УЗИ трансплантата почки и поджелудочной железы. Часть 1
Трансплантация почки показана больным с хронической почечной недостаточностью, которые...
Медицина / Диагностика / Диагностика (статья)
УЗИ в педиатрииВ норме средний показатель длины почек у новорожденного составляет примерно 4,5 ± 0,6 см. Эмпирическая закономерность – увеличение длины на 1 мм каждую неделю срока беременности.
Сопоставимость эхогенности коркового вещества почек по отношению к печени у детей следующая:
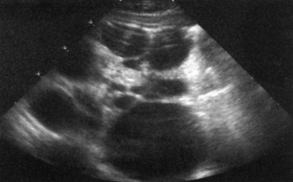
Ультразвуковая картина почек у новорожденных и грудных детей имеет характерные выраженные гипоэхогенные пирамиды мозгового вещества. При гидронефрозе собирающая система почек более гипоэхогенная по отношению к пирамидам, также она соединена между чашечками, тогда как пирамиды не имеют гипоэхогенных соединяющих структур (фото 1). Часто такие отличия трудно определить – в этом случае с целью исключения гидронефроза исследование проводят в положении пациента лежа на животе, применяя высокочастотный датчик (> 8 МГц) (линейный или изогнутый).

Фото 1. Почка новорожденного с умеренным гидронефрозом и задним клапаном уретры. Продольное ультразвуковое изображение: отмечается расширение основной чашечки верхнего полюса и центральной части почечной лоханки
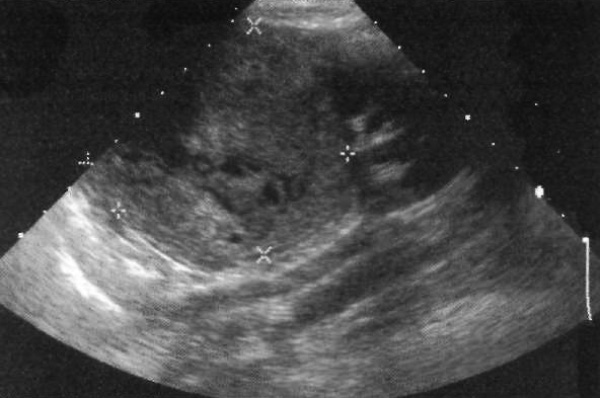
Часто у практически здоровых новорожденных на УЗИ наблюдается переходящее повышение эхогенности пирамид (это состояние называют застойной нефропатией) – такая картина разрешается к концу второй недели жизни ребенка (фото 2). Аналогичное повышение эхогенности выявляют у недоношенных детей, а также у детей с патологиями сердца, которые получают мочегонные препараты (лазикс, фуросемид и др).

Фото 2. Почка недоношенного ребенка. Ультразвуковое изображение в продольной проекции правой почки: стрелкой обозначены множественные гиперэхогенные пирамиды, которые при последующих наблюдениях у данного пациента не обнаруживались
Основными причинами развития антенатального гидронефроза являются:
Кроме перечисленных причин, патология может также развиваться вследствие других нарушений: первичный мегауретер, синдром «подрезанного живота», обструкция при аномалиях удвоения собирающей системы.
Ультразвуковые признаки обструкции почечной лоханки характеризуются расширением чашечно-лоханочной системы с непропорционально увеличенными почечными лоханками; признаки расширения мочеточника отсутствуют.
Классификация данной патологии основана на определении тяжести рефлюкса с помощью микционной цистоуретрограммы, которую проводят во время мочеиспускания.
|
Степень рефлюкса |
Описание |
|
I |
Контраст забрасывается только в мочеточник |
|
II |
Контраст достигает нерасширенной почечной лоханки |
|
III |
Контраст достигает почечной лоханки, мочеточник умеренно расширен и чашечно-лоханочной системы (IIIA) или при умеренном расширении с ранним выравниванием форниксов |
|
IV |
Умеренная пиелоуретерэктазия с облитерацией углов сводов; сосочковые вдавления при этом сохранены |
|
V |
Наблюдается средняя или тяжелая пиелоуретерэктазия с полной или практический полной облитерацией сосочковых вдавлений (последнее может быть обусловлено значительным расширением собирающей системы) |
Диагностику везико-уретерального рефлюкса проводят путем флуоресцентной цистоуретрографии или микционной радионуклидной цистографии. Также для диагностики патологии применяют ультразвуковое исследование с контрастированием (в этом случае хорошие результаты можно получить путем использования гармонического изображения).
