УЗИ поджелудочной железы
С целью улучшения визуализации поджелудочной железы используют контрастные препараты,...
Медицина / Диагностика / Диагностика (статья)
УЗИУльтразвуковое исследование при травме показано пациентам с травмой живота и низким кровяным давлением (более, чем на 20 % от исходного (обычного) значения или ниже 90 мм рт. ст. систолического давления, или 60 мм рт. ст. среднего артериального давления), которое не удается стабилизировать для проведения КТ. Также УЗИ при травме назначают с целью сортировки стабильных пациентов.
Для диагностики травм применяют методику FAST (Focused abdominal sonography for trauma) – фокусированное УЗИ брюшной полости при травмах. Исследование проводят непосредственно у постели нестабильного больного вместо диагностического лапароцентеза (пункции брюшной полости).
Для ультразвукового исследования используют, как правило, обыкновенный абдоминальный датчик. Желательно чтобы датчик был с поддержкой нескольких частот и небольшой поверхностью – это играет важную роль при наличии открытых раны, ограниченном доступе и иммобилизации больного. Для глубокого проникновения и визуализации органов, локализованных сзади, где чаще всего скапливается жидкость, следует использовать низкие частоты.
Многих пациентов с травмой нельзя перемещать, что затрудняет проведение УЗИ. Часто с такими больными работает сразу много специалистов. Исследование нужно провести спереди и сбоку. Чтобы облегчить доступ к верхним квадрантам живота (особенно важно исследовать левый квадрант), нужно поднять руку больного и провести сканирование сбоку.
Среди врачей УЗИ бытует ошибочное мнение, что «если нельзя что-то увидеть, нужно использовать больше геля», - этот способ помогает в редких случаях. Исследование при травме на порядок сложнее, чем это может показаться на первый взгляд. Эта группа больных часто имеет сочетанные поражения. Самое простое, что можно сделать – уменьшить освещение в помещении, где проводится УЗИ, и правильно настроить усиление сигнала. Рекомендуется использовать большое поле визуализации. При УЗИ передней брюшной стенки поле зрения должно быть не менее 20 см, что дает возможность визуализировать образования позади печени, селезенки и глубоко в полости таза. При исследовании боковых частей живота (с боков) можно использовать меньшие поля зрения. Также рекомендуется исследовать больного с полным мочевым пузырем и проверить правую подвздошную область.
Отдельно нужно отметить тот факт, что во многих случаях свободная жидкость в полостях накапливается постепенно по мере того, как больной получает инфузионную терапию, при этом давление жидкости увеличивается. Поэтому если в острую фазу свободную жидкость не обнаружили, выполнение УЗИ при травме в отдаленные сроки ОПРАВДАНО!
Динамическое наблюдение при помощи УЗИ за больными с травмами проводится по показаниям и рекомендациям лечащего врача. В некоторых случаях сканирование может повторяться с интервалами в 30, поскольку при серьезных поражениях объемы жидкости могут очень быстро увеличиваться, особенно при активной инфузионной терапии и стабилизации артериального давления.
Серия УЗИ у пациентов с тяжелыми травмами позволяет снизить частоту ложноотрицательных результатов примерно на 50%.
В случае травмы возможности УЗИ ограничены. Основная цель – определить наличие жидкости в шести областях (фото 1):

Фото 1. Зоны проведения УЗИ по методике FAST. Критерием оценки служит положительный или отрицательный результат каждой из указанных областей

Фото 2. Перикардиальная жидкость. А – поперечное изображение и В – продольное изображение сердца из подмечевидного доступа: стрелками обозначена жидкость

Фото 3. Жидкость в правом верхнем квадранте живота. На продольном ультразвуковом изображении наблюдается свободная жидкость (F) в брюшной полости (кармане Моррисона) – между почкой и печенью

Фото 4. Жидкость в правом нижнем квадранте живота. Буквой «F» обозначена жидкость, которая оттесняет кишечник от боковых стенок живота в области нижнего квадранта

