются при взрывах как снарядов, так и противопехотных мин.
Иссечение раны является процессом полного удаления омертвевшей и поврежденной ткани, сильно загрязненной бактериями и различными осколками. В результате такой санации остается участок здоровой ткани, хорошо снабжаемый кровью и способный противостоять остаточному поверхностному заражению, при условии, что рана остается открытой. Однако излишнее удаление здоровой ткани увеличивает возможность деформации и инвалидности.
Для хорошей васкуляризации и оксигенации раны необходимо снятие напряжения внутри раны и полноценное дренирование выделяемой при воспалении жидкости.
В подавляющем большинстве случаев для работы нужен базовый набор хирургических инструментов: скальпель, ножницы Метценбаума (Metzenbaum) и ножницы Мейо (для нити), препаровальный пинцет с насечкой, гладкий анатомический пинцет, кюретка костная, шесть кровоостанавливающих зажимов и ранорасширители. Диатермия не требуется. Предпочтительно иметь рассасывающиеся нити для перевязки кровеносных сосудов.
Молодому хирургу или хирургу, не имеющему опыта военно-полевой хирургии, лучше всего производить иссечение раны послойно, по анатомическим слоям, двигаясь от поверхностных тканей внутрь, с тем чтобы лучше представить себе анатомию и патологию. На всех этапах хирург должен знать анатомические структуры, расположенные в данной области. Повреждение тканей, гематома и отек могут изменить видимую анатомию и замаскировать важные структуры.
Наиболее часто встречающейся ошибкой является попытка произвести иссечение раны через небольшие входное или выходное отверстия, либо сделать слишком короткий надрез.
Кожа эластична, хорошо снабжается кровью, прекрасно сопротивляется повреждениям и удивительно жизнеспособна. Лечить ее следует консервативными методами. Иссекать следует только сильно поврежденные участки кожи. Обычно достаточно удалить полоску кожи шириной не более 2–3 мм вокруг входной и выходной раны.
После этого делают надрез по здоровой коже такой длины, которая требуется для получения доступа вглубь раны. Отметим, что за небольшими ранами на входе и выходе может скрываться большое внутреннее ранение. Наиболее часто встречающейся ошибкой является попытка произвести иссечение раны через небольшие входное или выходное отверстия. На конечностях надрез надо делать в продольном направлении, но не над подкожной костью, а у изгибов он должен соответствующим образом закругляться.
Разрез кожи не только позволяет лучше видеть, что происходит в ране, но также обеспечивает надлежащую декомпрессию нижележащих тканей и их последующее дренирование.
Подкожный жир плохо снабжается кровью, он имеет липкую структуру и хорошо удерживает большое количество загрязнений. Этот слой нужно удалять, не жалея, на 2–3 см вокруг первоначальной травматической раны.
После прекращения кровотечения снятие напряжения в тканях является важнейшим шагом санации раны.
Обрывки фасции также следует иссечь. Под маленьким отверстием в фасции может находиться большое количество поврежденных мышц. Поэтому футляр мышцы необходимо вскрыть большим надрезом глубокой фасции параллельно мышечным волокнам вдоль всей длины надреза кожи. Это очень важное действие обеспечивает широкую и глубокую ретракцию, в результате которой раскрывается внутренняя полость раны. Для улучшения доступа могут также потребоваться поперечные разрезы.
Посттравматический отек раны вполне может вызвать синдром межфасциального пространства и обструкцию местной циркуляции, что приведет к омертвению (некрозу) мышц. Разрез фасции оставляют открытым, для того, чтобы позволить отечным и переполненным кровью мышцам увеличиться в объеме без напряжения, не создавая препятствий для кровоснабжения, а также обеспечивая дренирование жидкости, выделяемой при воспалении и гематоме.
Наилучшим и самым нежным зондом для исследования канала раны и определения степени повреждения является палец хирурга в перчатке. Еще раз повторим, что необходимо проявлять особую осторожность, чтобы не порезаться об острые края обломков кости или осколка.
Синдром межфасциального пространства может развиться в любом фасциальном футляре, но чаще всего он наблюдается в голени. Необходимо проявлять особую осторожность при работе с любым проникающим ранением ниже колена независимо от того, сломана или не сломана большеберцовая кость.
В случае малейшего подозрения на синдром межфасциального пространства необходимо немедленно произвести декомпрессию (техника фасциотомии голени рассмотрена в отдельной статье).
Все омертвевшие и сильно загрязненные мышечные ткани необходимо удалить.
Омертвевшие мышцы являются идеальной питательной средой для развития клостридиальной инфекции, ведущей к газовой гангрене или столбняку, а также для роста многих других бактерий. Пулевой канал в мышце необходимо полностью раскрыть, слой за слоем, для того чтобы хорошо его видеть. Крайне необходимо удалить все сильно загрязненные, очевидно мертвые и оторванные мышечные ткани, выстилающие пулевой канал.
Мышцы, которые полностью рассечены поперек, сокращаются в направлении от раневой полости. Сократившиеся мышечные брюшки необходимо найти для обследования и иссечения. Во время обследования раны следует избегать рассечения неповрежденных мышц в поперечном направлении.
