УЗИ при травме
Для диагностики травм применяют методику FAST (Focused abdominal sonography for trauma)...
Медицина / Диагностика / Диагностика (статья)
УЗИПри подозрении на острый аппендицит ультразвуковое исследование назначают в случаях, когда патология имеет нетипичную клиническую картину. Типичная клиническая картина острого аппендицита характеризуется наличием боли в животе, которые могут в начале быть в околопупочной области и перемещаться в нижний правый квадрант живота, анорексии, повышением температуры тела, тошнотой, рвотой, лейкоцитозом. Таким пациентам показано ургентное хирургическое вмешательство. В остальных случаях УЗИ может либо подтвердить диагноз острого аппендицита, либо установить альтернативный диагноз.
В диагностике острого аппендицита чувствительность ультразвукового исследования составляет примерно 89-96%, специфичность – 89-98%.
Исследования подразумевает применение методики постепенного сдавливания с помощью линейного датчика максимальной частоты, что дает возможность визуализировать глубокие ткани в нижнем квадранте живота. Нежное, постепенное и достаточно активное давление нужно оказывать до тех пор, пока на экране монитора не будут визуализироваться анатомические ориентиры – подвздошные сосуды и поясничная мышца. Постепенное сдавливание также позволяет оттеснить газы кишечника и расположить датчик ближе к червеобразному отростку, который в норме локализован кпереди от подвздошных сосудов и поясничной мышцы (см статью «УЗИ при патологиях кишечника»).
Процедуру исследования следует начинать с того, что попросить ребенка указать пальцем на область максимальной боли. При наличии симптома Мак-Бернея датчик можно направить непосредственно на воспаленный аппендикс.
Мочевой пузырь должен быть частично наполнен, чтобы обеспечить окно для визуализации органов таза (перерастянутый может смещать слепую кишку и аппендикс, а также затруднять сдавливание органов в исследуемой области).
В норме ультразвуковая картина аппендикса демонстрирует трубчатую структуру, которая сжимается и имеет слепое окончание. Типичная внутренняя гиперэхогенная линия окружена гипоэхогенной внешней зоной – эти образования соответствуют подслизистому слою и собственной мышечной оболочке (фото 1). Поскольку червеобразный отросток в большинстве случаев извитой или изогнутый, иногда его невозможно полностью вывести на одном изображении.

Фото 1. Червеобразный отросток в норме. Продольное ультразвуковое изображение здорового аппендикса: стрелками обозначен внутренний гиперэхогенный слой слизистой оболочки, которую окружает гипоэхогенная собственная мышечная оболочка. Указателями отмечена вогнутая передняя стенка при ее сдавлении
Кровоток в нормальном аппендиксе при цветовой допплерографии не определяется.
Ультразвуковая картина острого неперфоративного аппендицита демонстрирует увеличение наружного диаметра червеобразного отростка > 6 мм (фото 2). Измерение диаметра проводят при оптимальном сдавливании и визуализации слепого окончания аппендикса.

Фото 2. Аппендицит. Поперечное ультразвуковое изображение демонстрирует увеличенный червеобразный отросток. Стрелками обозначены внешние края, по которым проводят измерение диаметра. Также нужно обратить внимание на отсутствие возможности сдавливать аппендикс
Перфоративный аппендицит может иметь нормальный диаметр, поэтому требуется внимательно исследовать весь орган, в том числе его верхушку (фото 3).

Фото 3. Аппендицит. Продольное ультразвуковое изображение увеличенного червеобразного отростка: указателем отмечена слепо заканчивающаяся верхушка
С возрастом критерии увеличения аппендикса не меняются.
К дополнительным ультразвуковым критериям аппендицита можно отнести усиление кровотока в толще стенки неперфоративного червеобразного отростка (при проведении цветовой допплерографии), а также визуализацию периаппендикулярного жира (фото 4). Могут определяться периаппендикулярные воспалительные изменения, газ или жидкость (фото 5). В некоторых случаях визуализируются эхогенные фекальные конкременты, которые дают акустическую тень. Также может наблюдаться большое количество увеличенных брыжеечных лимфоузлов (фото 6).