Пузырно-мочеточниковый рефлюкс бывает одно-, двусторонним или попеременным. Незначительный рефлюкс у детей можно успешно лечить путем медикаментозной терапии, также по мере взросления бывают случаи спонтанного разрешения. Однако части пациентов требуется хирургическое вмешательство.
Отметим, что пузырно-мочеточниковый рефлюкс нельзя исключить на основании нормальной ультразвуковой картины почек, поскольку даже при отсутствии визуализируемого гидронефроза или гидроуретера у больного может быть значительный рефлюкс. Также возможна и обратная ситуация: при заполненном мочевом пузыре или в положении пациента лежа на животе наблюдается умеренное расширение собирающей системы (особенно центральных отделов) на фоне отсутствия патологии. Пузырно-мочеточниковый рефлюкс можно диагностировать на УЗИ с использованием контрастного вещества.
Использование УЗИ для исследования новорожденного с антенатальным гидронефрозом не рекомендуется, поскольку сразу после родов ребенок пребывает в состоянии относительной дегидратации, что приводит к получению ложноотрицательных результатов. Выполнение ультразвукового исследование через неделю после родов снижает риск получения ложноотрицательного результата.
В большинстве случаев везико-уретерального рефлюкса у детей отмечается спонтанное разрешение на протяжение нескольких месяцев. Больные с невысокой степенью рефлюкса по данным микционной цистографии (I-III) имеют больше шансов на выздоровление, чем больные с IV-V степенью. Ежегодное УЗИ в основном проводят с целью наблюдения за состоянием пациентов, которые получают консервативное лечение (как правило, это – антибактериальная профилактика). Если данные УЗИ демонстрируют нормальный рост почек и отсутствуют признаки их рубцевания, продолжают консервативное лечение.
Операция STING проводится путем цистоскопии, при этом проводят субуретеральное введение в зону устья мочеточника тефлона или другого биологически инертного вещества с целью устранения везико-уретерального рефлюкса. УЗИ демонстрирует внутри задней стенки мочевого пузыря эхогенное возвышение (фото 3). Если характерный бугорок (возвышение) не определяется, это свидетельствует о неудачном проведении операции, поскольку введенный материал переместился. Иногда он может смещаться вверх к почке: при этом он визуализируется как эхогенное образование в просвете собирающей системы и дает заднее затенение.

Фото 3. Мочевой пузырь. Ультразвуковое изображение мочевого пузыря в поперечной проекции у ребенка дошкольного возраста после операции STING: стрелкой обозначен характерное возвышение
Ультразвуковая картина пиелонефрита демонстрирует отек почки, очаговые гиперэхогенные области, потерю дифференцировки мозгового и коркового вещества и утолщение стенки собирающей системы. Чувствительность УЗИ при диагностике пиелонефрита составляет около 50%. Усиленная допплерография позволяет повысить чувствительность диагностики за счет обнаружения зон относительной ишемии. Нужно отметить, что контрастная КТ, МРТ и ДМСА-сцинтиграфия (сцинтиграфия с 99mТс-ДМСА) при диагностике пиелонефрита обладают чувствительностью до 90%.
Ультразвуковые признаки рефлюкс-нефропатии характеризуются истончение коркового вещества (особенно по полюсам) и задержкой развития почек. Патология вызывает рубцевание и уменьшение размеров пораженной почки с вероятными тяжелыми отдаленными последствиями (осложнениями – например, гипертония, почечная недостаточность и др).
