Первая помощь во время вооруженных конфликтов
Первая помощь – это самая первая медицинская помощь, оказываемая раненому или больному...
Специалистам / Практика / Практика (статья)
Приоритеты: Последовательность ABCDE принятия решений - сначала обеспечить проходимость дыхательных путей и лишь после этого заняться функцией дыхания и кровообращением.
Система лечения раненого в отделении неотложной помощи больницы является продолжением процедур поддержания жизненно важных функций в процессе оказания первой помощи, рассмотренных в статье «Первая помощь во время вооруженных конфликтов». Логика та же самая, но средства диагностики и лечения в медицинском учреждении более совершенные.
Независимо от того, была ли или нет оказана раненому, поступившему в больницу, первая помощь на поле боя, ему проводят полное обследование в последовательности ABCDE. Во время перевозки состояние больного могло измениться, в суматохе боевой обстановки могли не заметить каких-либо серьезных ранений, и уровень подготовки лиц, оказывавших первую помощь, мог быть недостаточным или вовсе отсутствовать. В больнице усилия также должны быть в первую очередь направлены на спасение жизней от асфиксии и шока, которые поддаются устранению, но тем не мене, являются самыми частыми причинами смерти. Отсчет «золотого часа» начинается на месте ранения, а не в момент поступления человека в отделение неотложной помощи (см статью «Смертельные боевые ранения»).
1. Оценка ситуации
Первичное обследование: дыхательные пути (Airway), дыхание (Breathing), кровотечение (Circulation), неврологический статус (Disability), конечности (Extremities), воздействие внешней среды и раздевание пациента (Exposure). Сортировка раненых в ситуации массовых людских потерь рассмотрена в отдельной статье.
2. Действия
Неотложная реанимация: проводят в соответствии с ситуацией, угрожающей жизни.
3. Оценка ситуации
Полное обследование: пальпация с головы до ног, спереди, сзади и с боков.
4. Действия
Радикальное лечение, хирургическое или нехирургическое: стабилизация.
5. Оценка ситуации и действия
Лечение или при необходимости эвакуация раненого в соответствии с его сортировочной категорией в госпиталь более высокого эшелона для специализированного лечения (см статью «Особенности хирургии во время вооруженных конфликтов»).
В некоторых странах неотложное обследование и лечение раненых мужчин и женщин должно производиться строго раздельно. Хотя в ситуациях массовых людских потерь выполнить это непросто, тем не менее отделение неотложной помощи следует организовать соответствующим образом.
Первичное обследование и неотложная реанимация должны проводиться одновременно. Врач, ведущий прием в отделении неотложной помощи, должен обратить внимание на ряд факторов:
При осмотре раненого первым делом нужно обращать внимание на кровотечение. Однако необходимо помнить, что самой большой опасностью для жизни является недостаточное поступление воздуха в легкие. В первую очередь проходимость дыхательных путей, а затем дыхание и кровообращение. Приобретя опыт, врач достаточно быстро восстанавливает проходимость дыхательных путей и дыхание, а уже затем занимается любым открытым кровотечением.
Врач отделения неотложной помощи, должен научиться думать в категориях последовательности ABCDE, раз за разом повторяя этот процесс. Чтобы выяснить, жив или умер пациент, следует начать с быстрого ABCD-обследования. У умерших нет проходимости дыхательного канала (A), не происходит вентиляция легких (B), отсутствует пульс (C), зрачки расширены и не реагируют на свет, отутствуют реакции на болезненный раздражитель (D), конечности неподвижны, а тело холодное (E).
Овладев методом ABCD-схемы, врач сможет получать ответы на вышеуказанные вопросы в едином совмещенном процессе.
Большинство раненых находятся в сознании, в тревожном состоянии или испуганы, они испытывают боль. Они расскажут врачу, что с ними случилось, где «у них болит». Они живы, в сознании, и тот факт, что они способны говорить, указывает на то, что дыхательные пути у них свободны. Эти признаки жизни как будто бы очевидны. Тем не менее врач должен составить для себя мысленный список первоначальных контрольных вопросов и приучиться всегда задавать их себе, с тем чтобы раз и навсегда установить упорядоченный и последовательный метод обследования.
