ХИРУРГИЯ: Панкреатит. ЧАСТЬ 2
Хронический панкреатит – хронический воспалительный процесс, сопровождающийся...
Специалистам / Методические пособия / Методические пособия (статья)
ПанкреатитПоджелудочная железа (pancreas) – железа смешанной секреции, часть клеток которой обладают экзокринной (внешнесекреторной) функцией, другая часть – эндокринной (внутрисекреторной). Подробное рассмотрение анатомических и физиологических аспектов поджелудочной железы в этой статье не представлены, так как это очень объемный материал и требует отдельного рассмотрения (см статью «Физиология поджелудочной железы. Панкреатический сок. Амилаза»).
В контексте этой статьи укажем основные положения, касающиеся представленного материала:
- Чтобы не повредить ткани поджелудочной железы, ферменты выделятся в форме проферментов, которые также называют проэнзимы, зимогены или энзимогены, то есть – функционально неактивные ферменты
- Проферменты депонируются в везикулах (ингибиторы не дают им выделяться)
- Протеазы отделяют полипептидную цепь от проферментов, в результате чего происходит их активация
- Энтеропептидаза активирует трипсиноген в трипсин
- Трипсин активирует проферменты
В случае преждевременной активации трипсиногена и других проферментов развивается острый панкреатит.


Поджелудочная железа (pancreas)
- α-клетки – глюкагон
- β-клетки – инсулин
- γ-клетки (или PP-клетки) – панкреатический полипептид
- γ1-клетки – гастрин (выделение НСI и стимуляция секреции)
- δ-клетки – соматостатин
- δ1-клетки – вазоактивный интестинальный пептид (ВИП)
- Энтерохромаффинные клетки – серотонин

Острый панкреатит возникает из-за разрушительного действия ферментов, которые выделяются из поврежденных клеток поджелудочной железы; бывает двух типов:
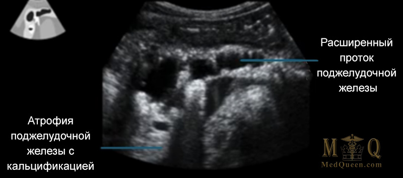
Хронический панкреатит характеризуется развитием атрофии, фиброза, кальцификацией тканей поджелудочной железы, что вызывает необратимые изменения.
Основными причинами развития острого панкреатита являются хронический алкоголизм (см статью «Грех чревоугодия…») и желчнокаменная болезнь (см статью «Холелитиаз. F-факторы риска»).
К другим причинам развития острого панкреатита относятся:
В зарубежной литературе можно встретить мнемонику «I GET SMASHED» (дословно можно перевести как «я разбит» или «я разбился»): «I» - «Idiopathic» (идиопатический панкреатит), «G» - «Gall stones» (желчные камни), «E» - «Ethanol» (алкоголь; этанол), «T» - «Trauma» (Травма), «S» - «Steroids» (Стероиды), «M» - «Mumps» (эпидемический паротит), «A» - «Autoimmune» (аутоиммунные заболевания), «S» - «Scorpion poison» (яд скорпиона), «H» - «Hypercalcemia, Hypertriglyceridemia» (гиперкальциемия, гипертриглицеридемия), «E» - «ERCP» (эндоскопическая ретроградная холангиопанкреатография), «D» - «Drugs» (препараты).

Камни в желчном пузыре. Желчные камни мигрируют из желчного пузыря, что может привести к обтурации сфинктера Одди (см статью «ХИРУРГИЯ: Холецистит (Краткий обзор)»)
- Алкоголь стимулирует секрецию проферментов, повышает выделение жидкости и бикарбонатов ацинарными клетками. В результате повышается концентрация панкреатического сока, а также могут образовываться бляшки, которые блокируют протоки.
- Жидкость накапливается, вызывая расширение и деформацию протока.
-Лизосомы соединяются с зимогенными гранулами → начинается процесс самопереваривание ацинарных клеток.
- Стимуляция выделения цитокинов → иммунный ответ → нейтрофилы высвобождают оксидазу и протеазу → активация АФК (активной формы кислорода)

Активация трипсиногена
- Повреждение клеток поджелудочной железы → разрыв сосудов → отек → активация липаз → разрушение парапанкреатической клетчатки → разрушение ткани → жидкий геморрагический некроз → осложнения (псевдоцкисты)

- Псевдокисты поджелудочной железы могут инфицироваться и разрываться
- Лейкоцитоз с нейтрофильным сдвигом влево
- Повышение гематокрита (HCT), обусловленное высокой гемоконцентрацией из-за потери жидкости в третьем пространстве и неадекватной реанимацией жидкости
- Снижение гематокрита свидетельствует о развитии острого геморрагического панкреатита
- Отмечается повышение уровней амилазы, липазы, АЛТ, билирубина, СРБ (см статью «Диагностика заболеваний поджелудочной железы»)
- Нужно определить уровень кальция

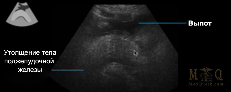
Интерстициальный отечный панкреатит (interstitial edematous pancreatitis-IEP) с гипоэхогенной жидкостью

Некротический панкреатит

Хронический панкреатит

Панкреатит на фоне холедохолитиаза

Кальцинированные камни в поджелудочной железе
Рентгенологическая картина при остром панкреатите характеризуется:
Ретроградная холангиопанкреатография (РХПГ) позволяет выявить кисты в поджелудочной железе


Ретроградная холангиопанкреатография
Клиническая оценка жалоб пациента рассмотрена в статье «Оценка Жалоб Пациента: Гепатит и Панкреатит»; вопросы нарушения ферментативной функции поджелудочной железы – «Причины гиперамилаземии» и «Ферментная недостаточность в практике врача».
- Срочная ретроградная холангиопанкреатография и сфинктеротомия
- Холецистэктомия
ПРОДОЛЖЕНИЕ: ХИРУРГИЯ: Панкреатит. ЧАСТЬ 2
Хронический панкреатит – хронический воспалительный процесс, сопровождающийся...
Желчный пузырь (vesica fellea) – непарный орган, длина которого составляет в среднем...
Острый панкреатит считается относительно распространенной патологией. Например, в...
Поджелудочная железа представляет собой орган бледно-желтого цвета, мягкой консистенции, длина...
Острый панкреатит - острое воспаление поджелудочной железы, развитию которого способствуют...
анализы, БАД, биологическая медицина, витамины, гастроэнтерология, гигиена, гинекология, гомеопатия, дерматология, диагностика, диетология, заболевания, иммунология, инфекционные заболевания, инфекция, исследования, кардиология, кожа, косметика, красота, лекарственные растения, лечение, лицо, неврология, обследование, оздоровление, онкология, ортопедия, педиатрия, питание, пищеварительная система, поведение, похудение, препараты, продукты, профилактика, процедура, психология, пульмонология, рак, реабилитация, сердечно-сосудистая система, ССС, тело, терапия, травматология, уход, фитотерапия, хирургия, эндокринология
Показать все теги

Комменатрии к новости