Рубец описывают как «дерн» в коре почки с верхушкой, которая перекрывает пирамиду мозгового вещества. При этом картину рубца могут симулировать следующие изменения:
В большинстве случаев это изменение обнаруживают случайно. Большинство детей имеют удвоение собирающей системы разной степени выраженности: от неполного удвоения лоханочной системы до полного раздельного сосуществования двух отдельных почечных лоханок, мочеточников и мочеточниковых отверстий с одной стороны. При этом следует обратить внимание на тот факт, что, несмотря на отсутствие непосредственных клинических признаков, обнаружение удвоения собирающей системы играет важную роль, поскольку при этой аномалии возможны серьезные осложнения.
Закон Вейгерта-Мейера
Закон Вейгерта-Мейера гласит, что при полном удвоении собирающей системы почки наблюдаются следующие изменения:
Уретероцеле в большинстве случаев диагностируют при удвоенной собирающей системе почки, однако патология может быть и при неудвоенной собирающей системе. В отличие от небольшого уретероцеле в форме «головы кобры» (часто выявляют у женщин пожилого возраста без удвоения собирающей системы – так называемое «простое уретероцеле»), эктопическое уретероцеле в большинстве случаев имеет большие размеры, вызывает обструкцию верхней половины собирающей системы при ее удвоении или нарушению оттока из мочевого пузыря.
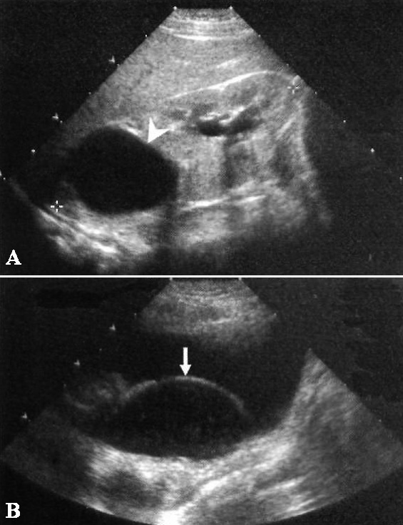
Если ультразвуковое исследование демонстрирует удвоение собирающей системы с гидронефрозом верхнего полюса, значит в мочевом пузыре нужно искать уретероцеле (фото 4).

Фото 4. Гидронефроз и уретероцеле. А – продольное ультразвуковое изображение правой почки у ребенка: указателем отмечен выраженный гидронефроз верхней половины удвоенной почки. Также нужно обратить внимание на незначительное выпячивание центрального отдела собирающей системы нижней половины, обусловленное везикоуретеральным рефлюксом (закон Вейгерта-Мейера). В – поперечное ультразвуковое изображение мочевого пузыря того же больного: стрелкой обозначено большое обструктивное уретероцеле, исходящее справа от срединной линии
В случае двустороннего удвоения с двусторонним эктопическим уретероцеле такие образования могут находиться вблизи средней линии мочевого пузыря («целующиеся уретероцеле»), что часто вызывает обструкцию оттока из пузыря. Уретероцеле могут лабировать и визуализироваться как объемное образование при интравагинальном исследовании у молодых женщин.
Аутосомно-рецессивный поликистоз почек некоторые специалисты также называют детской формой поликистоза почек, поскольку большинство случаев диагностируют у детей, хотя заболевания могут выявлять и у взрослых. На УЗИ отмечается расширение собирательных трубочек почек и перипортальный фиброз печени. Отметим, что при этой патологии степень поражения печени и почек обратно пропорциональные.
Характерной ультразвуковой картиной аутосомно-рецессивного поликистоза является двустороннее увеличение и повышение эхогенности почек без дифференцировки на мозговое и корковое вещество (фото 5).