Как указано в статье «Первая помощь во время вооруженных конфликтов», травма тупым предметом выше уровня ключицы требует надлежащего ухода за шейным отделом позвоночника, но при этом первоочередной задачей должно оставаться предотвращение угрожающих жизни проблем с дыхательными путями. В качестве простых средств применяют ручную стабилизацию в нейтральном положении, удерживая голову на аксиальной линии; полужесткий воротник; мешочки с песком; укрепление клейкой лентой; специальный спинодержатель.
Первичное обследование должно включать в себя диагноз любых угрожающих жизни проблем категорий «A», «B» или «C», а также определение тяжести, локализации и количества видимых ран. Совокупность этих двух элементов обследования необходима для установления приоритетов при сортировке раненых. Более всестороннее обследование для выявления всех ран должно проводиться после первичного ABCDE-обследования.
Важно определить, сколько времени прошло после ранения, какова была потеря крови и есть ли у раненого аллергия на что-либо. У раненых из числа гражданского населения нужно учитывать прошлые или предшествующие патологии, а также лечение хронических заболеваний. У молодых здоровых комбатантов обычно не бывает таких медицинских проблем.
В условиях больницы для проведения правильного обследования раненого нужно полностью раздеть, соблюдая, как говорилось выше, некоторые культурные или религиозные ограничения. Необходимо измерить основные показатели жизнедеятельности, ввести внутривенный катетер и взять пробы крови одновременно для определения группы крови и проверки совместимости крови донора и реципиента, а также для оценки гематокритного числа или гемоглобина, с тем чтобы иметь базу данных для дальнейших сравнений. Некоторые другие анализы, например, на электролиты плазмы крови, газы крови, глюкозу и т.д., проводят в зависимости от местных стандартов и возможностей лаборатории.
Обструкция дыхательных путей является критической ситуацией, требующей принятия безотлагательных мер. При некоторых ранениях обструкция дыхательных путей возникает сразу же, при других – через некоторое время. Ниже перечислены наиболее часто встречающиеся состояния, в результате которых возникают проблемы с дыхательными путями.
Помимо опасности аспирации рвоты, крови, сломанных зубов, кусков костей и инородных тел, язык и надгортанник могут запасть в гортань и закупорить дыхательные пути. Кроме этого, находившийся вначале в сознании раненый может через некоторое время мало-помалу терять сознание.
Даже если при поступлении пациент способен нормально дышать, развитие отека языка, диафрагмы полости рта и глотки через несколько часов может блокировать дыхательные пути.
При достаточно больших ранениях возникает «раневая трахеотомия».
Может произойти разрушение хрящей, ведущее к коллапсу дыхательных путей.
Гематома может постепенно нарастать, сжимая снаружи гипофаринкс или дыхательное горло.
Ожоги в результате воздействия обычного огня и дыма, специальных химических веществ раздражающего действия требуют внимательного наблюдения на предмет отеков и последующей обструкции или нарушения дыхания.
При травмах в результате вдыхания химических веществ требуется принимать особые меры предосторожности для обеззараживания пациента и любого оборудования, контактирующего с ним. Это не только является важной частью лечения, но и необходимо для защиты медицинского персонала и других пациентов.
ВАЖНО: состояния, ведущие к отложенной обструкции дыхательных путей, могут развиваться постепенно, и поэтому существует опасность того, что они не будут обнаружены вовремя, особенно при массовой сортировки раненых без должного контроля.