Фото 4. Аппендицит. Поперечное ультразвуковое изображение: стрелками обозначен воспаленный и увеличенный аппендикс; указателем обозначена зона увеличенного кровотока в стенке червеобразного отростка

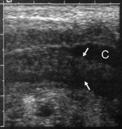
Фото 5. Аппендицит. Ультразвуковое изображение правого нижнего квадранта живота в продольной проекции: стрелками обозначено монстрирующее увеличение червеобразного отростка, в периаппендикулярной клетчатке наблюдается скопление жидкости (С)

Фото 6. Увеличенные мезентериальные лимфоузлы. Поперечное ультразвуковое изображение нижнего правого квадранта живота: стрелками обозначены увеличенные лимфатические узлы
Помимо области нижнего правого квадранта живота часто исследуют полость таза через частично заполненный мочевой пузырь. Кроме этого, в случае визуализации нормального (здорового) червеобразного отростка, либо при сомнениях в постановке диагноза, с целью исключения гидронефроза исследуют почки в продольной проекции (см статью «УЗИ почек»).
Имитировать аппендицит у детей могут: гастроэнтерит, воспаление толстой кишки, мезаденит, перекрут яичника (см статью «УЗИ: Перекрут яичника»), а также воспалительные патологии в области таза. В некоторых случаях спровоцировать похожую клиническую картину аппендицита может сегментарный инфаркт сальника, мочекаменная болезнь или почечная колика.
Визуализация червеобразного отростка может быть затруднена по следующим причинам:
Отметим, атипичная локализации аппендикса и редкие случаи обнаружения нормального червеобразного отростка в атипичном месте сильно ограничивают применение УЗИ. Также обратим внимание, что успешное применение методики постепенного сдавливания при проведении УЗИ зависит в огромной степени от подготовки врача, который проводит исследование. Постановка ложного диагноза острого аппендицита может быть обусловлена сходством червеобразного отростка с терминальным отделом подвздошной кишки.
Дифференцировать аппендикс с петлей спавшейся кишки можно по его просвету: просвет червеобразного отростка имеет более округлую конфигурация при визуализации по короткой оси, тогда как петля подвздошной кишки имеет овоидную форму. Кроме этого, в аппендиксе отсутствует перистальтика.
КТ в диагностике аппендицита у детей применяют при получении сомнительных результатов УЗИ. Чувствительность компьютерной томографии при диагностике данной патологии составляет в среднем 87-100%, специфичность – 89-98%. Также нужно отметить, что КТ позволяет лучше визуализировать такие осложнения, как флегмона или абсцесс, а также скопления жидкости, которое требует дренирования.
Для диагностики травм применяют методику FAST (Focused abdominal sonography for trauma)...
Основное преимущество УЗИ перед КТ при диагностике аппендицита заключается в том, что...
Ультразвуковое исследование прямой кишки рекомендуется проводить после опорожнения мочевого...
Среди гинекологических ургентных состояний на долю перекрута яичника приходится примерно 2,7%....
У детей признаки аппендицита довольно непостоянные. Однако в типичных случаях проявления боль...
анализы, БАД, биологическая медицина, витамины, гастроэнтерология, гигиена, гинекология, гомеопатия, дерматология, диагностика, диетология, заболевания, иммунология, инфекционные заболевания, инфекция, исследования, кардиология, кожа, косметика, красота, лекарственные растения, лечение, лицо, неврология, обследование, оздоровление, онкология, ортопедия, педиатрия, питание, пищеварительная система, поведение, похудение, препараты, продукты, профилактика, процедура, психология, пульмонология, рак, реабилитация, сердечно-сосудистая система, ССС, тело, терапия, травматология, уход, фитотерапия, хирургия, эндокринология
Показать все теги

Комменатрии к новости