Фото 5. Аутосомно-рецессивный поликистоз почек. А – продольное изображение правой почки. B – продольное изображение левой почки 9-летнего пациента. Стрелками обозначены множественные мелкие кисты; также отмечается общая повышенная эхогенность, плохая дифференцировка мозгового и коркового вещества
Аутосомно-доминантный поликистоз почек также называют взрослым поликистозом почек, однако этот термин считается неуместным (как и детский поликистоз почек), поскольку эта патология может прогрессировать в детском возрасте (даже у младенцев). На УЗИ в мозговом и корковом веществе почек визуализируются макроскопические кисты (аналогичные изменения обнаруживают в печени и поджелудочной железе). При этой патологии кисты в печени диагностируют примерно в 70-75% случаев. Также существует корреляция с образованием мешотчатых аневризм сосудов головного мозга. Ультразвуковое исследование позволяет обнаружить диффузное увеличение размеров почек и повышение их эхогенности (такая картина у детей напоминает аутосомно-рецессивный поликистоз почек). У более взрослых пациентов обнаруживают множественные паренхиматозные макрокисты.
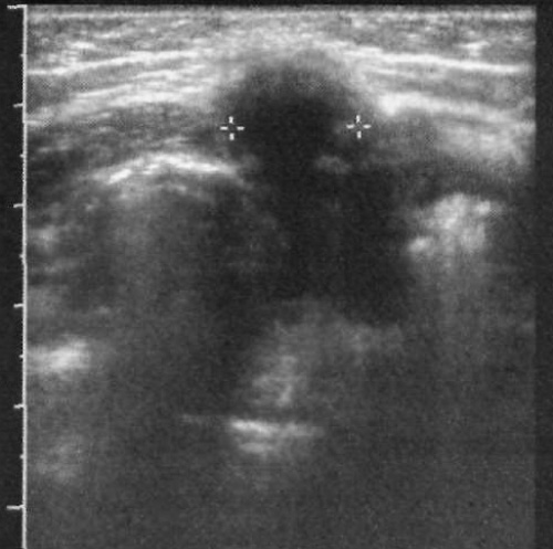
Мультикистоз почек является наиболее распространенной причиной развития объемных образований у младенцев. Диспластический мультикистоз почек может поражать только один сегмент почки или одну часть удвоенной почки, однако, чаще всего в патологический процесс вовлекается вся почка. Патология характеризуется образованием множественных не сообщающихся друг с другом кистозных структур разного размера. Наиболее распространенным вариантом является формирование наиболее крупных кист на периферии почки (фото 6). При этом артерия почки отсутствует или непроходима, мочеточник не сообщается с лоханкой, таким образом, почка не функционирует.

Фото 6. Мультикистоз почки. Продольное ультразвуковое изображение правой почки ребенка: наблюдаются множественные несообщающиеся между собой кисты
Дифференцировать диспластический мультикистоз почек с гидронефрозом в большинстве случаев позволяют ДМСА-сцинтиграфия или фуросемидная урография с MAG3. При диспластическом мультикистозе наблюдается полное отсутствие функциональной активности пораженного участка почки. Если на урограмме наблюдается замедление прохождения контраста, или уменьшение поглощения контраста на сцинтиграфии почек (поглощение все-таки наблюдается!), это с большой вероятностью указывает на гидронефроз, обусловленный обструкцией лоханочно-мочеточникового сегмента.
Нефробластома (опухоль Вильмса) – злокачественное образование из зародышевых клеток, развивающаяся в раннем детстве (пик развития заболевания наблюдается в 3-летнем возрасте). На УЗИ в зоне поражения визуализируется крупное образование неоднородной эхоструктуры (фото 7). На периферии может определяться поясок пониженной или повышенной эхогенности – ложная капсула. При этом нужно проверить ультразвуковые симптомы распространения опухоли в ипсилатеральную почечную вену и далее – в нижнюю полую вену.

Фото 7. Нефробластома. Ультразвуковое изображение левой почки в продольной проекции 4-летней девочки: курсорами отмечено крупное гиперэхогенное образование, которое замещает верхнюю половину почки.
Развитию нефробластомы часто предрасполагают следующие состояния:
Туберозный склероз (бугорковый склероз, болезнь Бурневилля) ассоциируется с ангиомиолипомой почек (гамартомой). При этом ультразвуковая картина демонстрирует повышение эхогенности коркового вещества почек, обусловленное повышенным содержанием в них жира. В большинстве случаев патология имеет бессимптомное течение. В некоторых случаях у больных возникает гематурия, может обнаруживаться пальпируемое образование.