Так же, как и при оказании первой медицинской помощи, здесь применимы стандартные приемы лечения действительной или предполагаемой обструкции дыхательных путей.
|
Стандартными приемами для открытия и очистки ротовой полости являются выдвижение нижней челюсти или подъем подбородка: выдвинуть язык вперед, а затем пальцем и с помощью вакуумного отсоса (вакуумной аспирации), если он имеется, очистить ротовую полость, принимая меры для предохранения пальца. Эти приемы могут вызвать некоторое смещение шейного отдела позвоночника. Для уменьшения такого смещения нужно руками удерживать голову на аксиальной линии. В любом случае преимущественное значение имеет открытое состояние дыхательных путей.
Для поддержания проходимости дыхательных путей можно использовать ряд приспособлений:
Перечисленные приспособления поддерживают проходимость дыхательных путей, однако они не могут гарантировать защиту от рвоты и аспирации содержимого желудка.
При массовом потоке раненых персонал отделения неотложной помощи, пытаясь помочь всем, возможно, вынужден будет обратиться к более простому методу в качестве временной меры. В таких условиях спасительное положение (положение лежа на боку, посттонзиллэктомическое или полупронированное положение) будет самым лучшим положением для большинства раненых, у которых есть опасность обструкции дыхательных путей. До того, как появится возможность применить более надежные процедуры, спасительное положение на боку гарантирует определенную защиту от рвоты и аспирации.
Радикальные меры для обеспечения проходимости дыхательных путей применяют при следующих состояниях:
Наилучшим и самым простым способом поддержания проходимости верхних дыхательных путей и одновременной защиты от аспирации является эндотрахеальная интубация через нос или рот. Легко делать интубацию пациентам, находящимся в глубоком обмороке. Другие пациенты могут быть легковозбудимыми, раздражительными, несговорчивыми и страдать гипоксией. В таких случаях интубация требует применения седативных средств. Внутривенное введение различных препаратов (Диазепам, Пентотал, Пропофол, Кетамин) позволяет проводить быструю интубацию, не преодолевая сопротивления больного и не усугубляя гипоксию. Остановка сердца независимо от причины, а также тяжелый геморрагический шок (класса IV) требуют безотлагательной эндотрахеальной интубации. Альтернативой эндотрахеальной интубации является хирургическое вскрытие верхних дыхательных путей (трахеостомия, крикотироидотомия).
Необходимость хирургического вскрытия верхних дыхательных путей следует определить на ранней стадии и незамедлительно осуществить. Это может быть первичным вскрытием дыхательных путей (при челюстно-лицевых травмах, ранениях шеи, затрагивающих дыхательное горло, глотку или сопровождаемых гематомой) или вскрытием после неудавшейся попытки эндотрахеальной интубации. Хирургическое вскрытие дыхательных путей полезно также в случае отсутствия оборудования для проведения искусственного дыхания.
Трахеостомию проводят в плановом порядке. Единственным специфическим показанием для неотложной трахеостомии при пулевых или осколочных ранениях является прямое поражение гортани, то есть когда травматическую трахеостомию преобразуют в хирургическую. Выбор наиболее безопасной и подходящей методики обеспечения проходимости верхних дыхательных путей определяется в этом случае срочностью проблемы.
Быстрая процедура, безопасная и относительно бескровная (рисунок 1). Проводят горизонтальный разрез кожи, далее рассекают эластический конус гортани. Затем в разрез вводится рукоятка скальпеля и поворачивается горизонтально, поддерживая эластический конус в открытом состоянии, пока не будет вставлена малая трахеостомическая трубка.

Рисунок 1. Крикотироидотомия. A) Хирургические ориентиры: шея пациента должны быть вытянута, для чего под плечи нужно подложить подушечку. Путем пальпации определяют щитовидный и перстневидный хрящи; эластический конус обнаруживается как углубление между хрящами. B) Над эластическим конусом выполняют горизонтальный разрез кожи. Разрез раздвигают большим и указательным пальцами. Далее рассекают эластический конус гортани и расширяют разрез, вставляя в него рукоятку скальпеля, а затем поворачивая ее на 90°. C, D) В разрез вставляют трахеостомическую трубку и закрепляют ее. Вся процедура занимает не более 30 секунд.