Фото 5. Жидкость в левом верхнем квадранте живота. Продольное ультразвуковое изображение демонстрирует жидкость (F) между почкой и селезенкой
Положительный результат УЗИ диагностируют при наличии скопившейся крови в полости таза или живота, которая визуализируется как жидкость или плотное образование. Кроме этого, врач должен обратить внимание на возможное значительное смещение крупных органов, их отсутствие, разрыв внутренних органов (почек, печени, селезенки) и состояние беременности.
Ложноотрицательные результаты УЗИ по методике FAST могут быть обусловлены следующими причинами:

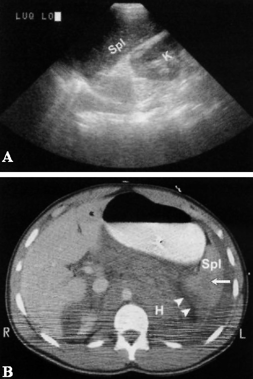
Фото 6. Ложноотрицательное УЗИ. А – продольное ультразвуковое изображение демонстрирует нормальную почку (К) и селезенку (Spl) без признаков наличия свободной жидкости. В – КТ того же пациента, выполненное через 30 минут после УЗИ: стрелкой обозначен разрыв селезенки; указателями отмечена жидкость, скопившаяся вокруг селезенки, и массивная ретроперитонеальная гематома (Н). Также отмечается частичная некротизация правой почки
Ложноположительные результаты УЗИ по методике FAST могут быть обусловлены следующими причинами:

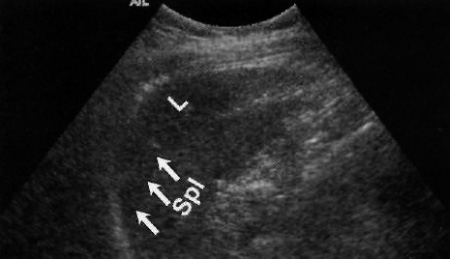
Фото 7. Ложноположительный результат УЗИ: нормальная левая доля печени (L) пересекает срединную линию и проецируется над селезенкой (Spl), тем самым имитируя околоселезеночную гематому. Стрелками обозначена граница печени и селезенки
УЗИ: Ложная гематома селезенки
Фото 8. Ложная гематома селезенки. А – ультразвуковое изображение передней стенки брюшной полости демонстрирует образование с гипоэхогенной жидкостью (F) и плотным (эхогенным) компонентом, который имитирует селезенки и околоселезеночную жидкость. В – КТ того же пациента: отмечается наличие жидкости в желудке, а также значительно смещенную назад селезенку (Spl) и почку (К). С – повторное УЗИ того же пациента, выполненное сзади, демонстрирует нормальные почку и селезенку без наличия жидкости
Самая серьезная ошибка УЗИ при травме – пропустить жидкость в полости таза и закрытую газом кишечника. Ретроградное наполнение мочевого пузыря с помощью катетера Фолея смещает кишечник, обеспечивая таким образом визуализацию жидкости (кроме этого, при наполнении можно исследовать сам мочевой пузырь, чтобы точно его дифференцировать со свободной жидкостью).
Самым большим препятствием при УЗИ верхних квадрантов живота являются плевральные дренажи. Дренажи нельзя удалять и перемещать, но можно удалить повязку вокруг дренажей, что расширяет доступ (удаление повязок должен проводить соответствующий медицинский персонал).
С целью улучшения визуализации поджелудочной железы используют контрастные препараты,...
УЗИ селезенки, как правило, является частью диагностики верхнего левого квадранта живота и...
Основной функцией почек является выведение продуктов метаболизма из организма путем фильтрации...
После родов у женщины могут возникать разные осложнения, наиболее распространенными из которых...
В отличие от артефактов традиционного ультразвукового исследования в режиме серой шкалы, для...
анализы, БАД, биологическая медицина, витамины, гастроэнтерология, гигиена, гинекология, гомеопатия, дерматология, диагностика, диетология, заболевания, иммунология, инфекционные заболевания, инфекция, исследования, кардиология, кожа, косметика, красота, лекарственные растения, лечение, лицо, неврология, обследование, оздоровление, онкология, ортопедия, педиатрия, питание, пищеварительная система, поведение, похудение, препараты, продукты, профилактика, процедура, психология, пульмонология, рак, реабилитация, сердечно-сосудистая система, ССС, тело, терапия, травматология, уход, фитотерапия, хирургия, эндокринология
Показать все теги

Комменатрии к новости