Кандидоз может сопровождаться нефромегалией с повышением эхогенности. Также могут визуализироваться «грибковые шарики» (эхогенный мицет) внутри расширенной собирающей системы, что может быть причиной нарушения оттока мочи (обструкции).
Тромбоз почечной вены является причиной развития отека почки со стороны поражения, при этом на УЗИ отмечается повышение эхогенности, которая исчезает в течение нескольких недель, после чего почка становится гипоэхогенной и имеет неоднородную структуру. Ультразвуковая картина хронического тромбоза демонстрирует почти нормальный орган или незначительное сморщивание почки на фоне повышенной эхогенности. Нужно искать тромб с полной или частичной окклюзией почечной вены (тромб должен вызывать увеличение индекса артериального сопротивления).
У новорожденных с задним клапаном уретры есть указания на маловодие и пренатальный гидронефроз. Патология характеризуется наличием ткани, которая закупоривает складки внутри задней уретры. При этом на ультразвуковом исследовании выявляют односторонний или двусторонний гидронефроз (так называемый «механизм отдачи» - на фоне тяжелого поражения одной почки друга почка относительно сохранена), утолщение стенки мочевого пузыря, гидроуретер, повышение эхогенности почки. В некоторых случаях выявляют мочевой асцит. Иногда обнаруживают расширение задней уретры (при использовании чреспромежностного доступа). Постановка окончательного диагноза проводится на основании данных микционной цистоуретрографии.
Мезобластическая нефрома похожа на нефробластому. Ультразвуковая картина демонстрирует крупное неоднородное образование с гомогенным или неоднородным усилением эхоструктуры. Часто мезобластическую нефрому выявляют в младенческом возрасте (нефробластому диагностируют, как правило, в 3-летнем возрасте).
Мультилокулярная кистозная нефрома на УЗИ у младенца также может визуализироваться как крупное почечное образование, однако, это образование характеризуется наличием крупных кистозных пространств, перемежающихся небольшими участками стромы. Пограничным злокачественным вариантом мультилокулярной кистозной нефромы является кистозная частично дифференцированная нефробластома (редкая опухоль, которую нельзя дифференцировать с мультилокулярной кистозной нефромой с помощью УЗИ).
Ультразвуковая картина нейрогенного мочевого пузыря характеризуется уменьшением размеров пузыря и утолщением его стенок (в норме толщина стенок мочевого пузыря зависит от степени его наполнения и составляет в среднем 5 мм). Чтобы минимизировать риск возможных осложнений (например, инфекция или рефлюкс-нефропатию), проводят хирургическую операцию по увеличению объема мочевого пузыря, используя ткани тонкого или толстого кишечника, которые в норме выделяют слизь, что может быть причиной образования эхогенного осадка.
Цистостомия по Митрофанову подразумевает использование аппендикса для фиксации увеличенного в размере мочевого пузыря к брюшной стенке (данная операция позволяет удерживать мочу и периодически проводить самостоятельную катетеризацию мочевого пузыря без необходимости использования мочеприемника).
Урахус – эмбриональная структура, посредством которой у плода сообщаются купол мочевого пузыря и пупок. Закрытие (облитерация) урахуса в норме происходит примерно к концу II триместра беременности. Если проходимость урахуса сохраняется до момента рождения, это может вызывать воспаление и инфекцю. При открытом урахусе у новорожденных или младенцев в пупочной области возникает воспаление, отмечается постоянное увлаженение этой области.
При открытом урахусе на УЗИ в сагиттальной плоскости наблюдается узкую полость, заполненную жидкостью. Эта полость находится между куполом мочевого пузыря и поверхностью пупка. Также могут обнаруживаться такие аномалии развития, как срединные кисты урахуса, локализованные между куполом пузыря и пупком (эти кисты могут быть анэхогенными, а в случае инфекции в них часто образуется осадок), пазуха урахуса (фото 8) и дивертикул урахуса, который визуализируется как заполненная жидкостью структура, прилегающая к куполу мочевого пузыря.