Причину дыхательной недостаточности необходимо выяснить и провести лечение. Пациентам с черепно-мозговыми травмами для поддержания респирации нередко требуется интубация и вентиляция легких. Это же относится к параличу четырех конечностей, травме легких взрывной волной, химическим ожогам и ожогам при вдыхании дымовых газов. Перенесенное ранее заболевание также может ухудшить результат вентиляции легких раненого.
При клиническом обследовании может обнаружиться травма грудной клетки, снижающая респирацию:
Это состояние следует вначале лечить накладыванием бинта или липкопластырной повязки, хорошим обезболиванием и удобной укладкой пациента. При более тяжелых и сложных случаях может потребоваться плевральная дренажная трубка и интубация совместно с механической вентиляцией. Наибольшая сложность лечения связана с тем, что первопричиной обычно является ушиб легочной паренхимы.
Более подробно вопрос о флотирующем сегменте грудной клетки мы рассмотрим в отдельной статье.
При открытом пневмотораксе в отделении неотложной помощи накладывают окклюзионную повязку, приклеиваемую с трех сторон. После этого пациента направляют в операционную для обработки и закрытия раны в стенке грудной клетки и для введения межрёберного дренажа.
Отметим, что если плотно приклеить повязку со всех четырех сторон, то имеется риск превращения открытой раны в закрытый напряженный пневмоторакс!
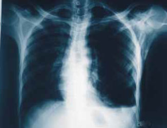
Диагностировать напряженный пневмоторакс по чисто клиническим показателям трудно, за исключением случая явной дыхательной недостаточности, когда не следует терять время на рентгенографию (рис. 2; также см статьи «Рентгенография: Травмы грудной клетки. Пневмоторакс. Пневмомедиастинум» и «Рентгенологический атлас: Травмы Грудной Клетки»). Это состояние требует немедленного введения канюли большого диаметра для венепункции во втором или третьем межреберье по среднеключичной линии (плевральная пункция), подсоединенной в качестве временной меры к одностороннему клапану Геймлиха, сделанному из подручных материалов (рисунок 3). Несомненным показателем пневмоторакса является внезапный прорыв воздуха, когда игла входит в плевральную полость. Канюля должна быть достаточно длинной (8 см) для того, чтобы полностью пройти сквозь мышцы стенки грудной клетки (толщина которой в среднем составляет 4–6 см). Плевральную пункцию необходимо как можно скорее заменить межреберной плевральной дренажной трубкой (установленной по среднеключичной линии или в пятом межреберье по переднеподмышечной линии).

Рисунок 2. Напряженный пневмоторакс с дыхательной недостаточностью. В данном случае диагностировать состояние можно было по клиническим показателям.

Рисунок 3. Односторонний «трепещущий» клапан Геймлиха из подручных материалов: широкая канюля вводится у верхнего края ребра. Палец хирургической перчатки с разрезом длиной 1 см у верхушки завязан вокруг канюли.
Плевральная пункция, однако, может не привести к ожидаемому результау даже при наличии напряженного пневмоторакса. Но отрицательный результат не обязательно говорит об его отсутствии. Хорошей проверкой является простая торакостомия пальцем в пятом межреберье по переднеподмышечной линии. И снова показателем положительного результата будет внезапный прорыв выходящего воздуха. Немедленно после этого нужно ввести плевральную дренажную трубку.