Тем не менее не все поврежденные мышцы претерпевают омертвление. Отличить поврежденные мышцы, которые способны к заживлению, от нежизнеспособных мышц можно с помощью четырех критериев:
Вся мышечная ткань, которая не выглядит здоровой и не имеет красного цвета, не сокращается при нажатии и не кровоточит при разрезе, должна быть иссечена вплоть до обнаружения здоровых, сокращающихся и кровоточащих мышц.
При этом могут возникать ошибки по причине следующего ряда патологических изменений:
Хотя вышеуказанные критерии носят очень субъективный характер и являются показателем опытности хирурга, тем не менее никаких лучших клинических измерителей не существует. Нужно обратить внимание на цвет и консистенцию – текстуру мышцы. Для исследования сократимости нужно приподнять часть мышцы объемом 2 см³ и ущипнуть ее пинцетом. Если сокращение не происходит, произвести иссечение ножницами или скальпелем. Нужно обратить внимание, не кровоточит ли обрезанная кромка. Не следует иссекать мышцу больше 2 см³, так как иначе можно нечаянно удалить здоровую ткань. Самое главное в этом деле – тщательность.
Имбибированная кровью и загрязненная межмышечная фасция подлежит иссечению.
Наличие большой гематомы, как правило, свидетельствует о повреждении крупного кровеносного сосуда. Удаление гематомы может привести к внезапной острой кровопотери. Целесообразно подготовиться к принятию мер по контролю сосудов, прежде чем приступать к эвакуации гематомы. При работе с пневматическим кровоостанавливающим жгутом необходимо четко идентифицировать анатомические структуры.
Система гаверсовых канальцев, пронизывающих кость, является очень хрупкой. Фрагменты кости, не прикрепленные к надкостнице или мышце, уже секвестрированы и подлежат удалению, но любой фрагмент кости, который фиксирован, следует оставить. Обнаженная кость должна быть выскоблена кюреткой до оболочки, покрывающей костный мозг. Любая оставшаяся на месте кость должна быть очищена от омертвевшей мышечной ткани, а загрязненные концы кости надлежит обрезать костными кусачками. На этой стадии лечения дефекты кости не важны – первостепенное значение имеет сама рана, и нужно сделать все возможное для предотвращения инфекции, развитие которой приведет лишь к большей потери костной ткани. Опасность несращения вследствие удаления множественных костных фрагментов преувеличена.
С другой стороны, надкостница жизнеспособна и обладает хорошим кровоснабжением. Она играет ведущую роль в образовании новой кости. Ее иссечение должно быть консервативным и ограничиваться удалением очевидно загрязненных краев.
Врачи Красного Креста практикуют простейший тип иммобилизации костей во время первой санации раны. Обычно это гипс, задняя лангета или какой-либо способ скелетного вытяжения. Редко на этой стадии требуется внешняя фиксация (аппаратом наружной фиксации), а внутрикостная фиксация запрещена к использованию Международным Комитетом Красного Креста. Решение об окончательном способе иммобилизации перелома принимается во время первично-отсроченного закрытия раны.
Информацию о показаниях к различным способам иммобилизации переломов и исправления костных дефектов при оказании медицинской помощи в зоне военных действий представлена в отдельной статье.
Как указано выше, при повреждении крупной артерии, питающей конечность, необходимо остановить кровотечение и либо немедленно восстановить сосуд, либо заменить шунтом из подкожной вены или временным стентом, иначе конечность будет потеряна. Хирург должен обратить особое внимание на возможность сосудистого повреждения около тяжелого раздробленного перелома с многочисленными костными фрагментами.
Необходимо, насколько это возможно, сохранить все нервы. Большие нервы хорошо сопротивляются разрыву, но подвержены нейропраксии. Нередко нервы являются единственными структурами, пересекающими полость раны. Если обнаруживается, что они повреждены, необходимо зафиксировать локализацию и степень повреждения. Нерассасывающуюся шовную нить нужно привязать к проксимальному и дистальному концам нерва и вывести концы нитей наружу, с тем чтобы их было легче обнаружить во время последующей операции. Поиск поврежденного нерва можно проводить во время иссечения раны только в том случае, если для этого не требуется вскрывать слои здоровой ткани.
Сухожилия нужно слегка иссечь у краев и удалить лишь сильно поврежденные волокна. Важные разорванные сухожилия, которые подлежат последующему восстановлению, нужно пометить нерассасывающейся шовной нитью, так же, как и нервы.
Не следует предпринимать попытки первичного восстановления сухожилий или нервов, поскольку в сильно загрязненных ранах сделать это вряд ли удастся. А неудача при немедленном восстановлении лишь значительно осложнит проведение этой процедуры в будущем. Кроме этого, восстановление требует времени и сил в самый неподходящий момент, и поэтому делать это лучше всего в плановом порядке. Тем не менее нервы и сухожилия не следует надолго оставлять открытыми, их нужно прикрыть мышцами, кожными лоскутами или влажными повязками.
Техника восстановления артерий, нервов и сухожилий будет рассмотрена отдельно.