Фото 8. Пазуха урахуса. Поперечное ультразвуковое изображение околопупочной области у младенца. Курсорами обозначен канал, заполненный жидкостью, который приближается к куполу мочевого пузыря в продольной проекции (не показана), но несоединенный с ним. Исследование проводили с помощью линейного датчика
Очень важно уметь дифференцировать рабдомиосаркому мочевого пузыря с циститом. Ультразвуковая картина цистита, как правило, демонстрирует однородное утолщение стенки мочевого пузыря без каких-либо очаговых образований. При рабдомиосаркоме часто обнаруживают очаговое эхогенное образование, похожее на ягоду винограда, или неоднородные скопления. Нужно отметить, что цистит также может быть очаговым и напоминать опухоль, но рабдомиосарком, в свою очередь, дает более однородную инфильтрацию стенки мочевого пузыря, поэтому в спорных случаях необходимо провести тщательную диагностику, включая цистоскопию.
Пионефроз – скопление гноя, вызывающее закупорку собирающей системы почек. Чаще всего пионефроз развивается в результате инфекции Escherichia coli (кишечная палочка). Отметим, что пионефроз является неотложным патологическим состоянием, при котором требуется в ургентном порядке декомпрессия оттока мочи (как правило, путем нефростомии под рентгеновским или ультразвуковым контролем). Аналогичные признаки могут наблюдаться у пациентов без инфекционного процесса, поэтому для постановки точного диагноза нужно собрать подробный анамнез, а также провести ряд лабораторных анализов.
Синдром Игла-Барретта (синдром «подрезанного живота», Prune-belly; синдром Eagle-Barrett) характеризуется гипоплазией или аплазией передней брюшной стенки, двусторонним крипторхизмом, а также разными аномалиями мочевыводящей системы. При визуальном осмотре младенца наблюдается морщинистая брюшная стенка, которая имеет вид чернослива.
Патологические изменения мочевыводящей системы при синдроме «подрезанного живота» включают выраженный уроуретер (гидроуретер) и умеренное расширение почечной лоханки с (в тяжелом случае отмечается незначительное расширение чашечек). Также можно обнаружить расширение уретры и кистозное образование по срединной линии, которое представляет собой остаток мюллерова протока, локализованного между прямой кишкой и мочевым пузырем). При этом мочевой пузырь значительно увеличен, его стенки утолщены (микционная цистограмма демонстрирует конфигурацию часового стекла).
Экстрофия мочевого пузыря – врожденная патология, характеризующаяся отсутствием передней стенки мочевого пузыря и соответствующей ей части брюшной стенки с выворотом (энверсией) задней стенки мочевого пузыря через образовавшееся отверстие. Частота заболевания составляет примерно 1 случай на 10 000 живорожденных. Диагноз очевиден сразу после рождения. У мальчиков наблюдается сопутствующая эписпадия. В некоторых случаях есть сочетанные аномалии позвонков. При этом часто проводят хирургическую реконструкцию мочевого пузыря, иногда требуется увеличение и отведение мочевого пузыря.
Трансплантация почки показана больным с хронической почечной недостаточностью, которые...
Ультразвуковое исследование мочевого пузыря проводят в продольной и поперечной плоскости,...
Основной функцией почек является выведение продуктов метаболизма из организма путем фильтрации...
На УЗИ камни в почках визуализируются в виде очагов со значительной гиперэхогенностью по...
В физиологическом (здоровом) состоянии в мочевыводящих путях от почек до последней трети...
анализы, БАД, биологическая медицина, витамины, гастроэнтерология, гигиена, гинекология, гомеопатия, дерматология, диагностика, диетология, заболевания, иммунология, инфекционные заболевания, инфекция, исследования, кардиология, кожа, косметика, красота, лекарственные растения, лечение, лицо, неврология, обследование, оздоровление, онкология, ортопедия, педиатрия, питание, пищеварительная система, поведение, похудение, препараты, продукты, профилактика, процедура, психология, пульмонология, рак, реабилитация, сердечно-сосудистая система, ССС, тело, терапия, травматология, уход, фитотерапия, хирургия, эндокринология
Показать все теги

Комменатрии к новости