Другие, менее явные проявления напряженного пневмоторакса встречаются чаще, чем многие думают. В таблице 1 показаны важные для его диагностики признаки и симптомы (также см статью «Физикальная диагностика: Органы дыхания»). Они относятся к раненым, находящимся в сознании, и отличаются от симптомов пациентов, находящихся под воздействием седативных средств и под ИВЛ. Если пациенты не страдают дыхательной недостаточностью, но их болезненные проявления настораживают, то для подтверждения диагноза таких пациентов можно направить на рентгенологическое обследование. Тем не менее таких пациентов должны сопровождать лица, способные провести экстренную плевральную пункцию в случае быстрой декомпенсации их состояния.
|
Надежные ранние симптомы |
Ипсилате-ральная сторона |
Контралате-ральная сторона |
Декомпенсация |
Ненадежные симптомы |
|
Плевритная боль в груди (универсальный симптом) |
Чрезмерное увеличение объема грудной клетки |
Повышенная подвижность грудной клетки |
Снижение частоты дыхания |
Смещение трахеи к контралате-ральной стороне |
|
Кислородное голодание (универсальный симптом) |
Пониженная подвижность грудной клетки |
|
Пониженное давление |
Набухание шейных вен |
|
Дыхательная недостаточность (универсальный симптом) |
Высокий тимпанический звук при перкуссии |
|
Значительное снижение показателя SpO2 |
Послеопе-рационная эмфизема стенки грудной клетки |
|
Учащенное дыхание |
Сниженные дыхательные шумы при аускультации |
|
Нарушения сознания |
|
|
Тахикардия |
Дополнительные шумы при дыхании (крепитация, хипы) |
|
|
|
|
Снижение показателя SpO2 |
|
|
|
|
|
Возбуждение |
|
|
|
|
Дренирование кровотечения в грудную полость следует производить широкой плевральной дренажной трубкой. Эта процедура может спасти жизнь. При наличии клинических симптомов кровоизлияния в грудную полость межреберную трубку необходимо ввести до рентгеновского обследования. Плевральные дренажные трубки обычно вводят под местной анестезией. При необходимости иссечения раны лучше подходит анестезия кетамином. Информацию о введении плевральной дренажной трубки (торакостомии) мы предоставим в отдельной сатье.
После введения трубки может потребоваться вспомогательная вентиляция легких. Как правило, вспомогательную ИВЛ назначают при следующих состояниях:
Вспомогательную вентиляцию легких можно проводить с помощью ручных приспособлений:
Вспомогательную вентиляцию можно производить также с помощью аппарата искусственной вентиляции легких.
В условиях больницы имеется возможность назначать вспомогательную кислородную терапию путем централизованной подачи кислорода или из баллонов с кислородом, либо используя экстракторы или концентраторы кислорода.
Например, медиуи Красного Креста обычно работают в условиях ограниченных ресурсов, и поэтому аппараты ИВЛ не являются для них стандартно применяемым оборудованием. Лишь немногих пациентов медиуи могут в течение какого-то времени поддерживать искусственным дыханием с помощью ручных приспособлений. При этом в ситуации массовых людских потерь применяют принцип сортировки раненых, и большинство пациентом, которым требуется вспомогательная вентиляция легких, отнесятся к категории IV, то есть вспомогательную вентиляцию им проводить не будут.
ПРОДОЛЖЕНИЕ: «Помощь раненым в отделении неотложной помощи. Часть 2»
Первая помощь – это самая первая медицинская помощь, оказываемая раненому или больному...
Даже при условии усиленной подачи кислорода (10-15 л/мин) через маску с резервуаром и высоким...
Представленные в этой статье рентгенограммы являются дополнением к статье...
Утоплением называется состояние, при котором дыхательные пути заполняются жидкостью (как...
Основной целью первичных реанимационных мероприятий является восстановление проходимости...
анализы, БАД, биологическая медицина, витамины, гастроэнтерология, гигиена, гинекология, гомеопатия, дерматология, диагностика, диетология, заболевания, иммунология, инфекционные заболевания, инфекция, исследования, кардиология, кожа, косметика, красота, лекарственные растения, лечение, лицо, неврология, обследование, оздоровление, онкология, ортопедия, педиатрия, питание, пищеварительная система, поведение, похудение, препараты, продукты, профилактика, процедура, психология, пульмонология, рак, реабилитация, сердечно-сосудистая система, ССС, тело, терапия, травматология, уход, фитотерапия, хирургия, эндокринология
Показать все теги

Комменатрии к новости