Очевидно, что если в процессе иссечения раны хирург обнаружит ранящий снаряд, то он должен его удалить. Однако не следует рассекать здоровые ткани в поисках такого снаряда. Тем не менее есть два условия, при которых требуется немедленное удаление пуль и осколков, и эти условия связаны с подтвержденными практикой рисками и осложнениями.

Рисунок 3. Пуля в тазобедренном суставе

Рисунок 4. Пуля в верхнем средостении
Проводить ли удаление в срочном или плановом порядке, будет зависеть от анатомической локализации инородного тела и от того, какая структура подвергается опасности, от гемодинамической стабильности пациента, наличия диагностического и операционного оборудования и, что самое важное, от квалификации хирурга. Риски, связанные со сложной процедурой (удалением пули из средостения, головного мозга и т. д.), при которой процент осложнений может быть весьма высоким (особенно в неопытных руках), необходимо сопоставить с преимуществами отказа от такой процедуры, имея в виду, что общая частота осложнений при отказе низка. Более подробно показания к удалению будут рассмотрены отдельно.
При лечении военных ранений необходимо выполнять правила септической хирургии.
Нужно растянуть края раны и удалить сгустки крови, грязь и осколки ранящего снаряда со сторон раны и из ее глубины. Осторожная обильная ирригация раны под низким давлением (на этой стадии ирригацию желательно проводить изотоническим раствором) вымоет все осколки и сгустки, что позволяет снизить бактериальную нагрузку. Достаточное давление можно обеспечить, сжимая двумя руками пластиковую бутылку с раствором с прорезанными сверху отверстиями. В зависимости от размера раневой полости потребуется от одного до трех литров раствора. При промывании раны с очень большим и сложным переломом может потребоваться больше раствора для доведения ее до «чистого» вида.
После этого все структуры раневой полости должны быть хорошо видны и идентифицированы. Хирург должен тщательно обследовать рану при помощи пальца для выявления любых оставшихся в ней чужеродных тел, а также не замеченных ранее карманов и полостей.
|
После снятия пневматического кровоостанавливающего жгута контроль кровотечения проводят путем надавливания марлей и тонкой рассасывающейся нитью для перевязки кровеносных сосудов. Желательно не применять гальванокаутер (диатермию), поскольку после него остаются обожженные омертвелые ткани, что более вредно, чем инородное тело в виде рассасывающегося узла.
Рану оставляют полностью открытой. Нет никакого смысла «накладывать несколько стежков», имея в виду частично закрыть рану, «только для того, чтобы стянуть ее края немного ближе между собой», тем самым воспрепятствуя достижению цели обеспечения обширной декомпрессии и свободного дренирования раны, поскольку после развития реактивного отека свободный стежок становиться тугим. Кроме этого, хотя рана может выглядеть чистой, она не стерильна. Бактерии и микроскопические осколки все еще остаются в ране, и они будут извергнуты из нее вместе с посттравматической воспалительной жидкостью при наличии хорошего дренирования.
Нужна ли дренажная трубка? Если рана относительно мелкая и широко открытая, то дренажная трубка не нужна. Если в ране имеются глубокие карманы, которые невозможно полностью открыть из-за анатомических ограничений, то в этом случае может потребоваться дренажная трубка Пенроуз или гофрированная резиновая дренажная трубка. Контр-дренаж через нижележащий по отношению к резаной ране отдел может быть более полезным.
Все эти процедуры не являются чем-то новым. Это правила септической хирургии, которые приводятся во всех стандартных справочных текстах по хирургии. «Никогда не закрывайте инфицированные раны. Не закрывайте загрязненные раны, а также чистые раны, причиненные более шести часов тому назад. Обработку раны, ее гигиену, иссечение и промывание проводите методично, добиваясь, чтобы она стала совершенно чистой. В качестве второй процедуры осуществляйте первично-отсроченное закрытие раны».
ПРОДОЛЖЕНИЕ: «Военно-полевая хирургия: лечение ранений. ЧАСТЬ 2»
В некоторых больших ранах граница между омертвевшей и поврежденной, но жизнеспособной тканью...
Любая классификация ран окажет помощь хирургу в том случае, если она будет способствовать...
Движущийся снаряд причиняет ранение посредством переноса на тело кинетической энергии –...
Хирургу, оказывающему помощь раненым на войне, приходится встречаться с большим разнообразием...
Рана – механическое повреждение с нарушением кожного покрова, слизистых оболочек, а...
анализы, БАД, биологическая медицина, витамины, гастроэнтерология, гигиена, гинекология, гомеопатия, дерматология, диагностика, диетология, заболевания, иммунология, инфекционные заболевания, инфекция, исследования, кардиология, кожа, косметика, красота, лекарственные растения, лечение, лицо, неврология, обследование, оздоровление, онкология, ортопедия, педиатрия, питание, пищеварительная система, поведение, похудение, препараты, продукты, профилактика, процедура, психология, пульмонология, рак, реабилитация, сердечно-сосудистая система, ССС, тело, терапия, травматология, уход, фитотерапия, хирургия, эндокринология
Показать все теги

Комменатрии к новости